仿气腹25孔3单端腔镜训练箱训练用单针/双针带线【出售】-->外科训练模块总目录
「训练教具器械汇总」管理员微信/QQ12087382[问题反馈]
开启左侧

嵌顿性左十二指肠旁疝是导致急腹症的罕见原因:病例报告和文献综述

[复制链接]
发表于 4 小时前 | 显示全部楼层 |阅读模式

马上注册,结交更多好友,享用更多功能,让你轻松玩转社区。

您需要 登录 才可以下载或查看,没有账号?注册

×
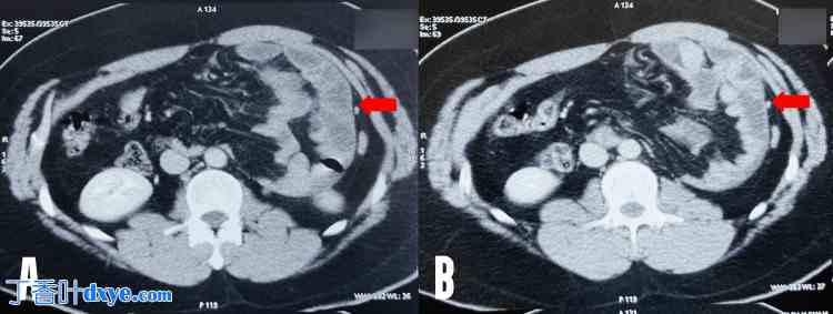
一名30岁男性患者因剧烈、进行性、钝痛性、全身性腹痛两天来门诊就诊。患者无腹胀、呕吐或顽固性便秘。体格检查:患者脉搏116次/分,血压130/86毫米汞柱。腹部检查发现脐区、左季肋部和左腰部有压痛,无其他明显异常,例如腹胀、肌紧张或肌强直。直肠指检未见异常。腹部X光片显示左腰部有少量扩张的肠管。膈肌两侧穹窿下无游离气体,提示有空腔脏器穿孔。增强CT扫描(CECT)显示左侧PDH(图1)。

图 1. 该病例的增强CT图像。
1.jpg
A、B:红色箭头指示囊内扩张的空肠袢突出至左结肠系膜。空肠袢显示血管分布正常。

还进行了CT血管造影,排除了血管损伤/肠缺血。患者最初在最初36小时内接受了保守治疗。然而,患者持续出现相同的疼痛程度,且生命体征不稳定。因此,计划进行诊断性腹腔镜检查。

手术在全身麻醉下进行。外科医生从患者右侧进行操作。在脐下插入一个10毫米的摄像端口。在中线两侧肋缘下方5厘米处插入两个5毫米的工作端口。沿左锁骨中线(沿脐线)插入一个辅助端口,用于牵引。诊断性腹腔镜检查后,可见疝囊粘连于壁层(图 2)。

图 2. 图示疝囊粘连于壁层腹膜。
2.jpg
随后追踪肠管,以确定被疝囊包裹的肠段。可见近端空肠管经横结肠系膜缺损进入,并朝向左季肋部(图 3A)。使用钝器小心地将内容物从缺损处取出(图 3B)。

图 3. 图示肠管疝入横结肠系膜。
3.jpg
A:空肠管进入疝囊缺损,黑色箭头指示空肠管。B:图示结肠系膜缺损,黑色箭头指示。

在将空肠经缺损处送出的过程中,观察到部分空肠与肠囊紧密粘连,无法通过正常牵引送出,提示存在嵌顿性胆管脱垂(PDH)。因此,决定打开肠囊并进行粘连松解术。触诊肠囊底部,确定肠管游离的部分。在该部位(透明度最高)穿刺肠囊,抽吸清澈液体。沿穿刺针的穿刺线切开肠囊,该穿刺针可透过肠囊壁清晰可见,以确保打开肠囊时不会切到肠管(图4)。使用单极透热疗法切开肠囊。

图4. 图示为随后打开肠囊时使用的抽吸器针头。
4.jpg
可以看到针头穿过囊壁的轨迹,该轨迹位于黑色虚线正上方,与虚线平行,位于两个黑色箭头之间。
您需要登录后才可以回帖 登录 | 注册

本版积分规则

丁香叶与你快乐分享

微信公众号

管理员微信

服务时间:8:30-21:30

站长微信/QQ

← 微信/微信群

← QQ

Copyright © 2013-2025 丁香叶 Powered by dxye.com  手机版 
快速回复 返回列表 返回顶部