| 
一名61岁男性因右腹股沟肿胀疼痛入院。入院前,他的美国东部肿瘤协作组 (ECOG) 体能状态评分为0级,体重维持10余年。他无显著运动史,从事农业工作。他偶尔饮酒,每天吸烟3支,持续40年。然而,他有3年心肌梗死病史,需要接受VA-ECMO治疗(图1a)。在VA-ECMO治疗期间,经皮将一根套管插入右侧股动脉和静脉,然后采用切开法将其拔除。未发生穿刺部位并发症,包括术后血肿、血管夹层和假性动脉瘤。
×
马上注册,结交更多好友,享用更多功能,让你轻松玩转社区。
您需要 登录 才可以下载或查看,没有账号?注册  
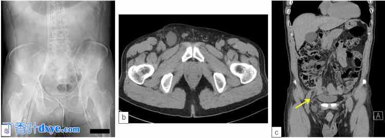
 图1. VA-ECMO治疗期间腹部X光片和阑尾股疝腹部CT扫描。
 
   a:经右股动脉插入VA-ECMO血液流入套管,经右股静脉插入血液流出套管,经左股动脉插入主动脉内球囊泵导管;b:尽管存在液体潴留,但未观察到穿孔迹象;c:在右股疝中观察到阑尾(箭头)。(b:轴向切面;c:冠状切面)。VA-ECMO:静脉-动脉体外膜肺氧合
 
 入院时,患者无腹膜炎,疼痛局限于右腹股沟区。虽然患者无发热,血液检查结果也未显示炎症加重,但腹部CT扫描显示右股疝累及阑尾(图 1b、1c)。作者诊断为德·加伦格奥疝,并在征得患者同意后进行了腹腔镜手术。
 
 简而言之,在全身麻醉下实施了三孔腹腔镜手术,患者取仰卧位。腹腔镜检查过程中,阑尾已从右股疝中脱离,易于辨认(图 2a、2b)。由于阑尾炎症轻微且右股疝腔内无脓肿,因此实施了腹腔镜阑尾切除术及经腹腹膜前修补术 (TAPP)(图 2c、2d)。手术持续 125 分钟,出血量有限。术后过程顺利,患者于术后第三天出院。切除阑尾的病理检查诊断为纤维性闭塞和蜂窝织炎性阑尾炎。
 
 图 2. 阑尾和右股疝的腹腔镜表现。
 
   a:阑尾与右侧股疝脱离(箭头);b:阑尾清晰可见,并显示阑尾嵌塞股疝后的变化;c:股疝内可见血肿;d:切开腹膜,可识别股管(箭头)。
 |