| 
一名26岁女性,因剧烈下腹痛、痛经、深度性交痛、排便困难和偶尔的直肠出血就诊。检查发现子宫活动受限,并伴有直肠阴道结节。放置曼月乐宫内节育环以缓解其周期性症状,但症状持续存在。患者开始接受促性腺激素释放激素类似物 (GNRHa) 治疗,并联合添加激素替代疗法 (HRT),初步诊断为子宫内膜异位症。
×
马上注册,结交更多好友,享用更多功能,让你轻松玩转社区。
您需要 登录 才可以下载或查看,没有账号?注册  
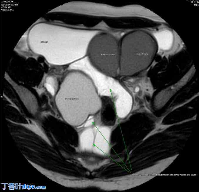
 磁共振成像 (MRI) 显示盆腔内多发清晰的囊性结构、子宫腺肌病、双侧子宫内膜异位症以及子宫与直肠乙状结肠后连接处粘连(图1、图2)。由于影像学检查结果与子宫内膜异位症的诊断并不完全一致,因此进行了诊断性腹腔镜检查。
 
 图 1.
 
   经中部骨盆的 T2 矢状面磁共振图像。子宫内膜异位症灶性大面积,并通过深部浸润性子宫内膜异位症与直肠相连。子宫后方可见多房积液,经组织学证实为间皮瘤。膀胱和宫底前方可见一单独的子宫内膜异位瘤。
 
 图 2.
 
   经中部骨盆的 T2 轴位磁共振图像显示双侧子宫内膜异位瘤,其间可见多房积液,经组织学证实为间皮瘤。
 
 初次腹腔镜检查发现整个骨盆、上腹部腹膜和膈肌均有含铁血黄素沉积。左侧子宫内膜异位症较大,约10 cm,乙状结肠粘连于其下方。右侧子宫内膜异位症约6 cm,位于子宫底部(图3)。子宫内膜异位症活动后,直肠与子宫粘连明显。道格拉斯袋几乎完全闭合,仅剩直肠左侧一小块开口。两侧子宫骶韧带均有增厚,均向子宫方向牵拉。直肠指检时,可在前方约10 cm处触及一块斑块。硬性乙状结肠镜检查视野有限。
 
 图 3.
 
   (a 和 b) 初次腹腔镜检查。
 
 两侧子宫内膜异位囊肿均已游离并引流。盆腔内可见含液腹膜囊肿,其中一个位于腹前壁,两个小囊肿位于道格拉斯袋内,右侧还有一些伞端旁囊肿。这些囊肿均已切除并送检进行组织学检查。
 
 术后,患者继续使用促性腺激素释放激素释放激素释放激素(GnRHa)并添加激素替代疗法(HRT),并安排了随访。组织学报告显示良性腹膜多囊性间皮瘤,AE1/3 和钙网膜蛋白阳性。患者被转诊至国家间皮瘤中心,并由国家腹膜间皮瘤多学科团队 (MDT) 进行讨论。治疗方案包括保守治疗或再次手术切除腹膜病变。然而,由于患者子宫内膜异位症未得到治疗,症状依然存在,因此计划进行第二次手术,该手术由妇科和结直肠外科联合进行。临时柔性乙状结肠镜检查未发现直肠黏膜受累。
 
 第二次腹腔镜检查发现双侧子宫内膜异位囊肿复发(图4),并粘连于子宫后壁、乙状结肠和直肠。输卵管伞端附近还有多个小型腹膜囊肿,右侧输卵管上皱襞处有一小块子宫内膜异位灶。直肠完全粘连于子宫,导致道格拉斯陷窝消失。小心地游离双侧卵巢,并引流双侧子宫内膜异位囊肿。切除所有可见的盆腔囊肿。悬吊双侧卵巢,游离乙状结肠,并进行双侧输尿管松解术。双侧直肠旁间隙分离,将肠管从子宫后部游离。将子宫内膜异位结节从直肠阴道隔壁刮除。浆膜用3条间断PDS缝合线加固。进行直肠气体试验,显示直肠壁完整。将所有残留的子宫内膜异位症从盆腔侧壁、两侧宫骶韧带和子宫后部分离。释放卵巢,并用透热疗法将子宫内膜异位囊肿钝性剥离至底部(图5)。
 
 图 4
 
   二次腹腔镜检查
 
 图 5
 
   手术结束时的图像。
 |