仿气腹25孔3单端腔镜训练箱训练用单针/双针带线【出售】-->外科训练模块总目录
「训练教具器械汇总」管理员微信/QQ12087382[问题反馈]
开启左侧

腹腔镜下纵隔内大网膜填充修补自发性食管破裂:病例报告

[复制链接]
发表于 1 小时前 | 显示全部楼层 |阅读模式

马上注册,结交更多好友,享用更多功能,让你轻松玩转社区。

您需要 登录 才可以下载或查看,没有账号?注册

×
一名62岁男性,既往无重大病史,突发右侧腹痛入院。1小时后转入院急诊科。入院时生命体征:体温36.7℃,血压113/78 mmHg,脉搏128次/分,室内空气下血氧饱和度95%。体格检查发现全腹压痛、肌紧张,颈部有抓雪感。血液检查显示白细胞计数21130/mL,pH值为6.81,乳酸水平>20 mmol/L。

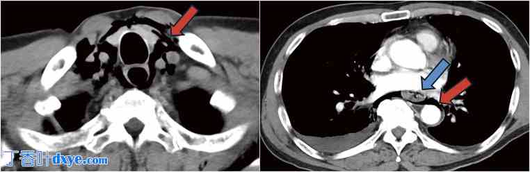
增强CT扫描显示咽部、颈部和纵隔均有气肿,食管下段壁增厚并断裂,右侧胸腔积液,以及气胸(图1)。为了减压和引流,在食管内插入了胃管。对于轻微渗漏,胃管保留在原位进行保守治疗。通过胃管持续注射造影剂显示,造影剂从食管下段右侧渗漏至纵隔(图2),从而证实了自发性食管破裂。因此,进行了急诊手术。由于怀疑穿孔位于食管下段右侧,因此选择了腹腔镜手术。

图1. 计算机断层扫描(CT)。CT显示从咽部到食管胃交界处(红色箭头)的纵隔积气。蓝色箭头显示食管壁增厚和破裂。
1.jpg

图2. 造影检查。红色箭头显示造影剂从食管渗漏至纵隔。
2.jpg

作者按照腹腔镜胃切除术的流程,在 10 mmHg 的气腹压力下,使用五个穿刺孔进行了腹腔镜手术。未观察到腹腔液污染。使用胶带将食管向尾侧牵拉时,发现部分食管壁呈暗红色。作者切开膈肌右脚,打开纵隔和右侧胸腔,并从同一区域引流出中等量的暗红色液体。该区域的食管壁部分变黑(图 3A),怀疑存在部分坏死。考虑到缝合食管壁的难度以及患者的临床状况,作者评估了完全食管切除术是否也具有挑战性。因此,作者从横结肠游离大网膜,并将其填充纵隔以覆盖食管穿孔部位(图3B)。填充的大网膜用可吸收缝线固定于膈肌右脚(图3C)。引流管分别放置于食管穿孔部位的腹侧和食管胃交界处的背侧。手术结束前,行空肠造口术,并在右侧胸腔内放置胸管。手术总时长为183分钟,总出血量为30毫升。

图3. 术中图像。(A) 蓝色箭头指示疑似食管壁部分坏死部位。(B) 用游离的大网膜填充穿孔部位。 (C) 植入的大网膜用可吸收缝线固定于膈肌右侧。
3.jpg

术后,患者被送入重症监护室 (ICU) 进行机械通气。虽然最初使用了血管加压药,但剂量逐渐减少,并在术后第 2 天开始经空肠造瘘管进行肠内营养。患者于术后第 4 天拔管。背侧食管胃交界处的引流管于术后第 6 天拔除。术后第 7 天进行胃管造影检查,证实无明显渗漏。术后第 9 天拔除胸管和腹侧食管引流管。术后第 14 天进行视频透视检查,确认无渗漏后,患者开始饮水。术后第19天,上消化道内镜检查发现食管下段有瘢痕(图4)。患者瘢痕愈合良好,术后第20天开始经口进食。患者饮食无异常,术后第24天病情稳定出院。后续门诊随访未见症状复发。

图4. 内镜图像(术后19天)。红色箭头指示瘢痕形成。
4.jpg
您需要登录后才可以回帖 登录 | 注册

本版积分规则

丁香叶与你快乐分享

微信公众号

管理员微信

服务时间:8:30-21:30

站长微信/QQ

← 微信/微信群

← QQ

Copyright © 2013-2025 丁香叶 Powered by dxye.com  手机版 
快速回复 返回列表 返回顶部