仿气腹25孔3单端腔镜训练箱训练用单针/双针带线【出售】-->外科训练模块总目录
「训练教具器械汇总」管理员微信/QQ12087382[问题反馈]
开启左侧

小肠梗阻的CT平片表现与超声相关性:5-放射学相关性

[复制链接]
发表于 2018-12-28 08:43:28 | 显示全部楼层 |阅读模式

马上注册,结交更多好友,享用更多功能,让你轻松玩转社区。

您需要 登录 才可以下载或查看,没有账号?注册

×
新的成像方式改变了传统放射学在急腹症研究中的作用。尽管如此,仍然可以使用腹部平片:

- 寻找不透射线的异物;

- 确定游离的腹腔内空气;

- 在术后随访;

- 在急性肠道行为的研究中。

测试技巧

在腹部平片之前,建议:

- 避免清洁灌肠:引入水会导致图像干扰,这可能会产生误导。

- 延迟引入鼻胃管或直肠导管,因为它们往往会减少胃肠淤滞,这对形态学和诊断方向很重要。

- 了解药物治疗的类型和持续时间,因为它能够改变肠道张力和运动能力。

在肠闭塞中,发生具有不同量的空气成分的腔内停滞。这种情况导致肠道空气的射线可透性与腹部软组织的轻微射线不透性之间的强烈对比差异。这种对比度值的差异不应该增加。因此,腹部平片必须以低毫安和中等至高千伏值进行。这种方法将给出所有腹部和肠道成分的柔和表示。

不合作的病人

患有急腹症的病人可能是合作的或不合作的。 在不合作的患者的情况下,患者在仰卧位置进行两次腹部概览射线照片就足够了:一张前后位(AP)射线照片和一张后外侧(LL)射线照片,其中X射线管平行于地板。 腹部平片应完成胸片(AP仰卧位片)。

位于仰卧位的LL射线照片(方案5.1)

- 显示肠淤滞。

- 展示腹壁和肠袢的特征。

- 定义肠和腹壁之间的关系。

- 显示游离的腹腔内空气。

位于仰卧位的AP射线照片(方案5.2)

- 提供胃肠道异常的概述。

- 定义肠和腹壁之间的关系。

- 显示免费的腹腔内空气。

合作病人

可以在这样的患者中执行完整的“基本系列”:俯卧位的一张前后(PA)射线照片,以及垂直位置的一张PA射线照片被添加到仰卧位X射线照片中。 在PA膜中,肠环靠近敏感平面并被压缩。 胸部放射学研究应在双重预测中进行。

处于俯卧位的PA射线照片(方案5.3)

- 允许仔细和详细地分析肠道方面和关系。

- 允许相对于仰卧位置以不同分布显示肠内容物。

s1.jpg
方案5.1。仰卧位卧位患者:侧位X线片

s2.jpg
方案5.2。仰卧位卧位患者:前后位片

s3.jpg
方案5.3。卧床病人:后前位X线片

垂直位置的PA射线照片(方案5.4)

- 改变气液滞留并产生气液水平。

- 允许评估实体和停滞的位置。

- 促进自由空气的膈下处置和游离腹膜液的骨盆位置。

执行两个额外的X射线照片可能是有用的,一个在左侧,一个在右侧卧位,聚焦到直肠壶腹。 目的是改变肠道空气。 分析左右侧卧位很重要。 肠道通气的连续性允许气体到达并扩张直肠壶腹。 另一方面,在存在对管道化的有机中断的情况下,空气将以最小的速率并且以不均匀和片段的方式到达直肠壶腹。

s4.jpg
方案5.4。直立位病人:后前位X线片

在后续工作中,没有必要执行整个“基本系列”:应根据具体情况选择更合适的射线照片。

急性肠道行为

急性肠道行为表明肠道在急性病理条件下可能呈现的基调,运动,形状和位置的所有变化。 实际上,肠环改变了它的外观,基调和运动性,并经常改变它的部位。 急性肠道行为可分为:

- 反射性痉挛性肠梗阻(RSI)。

- 反射性低渗性肠梗阻(RHI)。

- 麻痹性肠梗阻(PI)。

- 机械性肠梗阻(MI)。

每个肠梗阻都具有内在的进化动力,它将不同的类型相互连接起来。

反射性痉挛性肠梗阻

由于肠道剧烈痉挛,RSI出现腹部绞痛。放射学检查结果如下(图5.1-5.5):

- 通常部位和模式(肠道沉默)明显减少或完全没有肠道气体:肠道的高渗性痉挛状况导致几乎完全没有肠道气体的正常发现。

- 正常或增强正常腹部特征的可见性:腹部肌肉组织的挛缩突出了实质器官的可见性,以及顶侧和内脏发现,例如侧腹条纹,腰肌和骨盆底的边界。

RSI可能代表急腹症的发作,无论是否存在潜在的原因,并且它可能经常逃避放射性记录,使其早期出现。它可能是短暂的,在几小时内自发消失;然而,在大多数情况下,它会发展成低渗性肠梗阻。肠痉挛的持续存在是引起警觉的原因,表明存在严重的病理状况。

1.jpg
图5.1。 肝挫伤弥漫性反射性痉挛性肠梗阻。 前后仰卧位X线片。 除了胃腔内极少量的空气外,完全在体内保持(From Grassi R et al。(2004)Semeiotica radiografica dell'addome acuto all'esame radiologico diretto:ileo riflesso spastico,ileo riflesso ipotonico,ileo meccanico ed ileo paralitico.Radiol Med 108:56-70,)

2.jpg
图5.2。 左输尿管绞窄引起局部反射性痉挛性肠梗阻。 前后仰卧位X线片。 右腹部显示出基本上正常的气体和粪便的位置。 左腹部显示肠道和肾脏,腰肌,侧腹条纹和骨盆底的良好可视化

3.jpg
图5.3。 左输尿管绞窄引起局部反射性痉挛性肠梗阻。 后前倾位X线片。 右结肠中的正常形状粪便。 脊柱处于左侧偏转位置。 左腹部无气体和粪便。 腹壁收缩导致左侧肌肉壁增厚

4.jpg
图5.4a-c。 由急性阑尾炎引起的弥漫性反射性痉挛性肠梗阻。 对比度增强的多检测器计算机断层扫描(CT)。 一个前后视图。 鼻胃管的存在。肠道的高渗性痉挛性危象导致几乎完全没有肠气。 b,c收缩和收缩的空肠袢的CT表现。 正常肠系膜。 没有腹膜液(续.➝)

5.jpg
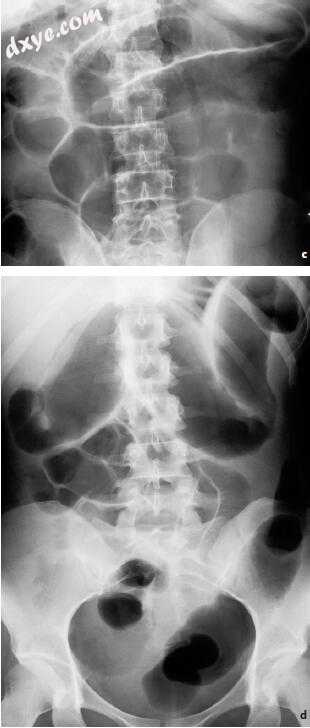
图5.5a-d。 反射性痉挛性肠梗阻的演变。 多发性腰椎骨折创伤后多灶性痉挛性肠梗阻。 a,b正面和侧面视图。 肠道气体含量的差,不均匀和多元分布。 没有液体水平。 没有腹胀。 (续.➝)

5-2.jpg
c,d 24小时随访。 正面和侧面视图。 高渗性痉挛反应消失了。 随后的音调降低确定了腹部和肠扩张的临床和放射学图像。 弥漫性均匀,但适度,小肠和大肠扩张。 独特的气体淤滞。 痉挛性肠梗阻进展为低渗性肠梗阻

反射性低张性肠梗阻

当高渗性痉挛反应结束时,肠环松弛并且音调降低,伴有肠扩张的临床表现(图5.6-5.8)。 RHI的特点是:

- 均匀减少音调;

- 气体淤滞;

- 没有液位;

- 适度的膨胀;

- 薄壁;

- 轻微或缺席的环状襞;

- 肠圈以几何或马赛克图案拥挤。

RHI可能是短暂的,并且通过出现不同的肠音和运动异常来揭示其进行性分辨率。 RHI恶化通过液体淤滞的出现来记录,这表明进化为麻痹性变种的不同且更严重的肠梗阻。 当音调减弱时形成气态停滞。 只有当运动减少时才会形成液体淤滞。

6.jpg
图5.6。反射性低张性肠梗阻。循环图像。仰卧位前后位片3例。中度小肠扩张。薄壁和几乎无瓣膜共生。具有几何马赛克图案特征的环路拥挤。(来自Grassi R等人)(2004)放射线摄影术符号:回肠内翻性痉挛,回肠内翻性麻痹,回肠外翻性麻痹。Ra-diol Med 108:56-70,)

7.jpg
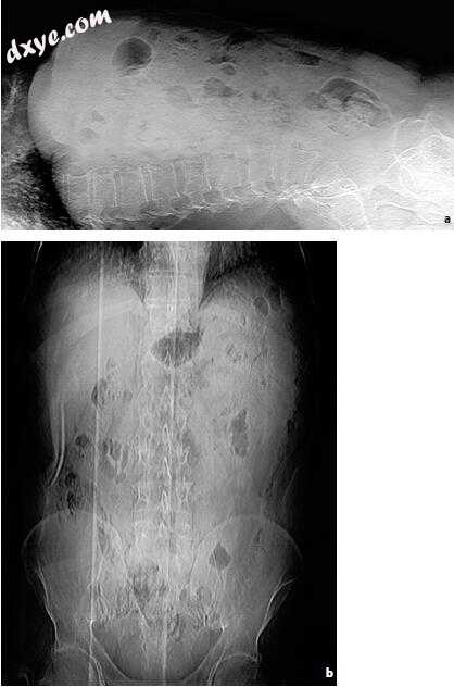
图5.7a,b。 由于海洛因过量导致的局部反射性低渗性肠梗阻。 a,b后侧卧位X线片。

前后仰卧位X线片。 独特的气体淤滞。 扩张仅限于一些小肠环。

绞窄框架几乎检测不到。 在左中腹部,环的特征镶嵌图案是明显的

8.jpg
图5.8a-d。 反射性低渗性肠梗阻(RHI)的演变。 严重的心脏和循环衰竭。 腰椎(LL)仰卧位X线片。 气态小肠扩张。 b 24小时随访。 LL仰卧位X线片。 液体瘀滞的证据。 结肠受累增加腹部和肠道扩张。 RHI已变为麻痹性肠梗阻,伴有气液水平。 c,d后48小时随访。 (续.➝)

8-2.jpg
c LL仰卧位X线片。环直径和液体淤滞的进一步增加。音和运动减少达到完全麻痹。 d前后位仰卧位X线片。正面全景确认了小肠和大肠扩张。胃受累表明情况严重。减少音调和运动导致一些空肠环的水平分布。引入直肠导管以减少腹部和肠道扩张。患者在几小时内死亡

麻痹性肠梗阻

PI或动态肠梗阻表示由于肠张力和运动性降低导致的急性功能性异常。在PI中,保持肠腔的连续性。它可能主要或仅涉及小肠,大肠或两者(图5.9-5.14)。胃内容量表明严重性。 PI有多种外观,因此其放射学描述很复杂。唯一的发现是:

- 肠胀;

- 气态和液态淤滞;

- 减少音调和运动。

在后续行动中,PI的解决方案通过以下方式揭示:

- 减少肠袢直径;

- 减少液体淤滞;

- 恢复肠音和运动。

PI的恶化特征是:

- 增加肠袢直径;

- 增加液体淤滞;

- 逐渐减少语气和运动直至瘫痪。

9.jpg
图5.9 a,b。 麻痹性肠梗阻。 循环图像。 a,b两名患者的前后仰卧位X线片,在直立X光片中显示气液水平(未显示)。 药物过量导致企图自杀。 显著的音调和运动性降低导致小肠环的直线处置。 焦点,循环拥挤与几何图案。 b由于复杂的急性阑尾炎引起的腹膜炎。 通过腹膜液增加腹部不透明度。 扩张的空肠环倾向于水平分布。 可视化不良的环状襞

10.jpg
图5.10a,b。麻痹性肠梗阻。麻醉药物过量。仰卧位前后位片。b前后俯卧位X线片。小肠和大肠明显扩张。小肠管化的连续性允许气体随病人体位的变化而自由移动:直肠壶腹在俯卧位扩张良好。

11.jpg
图5.11a,b。严重脑缺血引起的麻痹性肠梗阻。侧卧位片。混合性肠梗阻。b仰卧位前后位片。全景摄影可以显示扩张的内脏:胃、小肠、结肠、直肠的淤积。

12.jpg
图5.12a,b。麻痹性肠梗阻。大动脉小肠梗塞。前后直立X线片。b仰卧前后位片。中度小肠扩张伴气液淤滞。胃和右结肠扩张。在中腹部,两个小肠环趋向于水平分布。含气环显示薄

13.jpg
图5.13。 麻痹性肠梗阻。 由于穿孔的乙状结肠憩室伴有游离腹膜和腹膜后空气引起的腹膜炎。 前后仰卧位X线片。 Ri-gler的征象,“明亮的肝脏”和圆韧带(黑色箭头)的存在证实了游离的腹膜空气。 左后肾上腺空间(白色箭头)存在气体,可以证明腹膜后空气游离。 大量气态小肠扩张。 剧烈的音调降低导致环路倾向于水平分布。 含气肠显示薄壁和不完整的环状襞

14.jpg
图5.14a-e.麻痹性肠梗阻(PI)的演变。溃疡性结肠炎中毒性巨结肠。前后垂直位片。明显的结肠扩张。气液郁滞,气相成分普遍存在。代谢毒素蓄积引起小肠功能反弹。b 2天后,结肠扩张增加。

14-2.jpg
14-3.jpg
c 24 h后,PI中度消退,结肠直径减少,液体淤滞减少。 8天后,结肠直径明显减少,液体淤滞几乎完全消失,进一步改善。在马赛克图案中具有环状拥挤的中度小肠扩张是显而易见的。回归中的PI已变为低渗性肠梗阻。存在鼻胃管。 3天后,结肠气体扩张已经消退。肠道张力和运动性变化的出现揭示了低渗性肠梗阻的逐渐消退。存在鼻饲管

机械性肠梗阻

MI的特征在于肠腔连续性的中断,导管化的急剧变化(图5.15-5.20)。阻塞性前导点导致近端环的腔内张力增加。阻塞部位远端的环路表现为逐渐塌陷。肠淤滞总是混合品种,气体和液体。在简单的MI中,墙壁是规则的和薄的。在空肠处,薄的瓣膜具有优雅的圆形设计,拥挤和强迫的姿势显得很快,代表肠道张力和运动的最终尝试超过机械障碍。

15.jpg
图5.15a,b。术后小肠纤维蛋白梗阻。侧卧位和后前位垂直位片。第一空肠袢随空气-液体水平的分布。薄瓣合生,优雅,完全圆形。

16.jpg
图5.16a-f。小肠梗阻。超音波和放射线综合。a-d“基本系列”射线照片。回肠空肠扩张。可察觉到的绞窄框架。气液停滞。许多强制性环状襞收缩。右侧空肠和左侧回肠的异常位置增加了小肠扭转的可能。含气环显示规则和薄壁。对于下腹部不透明的含液体的袢圈,无法进行形态学和诊断上的判断。幸运的是,液体充当了声学窗口,因此允许超声和普通胶片之间的集成。(续)

16-2.jpg

16-3.jpg
e,f超声波检查。 扩张的回肠环具有液体含量和薄壁。 由于极端的腔内张力导致扁平瓣膜狭窄。 存在游离腹膜液(tanga sign)。 手术显示粘连带小肠小肠扭转。 (Grassi R等人的图5.16e(2004)在成人小肠梗阻的临床评估中通过超声检查检测到的肠环之间游离液的相关性.Eur J Radiol 50:5-14,经许可转载)

在随访中,MI回归显示为:

- 减少液体淤滞;

- 不完整的环状襞,不那么拥挤和强迫的态度;

- 远端肠道中气体的逐渐再现;

- 音调和动力的变化。

MI恶化的特征是:

- 增加肠袢直径;

- 增加液体淤滞;

- 越来越拉伸和变薄的墙壁;

- 进行性远端肠塌陷;

- 音调和动力变化;

- 可能发展为复杂的MI。

17.jpg
图5.17 a-c。 由于大餐导致的小肠梗阻消退。 后前方直立C线片。 回肠 - 空肠膨胀。 气液淤滞与液体成分的流行。 强迫环状襞。 没有绞痛框架。 (续.➝)

17-2.jpg
b 24小时随访。 小肠直径明显减少,液体淤滞几乎完全消失。 初始气体置换大肠。 存在鼻胃管。 c随访48小时。 液体淤滞消失,气体淤滞减少,袢直径减小。 大肠的逐步气体置换和右侧结肠中粪便的存在。 小肠的音调和运动性变化持续存在。 (From Grassi R et al。(2004)Semeiotica radi-ografica dell'addome acuto all'esame ra-diologico diretto:ileo riflesso spastico,ileo riflesso ipotonico,ileo meccanico ed ileo paralitico.Radiol Med 108:56-70,)

18.jpg
图5.18 a-c。 小肠梗阻(SBO)恶化。 术后期。 后前位直立X光片。 适度的回肠 - 空肠膨胀。 没有表示绞痛框架。 平衡气液瘀滞。 目前但不完整的环状襞。 b 24小时随访。 环形直径的增加与强大的液体淤滞环状襞,优雅的完整圆形设计。 增加腔内淤滞。 SBO的X线片逻辑发现恶化。 c随访48小时。 回肠 - 空肠扩张异常,气液淤滞增加。 腔内张力非常高。 手术显示纤维蛋白导致盆腔回肠肠梗阻

18-2.jpg
b        (续. ➝)

19.jpg
图5.19 a-c。 小肠梗阻(SBO)恶化。 a 前屈仰卧和b直立X线片。 SBO大规模扩张。 异常环路位置,由于肠扭转而呈现螺旋形配置。 气液淤滞。 右侧结肠适度代表。 由于血管变化导致的初始肠壁增厚。 老年患者的临床状况不佳,建议不要进行手术治疗。 c急性肠缺血最后阶段的随访,伴有坏死性穿孔性腹膜炎。 剧烈的音调减少,肠道扩张异常。 近端空肠环显示基本上保留的壁和瓣膜。 其他含气体的回肠 - 空肠节段显示出明显的壁增厚。 显著的胃扩张症,表明病情严重。 右结肠代表性不佳。 腹膜炎伴穿孔引起的麻痹性肠梗阻与复杂的SBO叠加

19-2.jpg
H.AP仰卧位X线片。 患者无法采取直立姿势。 Rigler标志和“明亮的肝脏”证实了大量游离腹膜空气(星号)的存在。外科干预的缺乏导致

20.jpg
图5.20 a-d。 小肠机械性肠梗阻(MI)和麻痹性肠梗阻(PI)之间的差异诊断。 每位患者在直立射线照片上显示气液水平(未显示)。 a,b MI:两名患者的前后仰卧位X线片。 存在鼻胃管。 管腔连续性的中断导致腔内张力增加,这迫使肠扩张。 环路长时间保持特有的滋补和弯曲的方面。 具有拥挤和强迫外观的薄瓣膜,特别明显。

20-2.jpg
c,d小肠PI。 AP两名患者的仰卧位X线片。 环基础音调的减少允许肠道气体膨胀并占据所有可用空间。 循环往往以直线模式形成。 没有被迫的环状襞。 MI没有典型的腔内张力

参考:Small-Bowel Obstruction CT Features with Plain Film and US correlations
4-2.jpg
您需要登录后才可以回帖 登录 | 注册

本版积分规则

丁香叶与你快乐分享

微信公众号

管理员微信

服务时间:8:30-21:30

站长微信/QQ

← 微信/微信群

← QQ

Copyright © 2013-2026 丁香叶 Powered by dxye.com  手机版 
快速回复 返回列表 返回顶部