仿气腹25孔3单端腔镜训练箱训练用单针/双针带线【出售】-->外科训练模块总目录
「训练教具器械汇总」管理员微信/QQ12087382[问题反馈]
开启左侧

[普外] 腹腔镜部分结肠切除术

[复制链接]
发表于 2023-12-23 00:00:29 | 显示全部楼层 |阅读模式
 楼主| 发表于 2023-12-23 00:00:30 | 显示全部楼层
与开放手术相比,腹腔镜技术为患者提供了许多好处。 在本视频中,演示了腹腔镜左半结肠切除术的技术。
 楼主| 发表于 2023-12-23 00:00:31 | 显示全部楼层

腹腔镜部分结肠切除术

腹腔镜部分结肠切除术

图1
两例的内镜检查结果。 病例 1 (A) 的升结肠处有圆形、半透明且基础广泛的粘膜下病变,病例 2 (B) 的乙状结肠处有边缘锐利的小叶状粘膜下病变,坡度平缓,表面光滑。 图1A1A的左下角显示,当患者体位改变时,肿块的形状发生变化,触诊时出现波动。

腹腔镜部分结肠切除术

腹腔镜部分结肠切除术

图2
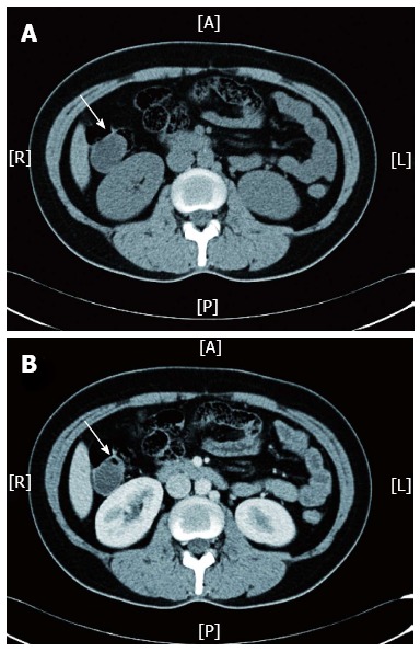
病例 1 的腹部盆腔计算机断层扫描显示升结肠处有一个囊性肿块(白色箭头所示),在非造影扫描 (A) 中可见,但在动脉期后未增强 (B)。 A:前部; R:右; L:左; 普:后部。

腹腔镜部分结肠切除术

腹腔镜部分结肠切除术

图3
使用导管 EUS 探头获得的两个病例的内窥镜超声图像。 A:病例 1 中病灶隆起,为无回声、均质囊肿(频率 6 MHz); B:案例 2 中的多个隔膜壁(由白色箭头表示)(频率 12 MHz); EUS 显示两个病变均位于第三层(粘膜下层)。

腹腔镜部分结肠切除术

腹腔镜部分结肠切除术

图4
两例经苏木精和伊红染色后进行组织病理学检查(低倍视野图像放大40倍)。 A:病例1显示扩张的粘膜下囊肿,内衬单层内皮细胞[左下,苏木精和伊红(HE)染色,×200]; B:病例2显示不同大小的淋巴管,其上覆盖有一层扁平的淋巴上皮。 还注意到血管的平滑肌层(右下,HE染色,×400)。
您需要登录后才可以回帖 登录 | 注册

本版积分规则

丁香叶与你快乐分享

微信公众号

管理员微信

服务时间:8:30-21:30

站长微信/QQ

← 微信/微信群

← QQ

Copyright © 2013-2026 丁香叶 Powered by dxye.com  手机版 
快速回复 返回列表 返回顶部