仿气腹25孔3单端腔镜训练箱训练用单针/双针带线【出售】-->外科训练模块总目录
「训练教具器械汇总」管理员微信/QQ12087382[问题反馈]
开启左侧

炎症性肠病和子宫内膜异位症:诊断和临床特征

[复制链接]
发表于 2025-9-1 10:00:00 | 显示全部楼层 |阅读模式

马上注册,结交更多好友,享用更多功能,让你轻松玩转社区。

您需要 登录 才可以下载或查看,没有账号?注册

×
随着经阴道超声 (TVS) 或磁共振成像 (MRI) 无创诊断技术的出现,这些无创成像技术有助于在早期、更年轻、更经济地诊断疾病,并且大多数患者更容易获得这些技术。超声 (US) 或 MRI 等诊断性成像技术对于准确诊断至关重要。经阴道超声 (TVS) 诊断的子宫内膜异位症盆腔病变(例如子宫内膜异位囊肿、DIE 和子宫腺肌病)的典型表现确实可以在没有组织学确诊的情况下进行药物治疗。然而,如果疾病处于早期阶段,且浸润浅表且异位灶较小,仪器诊断性成像通常对诊断的贡献不大,但症状可以指导药物治疗。

最近,一项关于超声检查中用于描述不同类型子宫内膜异位症的术语、测量方法和定义的共识已发布 (图 1 和图 2)。

图 1.
1.jpg
卵巢子宫内膜异位症的经阴道超声 (TVS) 表现。(A) 子宫内膜异位症最典型的表现是单房囊性病变,囊壁光滑,呈“毛玻璃”状;(B) 双侧子宫内膜异位症(带星号)呈现“接吻卵巢”状。

图 2.
2.jpg
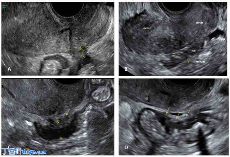
深部浸润型子宫内膜异位症 (DIE) 的经阴道超声 (TVS) 表现。(A) 子宫骶韧带 (USL) 低回声结节(黄色虚线);(B) 累及直肠和子宫圆环(POD:Douglas 袋)的 DIE 低回声结节;(C) 直肠子宫内膜异位症结节(黄色虚线)及其相关的 USL 结节(黄色箭头); (D) 直肠子宫内膜异位症结节(黄色箭头)。

2015 年,一项共识确立了子宫腺肌病的超声征象 。2022 年,MUSA 小组对之前的 2015 年共识进行了回顾,并指出了子宫腺肌病的诊断有直接和间接征象。根据新的分类,可高度确诊子宫腺肌病的直接征象包括肌层内囊肿、高回声岛状结构、子宫内膜下或 JZ 区高回声线或芽状结构 (图 3)。

图 3.
3.jpg
子宫腺肌病的经阴道超声 (TVS) 表现。(A) 二维 (2D) TVS 评估显示直接诊断征象:子宫肌层囊性区域(黄色箭头)、高回声灶(带星号); (B)子宫腺肌病的三维(3D)TVS 评估显示弥漫性未定义的连接区。
您需要登录后才可以回帖 登录 | 注册

本版积分规则

丁香叶与你快乐分享

微信公众号

管理员微信

服务时间:8:30-21:30

站长微信/QQ

← 微信/微信群

← QQ

Copyright © 2013-2025 丁香叶 Powered by dxye.com  手机版 
快速回复 返回列表 返回顶部