仿气腹25孔3单端腔镜训练箱训练用单针/双针带线【出售】-->外科训练模块总目录
「训练教具器械汇总」管理员微信/QQ12087382[问题反馈]
开启左侧

腹腔镜修复穿孔十二指肠溃疡:另一种使用圆韧带瓣

[复制链接]
发表于 2019-1-3 00:01:01 | 显示全部楼层 |阅读模式

马上注册,结交更多好友,享用更多功能,让你轻松玩转社区。

您需要 登录 才可以下载或查看,没有账号?注册

×
概要
穿孔十二指肠溃疡的处理通常通过腹腔镜进行,并且包括在进行腹膜腔灌洗后缝合穿孔。在大多数情况下,会产生皮瓣,并且网膜皮瓣通常是首选,因为它简单并且靠近十二指肠穿孔部位。然而,在某些情况下,由于腹膜炎的严重程度或由于先前的手术切除,不能使用更大的网膜。作者报告了一种腹腔镜技术,使用圆韧带瓣修复十二指肠溃疡穿孔。本手稿和相关视频突出了一些重要的技术方面,以便轻松执行此过程。

关键词:腹腔镜,十二指肠溃疡,穿孔性溃疡,镰状韧带瓣

介绍
目前,在根据Boey评分选择患者后,最常通过腹腔镜检查[1]对十二指肠溃疡穿孔进行治疗[2]。手术技术包括在细菌学和真菌学样本后灌洗腹膜腔,然后用穿着的网膜贴片缝合穿孔,最后引流手术部位[3]。应该系统地关闭带网膜斑块的穿孔性溃疡,因为它可以降低死亡率和发病率[4]。腹腔镜修复最简单的技术通常需要使用网膜瓣[5]。但是,在某些情况下,较大的网膜不能用作封闭穿孔的补丁。

手术技巧
作者报告了作者的手术技术,用于腹腔镜修复位于十二指肠第一部分前壁的穿孔十二指肠溃疡(照片1A,B)。患者位于法国位置;外科医生站在病人的腿与右边的第一个助手之间。最初通过开放的Hasson技术将12mm套管针插入脐上方。然后通过右腹直肌插入5mm套管针,通过左腹直肌插入10mm套管针,并在腹腔镜视觉下将5mm套管针插入上腹部。腹膜腔的初步探查揭示了全身化学性腹膜炎(照片2A,B)。采集细菌学和真菌学样品。进行腹膜灌洗并除去所有纤维蛋白膜。然后进行腹腔探查以观察穿孔(图2C,图1A)。通过两根可吸收的手术缝合线(Polysorb 3-0,Covidien France SAS,Elancourt,France)缝合十二指肠溃疡(图1B)。

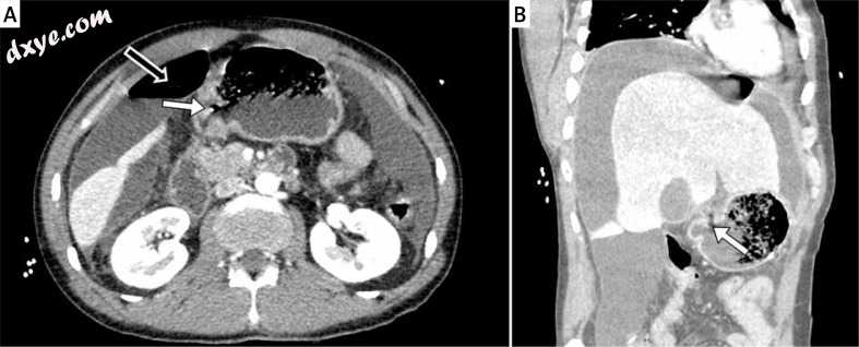
1.jpg
照片1
术前腹部CT扫描穿孔十二指肠溃疡。 A-轴向腹部CT扫描显示十二指肠第一部分的壁穿孔(白色箭头)和气腹(黑色箭头)的存在,B  - 冠状位腹部CT扫描显示穿孔位于第一部分的前表面 十二指肠(白色箭头)

2.jpg
照片2
术中发现。 A  - 右上腹部化学性腹膜炎,左上腹部B化学性腹膜炎,C  - 术中视图显示十二指肠第一部分穿孔(黑色箭头),D  - 术中视图显示穿孔十二指肠上的镰状韧带贴片 溃疡(白色箭头)

f1.jpg
图1
使用镰状韧带贴片修复穿孔性溃疡的各个步骤的图表。 A  - 预防性穿孔和镰状韧带的操作,B  - 穿孔的直接缝合留下长留缝线,C - 缝合的镰状韧带皮瓣

缝合线的末端留在腹腔内很长,针头小心地放在大网膜上以避免器官损伤。然后进行亚甲蓝测试以确认没有泄漏。由于严重的腹膜炎不能进行网膜瓣,优选圆韧带瓣。释放镰状韧带以允许无张力的动员,首先在腹膜侧然后在肝侧。然后回收留置的缝线并用于将圆形贴片固定在十二指肠溃疡上(照片2D,图1C)。在外科手术结束时,通过5毫米右套管针放置吸引引流管,并将其放置在靠近圆韧带瓣的位置(视频)。

术后管理包括术后第1天切除鼻胃管和质子泵抑制剂和抗生素治疗。在术后第3天进行口服亚甲蓝试验以确保没有泄漏,允许口服再喂食。然后在术后第4天取出引流管。

讨论
经常描述使用镰状韧带来治疗腹腔内困难的情况,例如静脉重建[6],预防胰瘘或保护血管以减少胰瘘存在时假性动脉瘤的风险[7] ,或破裂的肝肿瘤的止血[8]。弗莱等人。描述了1978年在穿孔性消化性溃疡中首次使用镰状韧带[9]。 1996年,Munro等人。发表了一系列6例患者,通过腹腔镜下缝合镰状韧带瓣治疗十二指肠溃疡穿孔[10]。

十二指肠溃疡修复通常与网膜瓣相关,以保护十二指肠穿孔的缝合线。然而,在某些情况下,这种技术是不可能的,但皮瓣与十二指肠溃疡修复的组合似乎与较低的术后并发症发生率相关[4]。在这种情况下,使用圆形或镰状韧带代替传统的网膜贴片是有趣的,以完成溃疡的直接闭合。

作者在一些十二指肠溃疡病例中使用了圆形韧带瓣,结果良好,这种贴片技术上可行且非常简单。在某些情况下,没有直接关闭穿孔,但简单地将圆韧带缝合在十二指肠溃疡上(视频)。作为腹腔镜胰十二指肠切除术的一部分,作者也经常使用这种贴片来保护血管。

结论
圆形韧带贴片在技术上可行通过腹腔镜检查,并且对于有网膜切除病史或存在主要腹膜炎症的患者而言似乎是网膜贴片的有价值替代品,可防止使用网膜贴片。

视频:


参考:
Laparoscopic repair of a perforated duodenal ulcer: another use of a round ligament flap
1. Tan S, Wu G, Zhuang Q, et al. Laparoscopic versus open repair for perforated peptic ulcer: a meta analysis of randomized controlled trials. Int J Surg. 2016;33:124–32. [PubMed]
2. Lee FYJ, Leung KL, Lai BSP, et al. Predicting mortality and morbidity of patients operated on for perforated peptic ulcers. Arch Surg. 2001;136:90–4. [PubMed]
3. Mouly C, Chati R, Scotté M, Regimbeau JM. Therapeutic management of perforated gastro-duodenal ulcer: literature review. J Visc Surg. 2013;150:333–40. [PubMed]
4. Turner WW, Thompson WM, Thal ER. Perforated gastric ulcers: a plea for management by simple closures. Arch Surg. 1988;123:960–4. [PubMed]
5. Rebibo L, Darmon I, Regimbeau JM. Laparoscopic surgical technique for perforated duodenal ulcer. J Visc Surg. 2016;153:127–33. [PubMed]
6. Ikegami T, Shimada M, Imura S, et al. Beneficial use of the round ligament as a patch graft for vena cava reconstruction. J Hepatobiliary Pancreat Surg. 2008;15:581–4. [PubMed]
7. Ray S, Sanyal S, Ghatak S, et al. Falciform ligament flap for the protection of the gastroduodenal artery stump after pancreaticoduodenectomy: a single center experience. J Visc Surg. 2016;153:9–13. [PubMed]
8. Fujino Y, Ku Y, Suzuki Y, Kuroda Y. Successful haemostasis of a ruptured liver tumour using flaps of gallbladder serosa and the falciform ligament. Eur J Surg. 2001;167:552–3. [PubMed]
9. Fry DE, Richardson JD, Flint LM. Closure of an acute perforated peptic ulcer with the falciform ligament. Arch Surg. 1978;113:1209–10. [PubMed]
10. Munro WS, Bajwa F, Menzies D. Laparoscopic repair of perforated duodenal ulcers with a falciform ligament patch. Ann R Coll Surg Engl. 1996;78:390–1. [PMC free article] [PubMed]
您需要登录后才可以回帖 登录 | 注册

本版积分规则

丁香叶与你快乐分享

微信公众号

管理员微信

服务时间:8:30-21:30

站长微信/QQ

← 微信/微信群

← QQ

Copyright © 2013-2026 丁香叶 Powered by dxye.com  手机版 
快速回复 返回列表 返回顶部