仿气腹25孔3单端腔镜训练箱训练用单针/双针带线【出售】-->外科训练模块总目录
「训练教具器械汇总」管理员微信/QQ12087382[问题反馈]
开启左侧

腹部和骨盆疾病诊断影像学- 19: 结肠和直肠的良性疾病(包括CT结肠成像)

[复制链接]
发表于 2018-6-1 11:20:37 | 显示全部楼层 |阅读模式

马上注册,结交更多好友,享用更多功能,让你轻松玩转社区。

您需要 登录 才可以下载或查看,没有账号?注册

×
学习目标

•用于说明结肠和直肠的良性状况谱,见于CT结肠成像和常规横断面成像

•学习如何使用3D和2D CT结肠成像标准来表征和区分良性息肉样和狭窄性充盈缺损

•讨论结肠的各种感染性和非感染性炎症状况的特定和非特异性跨部门成像标准

由于内窥镜技术的新兴使用,成像在过去几年中逐渐消退。如今,OC代表了结肠成像的诊断和治疗黄金标准。 CTC已成为OC的一种有价值的辅助诊断工具,可作为替代性结肠筛查试验,它代表了结肠镜检查不全或结肠镜检查禁忌症患者的首选方法。

这一贡献的目的是关注可在CTC和常规横断面成像技术中检测到的结肠和直肠的良性状况。

19.1简介

在过去的几十年里,结肠和直肠的诊断成像发生了显着的变化。常规横断面成像技术,例如标准腹部CT扫描,提供了评估结肠过程中壁画和结肠外变化的可能性。随着CT结肠成像(CTC)被引入临床常规,可以获得用于对整个结肠的腔内方面进行成像的非侵入性和安全性诊断测试。 CTC已被证明与光学结肠镜检查(OC)一样准确,可用于检测晚期结肠肿瘤,包括晚期腺瘤和癌症。由于其性能明显优于钡灌肠,因此现在推荐用于检测结直肠肿瘤的放射学方法。该适应症不再推荐使用钡灌肠剂。的确,钡灌肠在日常放射学中的作用

19.2在CTC看到的良性结肠发现

19.2.1良性粘膜结肠息肉

息肉是结肠最常见的良性病变。除恶性肿瘤外,息肉是CTC的主要靶点。根据巴黎分类,它们的形态分类为无柄,带蒂或扁平。在CTC上,结肠的息肉样结果的特征在于它们的外部形态,它们的内部结构和衰减特征,以及它们在仰卧和俯卧患者位置之间的移动性。

无柄息肉(0-Is)表现为圆形,椭圆形或分叶状腔内充盈缺损,其基部等于或大于其垂直高度(图19.1)。

有蒂的息肉(0- ip)呈圆形、椭圆形或分叶状的息肉,通过茎与粘膜相连。在二维平面图像上,结肠息肉通常表现为均匀的内部结构,伴有软组织衰减。息肉是由结肠壁引起的。因此,当俯卧和仰卧扫描位置比较时,它们保持其腔内位置。这个标准可以帮助区分真正的息肉与未贴附于结肠壁的未标记的残余粪便,并显示位置运动。然而,有蒂的息肉由于其柄部可能在仰卧和俯卧采集之间表现出相当大的位置偏移(图19.2)。这种所谓的假性移动可能导致与未标记的混淆,显示真正的移动性,即伪外观。

1.jpg
图19.1(A—D)位于升结肠的无柄卵圆形息肉。(a)腔内三维视图显示圆形息肉样病变(箭头)(B),相应的俯卧轴二维图像显示病变的均匀软组织密度(箭头)。(c)相应的仰卧内腔管腔3D视图示出水平流体层(箭头)。未见息肉。(d)仰卧轴二维图像显示病变(箭头)是未标记的残留液体(箭头)。

扁平或非息肉状病变的形态特征是与它们的宽度相比,它们的低高度(图19.3)。在CTC上,非息肉状病变被定义为在周围粘膜上方6毫米或更大的病灶,高度为3毫米或更小(6)。内窥镜,他们根据他们的主要生长方向,定义了它们的形态:平坦升高(0IIa),真正平坦(0IIB)和凹陷平坦(0IIC)。非息肉样病变一般较息肉样病变少见。

在CTC上,它们比息肉样病变更不明显。 在腔内3D视图中,扁平病变表现为斑块 - 如结肠壁的高度,具有光滑或结节状表面。 位于半月形折叠处的扁平病变通常导致折叠的局限性增厚。 在二维斑块上的乙状结肠前壁。 它通过茎(箭头)连接到背侧乙状结肠壁。 (c)相应的仰卧腔内3D视图和(d)矢状2D图像显示息肉头(箭头)在其茎(箭头)上移动到背侧乙状结构壁视图,扁平病变通常表现为外切,斑块状 壁增厚,具有均匀的软组织衰减。 已显示具有中央凹陷的扁平病变具有较高的恶性风险。 扁平病变通常被标记的残留物覆盖,这可能有助于检测。 这被称为“对比涂层”。

2.jpg
图19.2位于乙状结肠的大带蒂息肉。 (a)俯卧的腔内3D视图显示息肉头(箭头),通过其茎(箭头)连接到粘膜。息肉头(星号)附有小的粘液撕裂。 (b)相应的俯卧矢状2D图像显示位于软组织致密息肉头(箭头)

较大的非息肉样肿瘤,在≥1cm(CTC≥3cm)上扩散,是横向扩散的肿瘤(LSTs)。较老的常用术语是“地毯病变”。它们是扁平病变的重要子集,对盲肠和直肠有偏好。它们通常具有高级组织学特征。根据它们的表面外观,它们被内窥镜分类为颗粒或非颗粒类型[8]。

在CTC上,它们通常具有宽广的扁平形态,尺寸≥3cm。它们的高度可能超过3毫米,但仍然是平的,可能有表面凸起的边缘。经常看到口腔对比材料的表面涂层(图19.4)。

3.jpg
图19.3(a,b)12 mm略微抬高的扁平病变,中央凹陷。 (a)腔内3D图像显示平坦的略微升高的充盈缺损,具有中央凹陷(箭头),位于与回盲瓣(箭头)相邻的折叠上。 (b)相应的矢状2D视图显示肠壁的平坦高度,导致产生褶皱的斑块状软组织增厚。注意病变中心的轻微中央凹陷(箭头)

4.jpg
图19.4(a,b)直肠中混合颗粒型的横向扩散肿瘤。 (a)腔内3D视图显示具有结节表面(箭头)的扁平不规则填充缺陷。 (b)相应的轴向2D图像显示结节壁增厚,软组织衰减(箭头)。病变被少量标记液覆盖

正确的CTC尺寸测量很重要,因为放射科医师测量的息肉大小对选择合适的治疗程序有直接影响。人们普遍认为需要报告所有6 mm或更大的息肉,并建议进行内镜下息肉切除术。小于6毫米的息肉经常被忽略。对于无柄和扁平息肉,测量最大直径,其最常见于病变的基部。对于带蒂的病变,只应测量息肉头的最大直径,不包括柄。

19.2.2良性粘膜下肿瘤

19.2.2.1脂肪瘤

脂肪瘤是结肠中最常见的粘膜下肿瘤。它们的大小通常在1到3厘米之间。脂肪瘤可以具有无柄,带蒂,或甚至扁平的形态。在腔内3D视图中,它们表现为填充缺陷,通常具有光滑的表面。通过2D视图获得正确的诊断:脂肪瘤通常具有均匀的脂肪减弱。通常,可以看到覆盖脂肪组织的薄粘膜条纹。由于脂肪瘤是相对较软的病变,当患者的位置发生变化时,它们可能会改变其形状(图19.5)。脂肪瘤是良性的。无需进行诊断或治疗调查。然而,大的脂肪瘤可以是对症的并且导致肠套叠。

19.2.2.2罕见粘膜下肿瘤

淋巴管瘤是罕见的良性病变,可能是单纯的,海绵状的或囊性的。在囊性类型的情况下,病变在2D视图上呈现囊状形态。然而,每当OC上的发现≥6mm时,就必须排除真正的肿瘤性病变。存在广泛的其他粘膜下肿瘤,其通常非常罕见,包括平滑肌瘤,血管瘤和神经节细胞瘤。基于CT成像标准,这些不能与腺瘤性息肉或肿瘤区分开。

19.2.2.3 结肠囊虫病

结肠气积症(Pneumatosis coli)是一种罕见的实体与气体的内部收集。 主要类型是良性和自我限制。 继发型与肠壁坏死有关。 它通常需要根据临床表现立即治疗。 在CTC上,据报道,主要类型是罕见的发现。 原发性大肠杆菌在腔内3D视图上呈现假性多形性填充缺陷,对应于粘膜下囊性或线性空气袋。 二维视图揭示了这些发现的病理 - 空气衰减。 原发性大肠杆菌是完全无害的,无症状的,自限性的“并发症”,不需要进一步的医疗行动。

5.jpg
图19.5(a,b)升结肠中的脂肪瘤。 (a)腔内3D视图显示具有光滑外观的大型息肉样病变(箭头)。 (b)相应的轴向2D图像显示病变的均匀脂肪组织密度(箭头),由粘膜起源的薄粘膜条纹覆盖(星号)

19.2.2.4子宫内膜异位症

子宫内膜异位症是与子宫外子宫内膜生长有关的病症。结肠受累主要发生在直肠乙状结肠,很少发生在盲肠。这通过子宫内膜组织的腹膜植入发生。这些植入物可能发展为粘膜下延伸的跨浆膜生长。从那里,可以在少数患者中发生腔内扩展。根据入侵等级,CTC表现出不同的方面。浆膜/粘膜下浸润,壁厚增厚,导致边缘管腔充盈缺损,表现为平滑的描绘(图19.6)。在粘膜延伸的情况下,壁变得不规则并且以息肉状病变或肿块结束。

19.2.3与解剖相关的发现

19.2.3.1节段性结肠痉挛

结肠痉挛是肠腔的生理性狭窄,由于结肠壁的肌肉收缩,可以模拟圆形狭窄肿瘤。结肠扩张程度和结肠腔内方面也取决于绦虫的肌肉收缩。最佳结肠扩张可防止痉挛和可能的假阳性结果。在乙状结肠中,绦虫或多或少都是微妙的。当收缩时,它们使得变窄的管腔变圆,具有平滑的加厚折叠而没有过度悬挂的边缘。在下行结肠中,绦虫变得略微突出,在收缩时,结肠腔略微更加三角形。在横向和升结肠中,管腔的三角形形状是明显的。然而,褶皱不会扭曲,并且通常没有肩部形成,这是典型的恶性肿瘤。由于结肠内气体的重新分布,痉挛经常会在形态上发生变化,甚至在仰卧和俯卧的采集之间消失。

19.2.3.2弯曲假瘤

结肠具有许多环和弯曲。在每个弯曲处,内侧的结构比外侧的结构更加压缩。这可能导致复杂的结构,包括拥挤和增厚的结肠褶皱。这种增厚由于脂肪及其血管结构而加剧。在2D平面视图中,这可能导致明显的壁增厚,这可能被误认为是结肠肿块。因此,这种增厚被称为弯曲假瘤。在具有许多褶皱的会聚的锐角弯曲的情况下,这种假性脉冲可以变成真实的肿瘤模拟物。两次采集的比较将有助于检测外观的任何变化。彻底分析3D和2D图像的外观有助于排除肿瘤过程。假性最常见的是许多褶皱的汇合,这些褶皱在腔内3D视图上显示出规则的平滑轮廓。在2D视图中,有时会在增厚的褶皱中显示出周围脂肪。

6.jpg
图19.6(a,b)乙状结肠中的子宫内膜异位症植入物。 (a)腔内3D视图显示平坦的腔内充盈缺损,具有平滑的描绘(箭头)。 (b)相应的轴向2D图像显示渗透结肠壁的均匀软组织致密病变(箭头)

19.2.4肛肠

对于直肠的评估,重要的是检查肛门边缘。 这是通过将虚拟相机转向肛门来完成的。 在直肠的这一部分,可能有几种良性和/或类似肿瘤的情况。

19.2.4.1肥厚的肛门乳头状突起

肥厚的肛门乳头是常见的发现。 它是直肠柱(Morgagni)的乳头状突起,在OC处呈现为任何大小的纤维状白色息肉。 在CTC上,不可能区分真正的息肉,在息肉样结构≥6mm的情况下需要进行直肠镜检查。

19.2.4.2内痔

内痔是上痔神经丛的静脉曲张。 它们出现在肛门边缘并且是非常频繁的发现(±50%的患者)。 它们通常表现为直肠导管周围的光滑填充缺陷,其中薄褶皱朝向导管会聚。 在极少数情况下,它们可能具有息肉样外观。

19.2.4.3其他调查结果

直肠静脉曲张是扩张的粘膜下静脉,导致长的,有血清的充盈缺损。 重要的是要意识到它的存在,因为在极少数情况下,息肉也可能具有显着性。 静脉疱是一种小静脉畸形,可呈现息肉形态并模拟真正的息肉样病变。 但是,通常它们<5 mm。

19.2.5 盲肠

盲肠有一个复杂的形态,包括回盲瓣和阑尾。 与直肠一样,其CTC检查需要特别注意。

19.2.5.1回盲瓣

正常的回盲(IC)瓣膜由双重(上唇和下唇)组成,两侧会聚在一个突出的折叠处,即系带。在检查盲肠时,始终必须确定IC瓣膜并检查其解剖学外观,不包括位于瓣膜上的息肉和癌症。然而,正常的IC瓣膜可能显示出一些不应与结肠病理学混淆的假性肿瘤方面。

19.2.5.2脂质转化

脂质转化是指IC嘴唇的脂肪浸润。 IC阀通常被放大并且可以具有圆顶状外观。通过评估腹部窗口设置中的典型脂肪衰减(0 / -100H.U。)来获得该良性解剖变体的正确表征。

19.2.5.3乳头状转化

与正常的唇外观相比,观察到的乳头状转变较少见。乳头状IC瓣由末端回肠突出到IC瓣中引起。这被认为是正常的功能状态,IC瓣阻止液体从结肠回流到回肠中。乳头状IC瓣通过球状或息肉状形态和光滑表面识别。它也可能看起来略微扭曲,呈现出笨重的肿块状病变。在这种情况下,诊断并不总是直截了当的。大多数情况下,这种情况的特征在于IC阀的平滑描绘,在2D图像上具有一些脂肪渗透。外观经常随着双重采集而变化(即,仰卧倾向)。然而,任何软组织的积累都会引起对瘤形成的怀疑。

19.2.5.4阑尾

由于阑尾是结肠的一部分,因此有必要进行检查。在腔内三维视图上,阑尾孔被识别为通常位于小褶皱附近的小孔或凹陷。在2D平面视图中,阑尾呈现为薄壁管状结构,其可填充有空气或标记流体。任何全球或焦点壁增厚应立即进一步调查以排除恶性肿瘤(阑尾切除术)。阑尾的肿瘤状况很罕见,并且通常无症状。

19.2.5.5阑尾中的粘液囊肿

阑尾粘液囊肿对应于粘液扩张的阑尾。它通常在阑尾的过程中表现为管状囊性病变,并且可能表现为壁钙化。这可能对应于5-20%的病例中的简单粘液囊肿(潴留囊肿)或增生性粘液囊肿(增生性息肉),63-84%中的粘液性囊腺瘤和11-20%的粘液性囊腺癌。很少,它与子宫内膜异位症相对应。粘液囊肿可以突出到盲肠腔内,并在腔内3D视图上呈现为息肉状病变(图19.7)。必须通过手术排除恶性原因。

19.2.5.6倒置阑尾残端

在倒置结扎阑尾切除术(一种较老的阑尾切除术技术)后,阑尾残端可被视为预期阑尾口区域的息肉样病变。它表现为阑尾口部位的圆形光滑息肉样充盈缺损,具有均匀的软组织衰减。根据CT成像标准,这种术后息肉样发现不能与真正的结肠息肉区分开来。如果先前的阑尾切除术存在不确定性,建议使用OC,与任何≥6mm的息肉样病变相同。此外,在极少数情况下,残肢可能会发生息肉或恶性肿瘤。

7.jpg
图19.7(a,b)阑尾的粘液囊肿。 (a)部分充液盲肠的腔内三维视图,显示具有光滑表面的宽基息状腔内填充物(箭头)。 (b)相应的轴向2D图像显示囊性结构,在结肠腔上产生微妙的外在印象(箭头)。病变有一个薄壁壁钙化(空心箭头),并与阑尾相邻

19.2.6憩室病

憩室病是西方人群中最常见的结肠疾病,50岁时频率约为30%,60岁时频率超过50%。它主要位于乙状结肠。在其早期阶段,憩室病的特征在于肌肉萎缩:肌肉壁增厚的三联征,绦虫的缩短和管腔狭窄。这导致结肠扩张受限,具有突出和窄的绞合半月褶皱和深度嘶嘶声,并且缩短了中间节段(六角手风琴外观)。在腔内3D视图上,在突出的半月形褶皱(盲点)后面和之间存在受限的粘膜可视化。需要专门的3D检查,其中涉及转动虚拟相机以可视化折叠的背面和工业间部分。为了改善结肠扩张,使用莨菪碱-N-丁基溴是合理的。通过将患者重新定位到右侧或左侧卧位,并对受影响的节段进行额外的低剂量CT扫描,也可以改善扩张。

随着肌肉萎缩的进展,憩室出现,半月褶皱变得更加突出。在2D图像上,憩室的特征在于结肠壁上的气体填充外袋。在腔内三维视图上,它们看起来像一个明确定义的完整暗环,可以模拟一个小的无柄息肉病变。相反,息肉在面部观察时通常呈现不完整或模糊的环形阴影。二维视图使憩室和息肉的区分变得简单。憩室病引起假性多形性病变。

19.2.6.1憩室粪石

憩室通常受到粪便残留物的影响,粪便残留物可以通过憩室颈部突出到结肠腔中。这导致腔内3D视图上的息肉状填充缺陷,在2D视图上具有特征性方面:憩室粪便几乎总是表现为具有高密度环和低密度中心的圆形结构,与空气阻塞相对应。它可以从憩室突出进入结肠腔。憩室粪便可能是导致局灶性憩室炎的炎症来源。

19.2.6.2倒立憩室

憩室可能会倒入结肠腔。 虽然不常见,但放射科医师需要意识到这种可能性。 在腔内3D视图上,倒置憩室模拟真正的息肉,在2D平面视图上,主要是空气或脂肪包含物。 有时,可以区分中央脐带。

19.2.6.3慢性憩室病或狭窄的癌症

重复发作急性憩室炎的患者可能会出现慢性憩室病,这是常见的原因

t1.jpg
表19.1左侧列中提示慢性憩室病的CT结肠成像特征,右列中的狭窄性结肠癌

请注意,这些标志相互重叠,使得精确诊断变得困难,有时甚至是不可能的。然而,受影响部分内没有憩室和肩部形成是癌症不完全OC的强有力指标。 CTC是完成结肠评估的首选方法。然而,慢性憩室疾病与狭窄性癌症之间的鉴别诊断可能具有挑战性。每个实体都呈现出成像特征,遗憾的是,这些特征并不完全具体。标志的干扰非常频繁。表19.1列出了慢性憩室病和恶性肿瘤的特征。对两个实体进行比较的研究得出结论认为,受影响的节段中憩室的存在,以及相当长的节段上的壁增厚,局部筋膜增厚(筋膜征)没有淋巴结肿大,锥形或锥形边缘,以及保留或多或少增厚的结肠褶皱,可能是慢性憩室病的指征。相反,在增厚的节段中没有憩室和局部筋膜增厚,更突出的壁增厚,具有短的延伸,肩部形成或突出的边缘,以及完全扭曲或折叠的图案更可能表示狭窄的结肠癌。

19.2.7术后结肠

根据所使用的手术技术(端对端或端到端),吻合术将具有不同的形态学。吻合术应表现出平滑过渡,偶尔会出现细微,光滑,圆周的脊或网状外观。在2D视图中,如果使用外科钉,则易于识别。有时,钉突出到结肠腔内,导致3D视图上的微小管腔填充缺陷,可通过其高内部密度在2D视图上轻松识别。息肉肉芽组织以及炎性和增生性息肉可在吻合处发展。这些发现将呈现与腺瘤性息肉相同的成像特征。在术后期间,纤维化可能发展,导致吻合时假性道德狭窄。因此,吻合口部位或邻近部位软组织的任何增加都会引起肿瘤复发的怀疑,这表明OC。

19.3结肠的炎症性疾病

除了良性息肉样和狭窄的发现及其缺陷之外,诊断成像技术可能会遇到其他几种良性结肠状况。它们包括多种炎性疾病,包括憩室炎,慢性炎症性肠病(CIBD),传染性和非传染性结肠炎,以及机械性结肠梗阻和穿孔。在几乎所有这些急性病症中,CTC是禁忌的,因为结肠扩张可能导致结肠壁穿孔。对于这些适应症,标准横截面成像是选择的方法。此外,这些实体中的一些需要组织学检查以实现对发育异常的正确诊断或鉴定。


在大肠中,炎症通常导致肠壁增厚,有或没有壁面分层,这是在横截面成像中区分结肠壁的不同层的能力。各种炎性肠病在胃肠道内的主要位置,节段受累的长度,壁增厚程度,壁增强模式和肠外受累方面不同。

19.3.1憩室炎

憩室炎症导致症状性憩室炎,三分之二的病例发生在乙状结肠。这可能会影响单个或几个相邻的憩室,称为局灶性憩室炎,或整个结肠段。如果单个憩室发炎,则存在局灶性,水肿性壁厚增厚,通常围绕粪便影响的憩室,增加壁画增强和局灶性pericolonic脂肪绞合。急性结肠憩室炎的影像学表现为锥形炎性壁增厚,包括长段(> 10 cm),壁画对比增强增加,以及粘膜下水肿。急性炎症通常伴有肠系膜脂肪绞合和肠系膜根部的液体(图19.8)。憩室的存在是特征性的。他们的缺席使得憩室炎不太可能发生。可能发生的并发症是周围脓肿,包含或自由穿孔,出血,瘘管形成和炎症后狭窄。憩室炎最重要的鉴别诊断是结肠癌。相比之下,广泛的壁增厚,短延伸(<5 cm),尤其是肩部形成和周围淋巴结,对于肿瘤是可疑的。

8.jpg
图19.8急性憩室炎。对比度增强的轴向CT图像显示乙状结肠(箭头)的壁增厚与周围脂肪组织的相邻炎性绞合。注意代表脓肿形成的液体收集(箭头)

19.3.2慢性炎症性肠病的结肠参与

在CIBD组中,克罗恩病(CD)和溃疡性结肠炎(UC)代表最重要的条件。具有活组织检查的OC是评估CIBD中结肠受累的选择的检查,特别是用于检测结肠发育不良,以及区分炎性狭窄和癌症。标准腹部CT用于检测急性并发症。 CTC未被指明,并且可能仅适用于慢性非活动性疾病中OC不完全的患者。

19.3.2.1溃疡性结肠炎

溃疡性结肠炎是一种炎症性肠病,仅限于结肠的粘膜和粘膜下层。该疾病通常在直肠中开始并且向近端连续延伸以涉及结肠的部分或整个结肠。在10-40%的病例中,远端回肠也发炎,这被称为倒灌性回肠炎。

早期的,微妙的和炎性的粘膜变化,例如粘膜的颗粒状图案或微小的点状溃疡,可能超出现代横截面成像的当前空间分辨率。

该疾病的进展导致粘膜充血和粘膜下水肿,然后导致壁的增厚和分层,伴随着增加的周围血管分布。出现溃疡和假性增生,粘膜变得脆弱。通常,受影响的结肠壁的外轮廓是规则和平滑的(图19.9)。淋巴结肿大只是轻微的。脓肿或瘘管形成的出现并不常见。

亚急性和慢性形式导致壁的增厚和刚性。可能发生结肠腔的缩小和结肠的缩短。肠道失去其模式,这可能导致管状“铅管”外观。可能存在炎症后息肉。大肠中粘膜下脂肪的沉积在多达61%的病例中发现,并且可能导致额外的壁增厚,并因此导致管腔狭窄。由于炎症,可能存在周围/直肠脂肪的增殖,导致骶前空间变宽。

最严重的并发症是中毒性巨结肠,高达5%的病例出现,并有穿孔和腹膜炎的风险。结直肠癌的风险发展随着疾病的程度和持续时间而增加。

9.jpg
图19.9溃疡性结肠炎。对比度增强的轴向CT图像显示乙状结肠的连续壁增厚与壁分层(箭头)。请注意,结肠的外轮廓是规则和平滑的

19.3.2.2克罗恩病

克罗恩病可能涉及整个胃肠道的部分。然而,克罗恩病最常影响回肠末端和近端结肠。与溃疡性结肠炎不同,克罗恩病通常以不连续的方式影响胃肠道(所谓的跳跃性病变),并且炎症过程本质上是透壁的。

CT通常会错过克罗恩病的早期阶段。随着疾病的进展,发生明显的壁厚增厚和管腔狭窄。在疾病的急性期,壁增厚表现为壁分层,主要与粘膜下水肿有关。肠壁的对比度增强程度与疾病的严重程度相关。与溃疡性结肠炎相比,结肠壁的外部轮廓是不规则的。由于炎症过程的充血,局部肠系膜血管扩张并且间隔很宽。这已被描述为“梳子标志”,表示疾病活动(图19.10)。高密度的周质性脂肪的逐渐增加被称为纤维脂肪增生,导致肠环分离。通常,存在多个短轴直径<10mm的肠系膜淋巴结。广泛的交叉线性横向和纵向溃疡可导致所谓的鹅卵石图案。随着疾病的进展,透壁炎症伴随着不可逆的纤维化。在横断面成像中,这表现为壁画分层的损失,壁画增厚和均匀衰减。

常见的并发症是瘘管,脓肿,粘连和狭窄,导致肠梗阻。瘘管可以表现为不明确的软组织带,延伸到胃肠道的另一部分或皮肤。脓肿最常与穿透型克罗恩病相关,影响有或无结肠的小肠。在许多情况下,克罗恩病的狭窄表现为圆形,锥形壁增厚,对比度增强和较长段的受累。在其他情况下,发生短壁狭窄,伴有壁增厚和近端和远端的突然肩部,这使得不可能区分恶性狭窄。穿孔是不常见的并且通常包含在内。如果存在多个肠段或具有瘘管形成脓肿的大肠段,则存在砾岩块。结直肠癌和淋巴瘤作为该疾病的并发症的风险略有增加。这些肿瘤主要影响小肠。短轴直径中淋巴结肿大> 10 mm的存在应引起对恶性肿瘤的怀疑。

10.jpg
图19.10克罗恩病。对比度增强的冠状CT图像显示横向结肠的壁厚增厚,肠系膜扩张血管(梳状征)和瘘管形成至升结肠(箭头)。注意小肠袢的炎症性壁画增强

19.3.3传染性结肠炎

结肠的炎症可由细菌,病毒,真菌或寄生虫感染引起。基于胃肠道症状的典型表现,很容易实现感染性结肠炎的诊断。可能需要粪便培养来识别特定生物。通常,这些疾病中的大多数是自限性的,并且诊断不需要专门的成像。然而,可能需要横断面成像来评估疾病的程度,严重程度和潜在的并发症。

放射学成像特征不是特定于特定微生物的特异性。传染性结肠炎具有弥漫性结肠壁增厚,通常具有由壁画分层引起的所谓的目标外观。这种现象是由粘膜CM增强和粘膜下水肿引起的。可能存在结肠气液水平。结肠外变化可能包括结肠周围的脂肪绞合以及腹水。

受影响的结肠段可能暗示特定的生物体。例如,志贺氏菌或沙门氏菌的结肠感染仅限于右侧结肠,而CMV和大肠杆菌可见弥漫性受累。淋病,疱疹病毒和沙眼衣原体通常涉及直肠乙状结肠区域(图19.11)。

19.3.3.1伪膜性结肠炎

伪膜性结肠炎(PMC)是一种急性传染性结肠炎,其由艰难梭菌的无对抗细菌过度生长引起,通常在广谱抗生素治疗或化学疗法之后。细菌肠毒素导致表面溃疡并随后形成假膜。通常,整个结肠都参与其中;然而,直肠乙状结肠和右结肠都可能受到隔离影响。

典型的影像学表现包括明显的周围弥漫性结肠壁增厚,由不同的粘膜和粘膜下水肿引起。水肿导致结肠壁的典型低衰减方面。壁增厚比其他类型的结肠炎更明显。 IV CM给药后,粘膜和浆膜增强显示出目标增强模式,由三个不同衰减的同心环组成。 透明的外包裹的水肿增厚以及半月形褶皱导致在纵向横截面(手风琴标记)上出现手风琴。 结肠周围的变化包括脂肪绞合,通常是腹水(图19.12)。潜在的并发症包括中毒性巨结肠和结肠穿孔[34]。

19.3.4非传染性结肠炎

这总结了与多种多样的疾病或继发于医学治疗相关的结肠炎症参与。

19.3.4.1缺血性结肠炎

缺血性结肠炎是患有动脉粥样硬化疾病,低血压或心力衰竭的老年患者的疾病。 血管功能不全和缺血可导致结肠的继发性炎症。 低流量状态和非闭塞性血管疾病是癌(箭头)。 (b)直肠的轴向T2加权图像显示由粘膜下层的高信号,水肿性增厚引起的壁分层,表明炎症过程最常见并且通常导致脾弯曲和直肠乙状结肠的脱水区域的缺血性结肠炎。 左结肠比右结肠更容易受到影响。 影像学检查结果是非特异性的,可能包括与粘膜下水肿相关的壁厚增厚。 可能存在目标标志。 急性事件后,纤维化可能导致结肠腔慢性狭窄(图19.13)。

11.jpg
图19.11(a,b)模拟直肠癌的直肠梅毒。 (a)对比增强的轴位CT图像显示大的圆周肿块 - 像直肠结构,软组织密度提示直肠

12.jpg
图19.12伪膜性结肠炎。 对比度增强的轴向CT图像显示明显的壁厚增厚,粘膜强烈增强,整个结肠的明显粘膜下水肿(目标征象)(箭头)。 注意腹水

13.jpg
图19.13缺血性结肠炎。 对比度增强的轴位CT图像显示下行(箭头)和乙状结肠(箭头)的壁厚增厚

19.3.4.2中性粒细胞减少性结肠炎

中性粒细胞减少性结肠炎,也称为伤寒,是盲肠,升结肠的坏死性炎症,有时是在患有严重中性粒细胞减少症的免疫功能低下患者中看到的回肠末端。 它是由多种微生物(包括细菌,病毒或真菌)的透壁入侵引起的,没有炎症反应。 影像学表现包括右侧结肠(通常是盲肠)明显的周围壁厚增厚,伴有明显的粘膜下水肿。 肺气肿表明疾病的严重程度。 结肠周围的脂肪绞合是一个常见的发现。 并发症包括壁坏死和穿孔。

19.3.4.3移植物抗宿主病

在移植物抗宿主病(GvHD)中,在同种异体骨髓移植后,供体淋巴细胞攻击宿主组织。 GvHD更常出现在小肠中,但也可能影响结肠。影像学表现是非特异性的,包括与粘膜下水肿相关的壁厚增厚,这也影响粘膜增强(目标体征)。通常,较长的肠段受到影响。可能存在肠系膜血管形成,脂肪绞合和腹水。在慢性阶段,粘膜下水肿被脂肪组织取代。临床病史导致具体诊断。

19.3.4.4药物诱发的结肠炎

药物诱导的结肠损伤最常表现为结肠炎。用化疗药物治疗癌症可能导致中性粒细胞减少性小肠结肠炎,假膜性结肠炎或肠道积气。随着新的抗癌药物(如检查点抑制剂)的引入,已经遇到了这些疗法的一系列潜在副作用。在免疫疗法下,黑素瘤患者可能发生检查点抑制剂诱导的(例如,ipilimumab相关)结肠炎(图19.14)。在横断面成像中,它可表现为轻度,弥漫性,肠壁增厚,充满液体的结肠扩张和肠系膜血管充血。它也可以在先前存在的弥漫性憩室病区域的乙状结肠中表现为节段性结肠炎。

长期滥用非甾体类抗炎药(NSAIDs)可诱发结肠炎。 NSAID诱导的结肠炎通常影响右侧结肠,伴有弥漫性或节段性炎症和溃疡,以及隔膜样纤维化狭窄。 CT成像结果是非特异性的,壁增厚可能模拟恶性肿瘤。 CTC右侧结肠的膈肌样狭窄可能引起对炎症原因的怀疑。 NSAID滥用的临床病史和病理组织学中的缺血性外观导致诊断。

14.jpg
图19.14患有甲状腺黑色素瘤的患者中严重的ipilimumab相关性结肠炎。对比度增强的冠状CT图像显示左结肠显著增厚,伴有周围脂肪绞合和肠系膜血管充血(箭头)。注意肝脏转移

19.3.4.5放射性结肠炎

由于放射治疗通常用于盆腔疾病,因此乙状结肠和直肠最常受到影响。治疗后8周内的急性放射性损伤通常是自限性的并且对症治疗。它在临床上被诊断出来并且不需要成像。影像学表现包括受影响部位的非特异性壁增厚和炎性绞合。在慢性放射性损伤中,治疗后6-12个月,由辐射诱导的动脉内膜炎引起,光滑的壁增厚和纤维化可使结肠腔变窄。狭窄和瘘管可能是并发症。可能存在增加的骨盆脂肪。

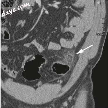
19.3.5肠脂垂炎

肠脂垂炎是一种罕见的炎症/缺血过程,其由于梗塞的扭转或附睾的自发性静脉血栓形成而引起。患者可能在临床上出现突然的局灶性腹痛,与憩室炎或阑尾炎无法区分。 CT是诊断性的,通常显示卵圆形的1.5-3.5厘米含脂肪的周围病变,周围脂肪组织发生绞合(图19.15)。可以在对应于血栓形静脉的病变内识别中央高密度“点”。长期,梗塞的外周阑尾可能会钙化。表型附件炎是一种自限性疾病,不需要侵入性干预。

15.jpg
图19.15肠脂垂炎。对比度增强的冠状CT图像显示圆形脂肪含有周围病变,周围脂肪组织绞合(箭头)。病变内的中央高密度“点”对应于血栓形成的静脉

带回家消息

&#8226;横断面成像技术已成为评估结肠和直肠疾病最重要的放射工具。

&#8226;CTC是检测和分类结肠息肉状和狭窄病变的可靠技术。

&#8226;在CTC,表征发现的最重要的成像特征是形态,内部结构和衰减特性以及移动性。结肠的炎症状况代表异质的疾病谱,然而,显示其成像标准的相当大的重叠。

&#8226;标准横断面成像的放射学鉴别特征包括胃肠道内的主要位置,节段受累的长度,壁增厚程度,壁画增强模式,结肠周围的和肠外的结果。

参考:Diseases of the Abdomen and Pelvis 2018-2021 Diagnostic Imaging - IDKD Book
您需要登录后才可以回帖 登录 | 注册

本版积分规则

丁香叶与你快乐分享

微信公众号

管理员微信

服务时间:8:30-21:30

站长微信/QQ

← 微信/微信群

← QQ

Copyright © 2013-2025 丁香叶 Powered by dxye.com  手机版 
快速回复 返回列表 返回顶部