仿气腹25孔3单端腔镜训练箱训练用单针/双针带线【出售】-->外科训练模块总目录
「训练教具器械汇总」管理员微信/QQ12087382[问题反馈]
开启左侧

[普外] 如何使用腹腔镜超声检查以及如何解释肝脏的解剖标志 - 基本指导

[复制链接]
发表于 2024-8-29 00:00:05 | 显示全部楼层 |阅读模式
购买主题 已有 3 人购买  本主题需向作者支付 99 香叶 才能浏览
 楼主| 发表于 2024-8-29 00:00:06 | 显示全部楼层
引导肝切除术的创新微创方法因其安全性和相对于开放手术的潜在优势而受到广泛认可,例如发病率、失血量和术后住院时间减少。腹腔镜肝超声检查还可以在 10% 的病例中检测到额外的肿瘤,在肥胖患者和有化疗史的患者中观察到的疗效最高。

使用腹腔镜肝超声检查需要对超声肝脏解剖学有扎实的了解。经过适当的培训,它可以在实质解剖过程中勾画出肝段并暴露参考肝静脉。它还有助于最大限度地降低关键结构受伤的风险,是提高手术准确性和安全性的宝贵工具。它还提供个性化和高效的肝脏管理。

1.jpg
图 1
用于开放式术中超声的 T 型探头。

2.jpg
图 2
a) 用于腹腔镜术中超声的柔性线性探头,b) 用于进行腹腔镜肝脏超声的典型手术室设置。

3.jpg
图 3
a) 用于机器人术中超声的曲线 I 型探头,b) 外科医生在机器人控制台上的视图,可同时可视化机器人摄像头和超声图像。

腹腔镜端口放置
如前所述,腹腔镜超声需要 10 毫米或更大的端口才能插入。通常,上腹部或脐部端口可用于纵向成像,而侧面端口(即肋下位置)可用于横向成像(图 4)。对于位于肝脏上部或穹窿的病变,倾向于通过上腹部的端口放置超声。对于左肝病变,认为脐部端口可以实现更好的可视化。最后,经常使用脐带端口来评估右肝,但是如果这不能提供足够的可视化效果,会将超声波切换到右侧肋下端口。

4.jpg
图 4
腹腔镜肝脏术中超声检查的端口放置。

5.jpg
图 5
肝脏超声检查中的接触(直接)扫描技术。探头与肝脏表面的良好接触对于获得最佳成像至关重要。

6.jpg
图 6
肝脏扫描技术包括(A)滑动和(B)滚动/倾斜超声探头。

7.jpg
图 7
为了确保所有血管和胆道结构的完全可视化以及完整的实质检查,肝脏在两个平面上被观察:(A)横向和(B)纵向。

8.jpg
图 8
肝静脉与下腔静脉连接处的术中超声检查。a) 横向探头放置和超声图像,b) 纵向探头放置和超声图像,c) 与具有厚回声壁的门静脉相比,肝静脉通过薄回声壁被识别。

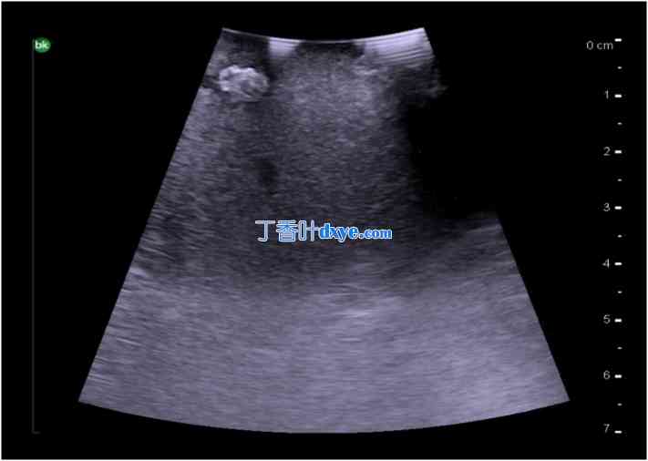
RHV 肝右静脉、MHV 肝中静脉、LHV 肝左静脉、CT 肝主干、IVC 下腔静脉、HV 肝静脉、PV 门静脉。

9.jpg
图 9
术中多普勒超声检查肝静脉血流。

10.jpg
图 10
肝静脉与肝段的关系解剖图。

RHV 肝右静脉,MHV 肝中静脉,LHV 肝左静脉,IVC 内腔静脉。

11.jpg
图 11
左肝静脉和肝中静脉汇合后形成共同主干,然后流入下腔静脉。

MHV 肝中静脉,LHV 肝左静脉,IVC 下腔静脉,CT 共同主干。

12.jpg
图 12
肝门水平的肝右下副静脉。

IVC 下腔静脉,ARHV 肝右下副静脉。

13.jpg
图 13
小肝静脉将尾状叶的血液直接引流至下腔静脉。

尾状叶,IVC 下腔静脉,CV 尾状静脉。

14.jpg
图 14
术中门静脉血流多普勒超声检查。

15.jpg
图 15
门静脉解剖图:a) 右门静脉和 b) 左门静脉。

MPV 主门静脉、RPV 右门静脉、LPV 左门静脉、RAPV 右前门静脉、RPPV 右后门静脉、T 左门静脉横部、U 左门静脉脐部、RHV 右肝静脉、MHV 中肝静脉、LHV 左肝静脉、LT 圆韧带、LV 静脉韧带。

16.jpg
图 16
门静脉分叉处的术中超声检查。a) 横向探头放置和超声图像,b) 纵向探头放置和超声图像。

MPV 主门静脉、LPV 左门静脉、RPV 右门静脉、MHV 中肝静脉支流、HD 胆管、HA 肝动脉、C 尾状核。

17.jpg
图 17
术中肝动脉血流多普勒超声检查。请注意,相邻胆管中没有血流。

18.jpg
图 18
术中左门静脉超声检查。a) 箭头表示超声探头应移动的方向,同时保持横向方向,以观察左门静脉的分段分支,b) 左门静脉的脐部,c) 左门静脉的横向部分。

LHD 左肝管,LHA 左肝动脉,MHV 中肝静脉,U 左门静脉的脐部,T 左门静脉的横向部分。

19.jpg
图 19
在左门静脉的最上部,可以看到患者左侧的 2 段分支,而对面(患者右侧)可以看到 4a 段分支。

U 左门静脉的脐部。

20.jpg
图 20
在左门静脉的末端,可以看到患者左侧的 3 段分支,而对面(患者右侧)可以看到 4b 段分支。

U 左门静脉的脐部。

21.jpg
图 21
右门静脉术中超声检查。a) 箭头表示超声探头应移动的方向,同时保持横向方向,以显示右门静脉的分段分支 b) 横向探头放置超声图像。

RPV 右门静脉,RHA 右肝动脉。

22.jpg
图 22
右门静脉较短,早期分为右前支和右后支。本例中胆道阻塞可使扩张的肝管显现出来。

RPV 右门静脉,RAPV 右前门静脉,RPPV 右后门静脉,RAHD 扩张的右前肝管,RAHA 右前肝动脉,RPHA 右后肝动脉,RPHD 扩张的右后肝管,MHV 中肝静脉,IVC 下腔静脉。

23.jpg
图 23
门静脉三分;右前门静脉和右后门静脉直接从主门静脉发出,位置与左门静脉相同。没有真正的右门静脉。

MPV 主门静脉,LPV 左门静脉,RAPV 右前门静脉,RPPV 右后门静脉,IVC 下腔静脉。

24.jpg
图 24
常规肝动脉解剖。改编自《格雷氏解剖学:临床实践的解剖基础》,第 40 版,Standring S(编辑),2008 年,图 68.9A。

25.jpg
图 25
术中肝动脉血流多普勒超声检查。

26.jpg
图 26
术中肝十二指肠韧带超声检查。探头横向放置的超声图像(a)。将探头纵向置于肝十二指肠韧带的外侧可看到胆管(b),将探头向内侧滑动可看到肝固有动脉。

MPV 主门静脉、PHA 肝固有动脉、CBD 胆总管、LPV 左门静脉、IVC 下腔静脉。

27.jpg
图 27
超声图像显示肝固有动脉分为左肝动脉和右肝动脉。

RPV 右门静脉、LPV 左门静脉、RHA 右肝动脉、RHD 右肝管、LHA 左肝动脉。

28.jpg
图 28
多普勒超声检查显示胆管血流不足,可将胆管与肝动脉和门静脉区分开来。

MPV 主门静脉、CBD 胆总管、PHA 肝固有动脉。

29.jpg
图 29
胆道系统解剖。请注意,胆总管位于门静脉前内侧,当存在常规肝动脉解剖时,右肝动脉位于肝总管后方,并从外侧和后方穿过右肝管。改编自《外科》,38(8),Mahadevan V,胆囊和胆管解剖,图 1。

30.jpg
图 30
在术中超声检查中,可在肝十二指肠韧带的上部看到左肝管和右肝管的分叉。

MPV 主门静脉,RHD 右肝管,LHD 左肝管,RHA 右肝动脉。

31.jpg
图 31
割草机技术是一种确保系统和完整实质扫描的方法。超声探头以小垂直条纹从左向右移动,注视肝脏上方,并在每个肝脏切片内向下移动。

32.jpg
图 32
术中超声检查尾状叶的横向视图。

MPV 主门静脉、IVC 下腔静脉、C 尾状静脉、LV 静脉韧带。

33.jpg
图 33
术中肝实质超声图像。a) 正常肝实质(频率 10 MHz)、b) 肝脂肪变性(频率 10 MHz)、c) 肝硬化(频率 5 MHz)。

34.jpg
图 34
术中超声检查显示圆韧带(圆韧带)在镰状韧带的游离缘呈高回声区。左门静脉终止于此,并向 3 段和 4b 段分支。

LT 圆韧带、LM 左内侧、LL 左侧、LPV 左门静脉。

35.jpg
图 35
静脉韧带是将尾叶与左门静脉基部分隔开的高回声区。

LV 静脉韧带,T 左门静脉横部,U 左门静脉脐部,LM 左内侧肝,LL 左侧肝,C 尾状叶。

36.jpg
图 36
术中超声显示无回声肝囊肿,后部增强。

C 囊肿,PE 后部增强。

37.jpg
图 37
术中超声显示结直肠肝转移,a) 腹腔镜下纤维化的结直肠肝转移,b) 低回声转移,周围有低回声纤维化边缘,c) 高回声转移,d) 等回声转移。

38.jpg
图 38
血管瘤(高回声)的术中超声表现。

39.jpg
图 39
等回声肝细胞癌的术中超声表现,边缘低回声。

40.jpg
图 40
腹腔镜和超声视图下的后肝表面接触扫描。

M 肿块,D 膈肌,PL 后肝,AL 前肝。

41.jpg
图 41
使用微泡造影剂对肿瘤进行术中超声检查,a) 在热消融之前,肿瘤在造影超声上增强,显示有活细胞和血流,b) 在热消融后,肿瘤中的血流不再可见,造影超声上呈暗色。

参考资料:
  1. 1. Yamakawa K., Naito S., Azuma K., al e. Laparoscopic diagnosis of intraabdominal organs: ultrasound diagnosis through laparoscopy. Jpn J Gastroenterol. 1958:55.
  2. 2. Makuuchi M., Torzilli G., Machi J. History of intraoperative ultrasound. Ultrasound Med Biol. 1998 Dec 1;24(9):1229–1242.  
  3. 3. Makuuchi M., Kamiya K., Sugiura M., et al. Proceedings of the 32nd meeting of the Japan Society of Ultrasonics in Medicine, Tokyo, Japan. 1977. Ultrasonic examination by electronic scanning during operation; pp. 129–130.
  4. 4. Hagopian E.J., Machi J., editors. Springer. 2014 May 14:201–218.
  5. 5. Russolillo N., Borello A., Langella S., Casella M., Lo Tesoriere R., Ferrero A. Comparison of laparoscopic ultrasound and liver-specific magnetic resonance imaging for staging colorectal liver metastases. Surg Endosc. 07 2021;35(7):3547–3553. doi: 10.1007/s00464-020-07817-9.   
  6. 6. Langella S., Ardito F., Russolillo N., et al. Intraoperative ultrasound staging for colorectal liver metastases in the era of liver-specific magnetic resonance imaging: is it still worthwhile? J Oncol. 2019;2019 doi: 10.1155/2019/1369274.   
  7. 7. Botea F., Nicolaescu D., Barcu A., et al. Intraoperative ultrasound guided liver resections: a single center experience. Surgery, Gastroenterology and Oncology. 01/01 2018;23:31. doi: 10.21614/go-23-1-31.  
  8. 8. Langella S., Ossola P., Luzzi A.P., Russolillo N., Lo Tesoriere R., Ferrero A. The key role of intraoperative ultrasound staging in patients with intrahepatic cholangiocarcinoma. HPB. 2021;23:S831. doi: 10.1016/j.hpb.2021.08.333.  
  9. 9. Sureka B., Sharma N., Khera P.S., Garg P.K., Yadav T. Hepatic vein variations in 500 patients: surgical and radiological significance. Br J Radiol. 2019 Oct;92(1102)   
  10. 10. Sureka B., Patidar Y., Bansal K., Rajesh S., Agrawal N., Arora A. Portal vein variations in 1000 patients: surgical and radiological importance. Br J Radiol. 2015 Nov;88(1055)   
  11. 11. Choi T.W., Chung J.W., Kim H.C., Lee M., Choi J.W., Jae H.J., et al. Anatomic variations of the hepatic artery in 5625 patients. Radiology: Cardiothoracic Imaging. 2021 Aug 19;3(4)   
  12. Published online 2024 May 10. doi: 10.1016/j.sopen.2024.05.002
复制代码
您需要登录后才可以回帖 登录 | 注册

本版积分规则

丁香叶与你快乐分享

微信公众号

管理员微信

服务时间:8:30-21:30

站长微信/QQ

← 微信/微信群

← QQ

Copyright © 2013-2026 丁香叶 Powered by dxye.com  手机版 
快速回复 返回列表 返回顶部