仿气腹25孔3单端腔镜训练箱训练用单针/双针带线【出售】-->外科训练模块总目录
「训练教具器械汇总」管理员微信/QQ12087382[问题反馈]
开启左侧

罕见水肿性平滑肌瘤中抗苗勒氏管激素(AMH)和Kisspeptin受体的表达:病例研究

[复制链接]
发表于 2 小时前 | 显示全部楼层 |阅读模式

马上注册,结交更多好友,享用更多功能,让你轻松玩转社区。

您需要 登录 才可以下载或查看,没有账号?注册

×
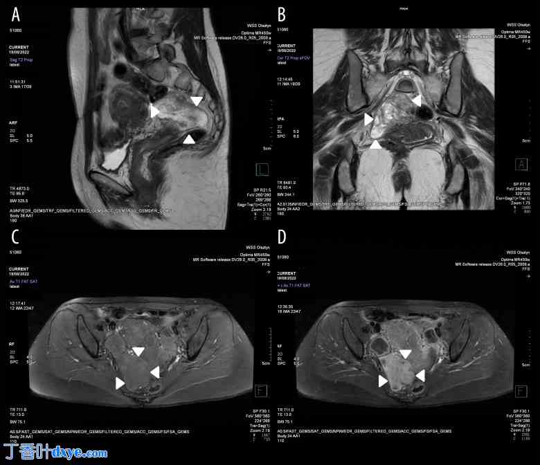
磁共振成像(MRI)显示,右侧卵巢后方(位于双侧子宫侧壁、阴道穹窿和直肠侧壁之间)腹膜后间隙内有一边界清晰、内部信号不均匀的病变肿块,内侧为髂内血管和梨状肌。肿块大小为71×37×67 mm。肿块边界清晰,呈蒂状,蒂部血管丰富,与双侧子宫后壁相连。T2加权像(T2WI)显示病灶内部信号不均匀,以高信号区为主(图1A、1B)。病灶内可见与肌组织(MT)信号强度相近的中低信号成分,呈分隔状和散在分布。T1加权像(T1WI)显示肿块大部分与肌组织呈等信号,可见少量低信号灶(图1C)。未见出血性改变或脂肪成分。注射对比剂(CA)Clariscan™钆特酸葡甲胺后,肿瘤呈明显强化;仅肿瘤内少量液体区域未见强化(图1D)。弥散加权成像(DWI)信号呈不均匀增高(图2A)。表观扩散系数(ADC)呈不均匀性;实性成分ADC值较低,但病灶信号总体较高,这可能提示细胞密度较低(图2B)。各感兴趣区域(ROI)的肿瘤ADC值介于2.979×10⁻³ s/mm²至1.306×10⁻³ s/mm²之间,平均值为2.258×10⁻³ s/mm²(图2B)。未见周围组织浸润(图1A-1D)。检查未发现淋巴结肿大。

图 1.
1.jpg

T2 加权和 T1 加权图像表现。(A) 矢状位 T2 加权 (T2WI) 图像显示盆腔内异质性高 T2 信号肿瘤。(B) 冠状位 T2 加权 (T2WI) 图像显示盆腔内异质性高 T2 信号肿瘤。(C) 轴位 T1 加权 (T1WI) 脂肪抑制图像显示肿瘤内部均匀的中等 T1 信号。(D) 轴位 T1 加权 (T1WI) 脂肪抑制增强图像显示肿瘤内部异质性强化。

图 2.
2.jpg

轴位扩散加权成像和表观扩散系数图。(A) 轴位扩散加权成像 (DWI) 显示高信号(b=800 s/mm²)。 (B)表观扩散系数(ADC)图显示ADC值为2.258×10−3s/mm2。
您需要登录后才可以回帖 登录 | 注册

本版积分规则

丁香叶与你快乐分享

微信公众号

管理员微信

服务时间:8:30-21:30

站长微信/QQ

← 微信/微信群

← QQ

Copyright © 2013-2025 丁香叶 Powered by dxye.com  手机版 
快速回复 返回列表 返回顶部