门户
Portal
论坛
BBS
导读
Guide
订阅
...
快捷导航
|
文章文献
交流大厅
求助反馈
资源下载
VIP专区
名家教授
国外大厅
医学在线
医学影像
医学考试
资源下载
影像辅助
名家教授
医学考试
国外大厅
医学视频
交流大厅
求助反馈
事务规则
账号
自动登录
找回密码
密码
登录
注册
注册
邀请码
新手必读
找回密码
丁香叶
›
门户
›
普外资讯
仿气腹25孔3单端腔镜训练箱
训练用单针/双针带线【出售】-->
外科训练模块总目录
「训练教具器械汇总」
管理员微信/QQ12087382[问题反馈]
订阅
普外资讯
非气腹腹腔镜辅助经膈食管癌切除术疗效有待证实
ʱ: 2014-10-24 13:12
经膈食管切除术并发症较低。为了探讨非气腹腹腔镜辅助下经膈手术治疗新辅助化疗后胸上端或颈段食管癌的疗效,观察该手术是否并发症较低。来自北京同仁医院于磊教授等对此进行了研究,文章最近发表在ASO上。该研究纳 ...
NICE推荐葛兰素史克达拉菲尼用于黑色素瘤
ʱ: 2014-10-24 13:12
英国国家卫生保健优化研究所(NICE)发布最终指南,推荐达拉菲尼(Dabrafenib)纳入NHS用于某些黑色素瘤患者治疗。葛兰素史克上市的这款药物被推荐用于黑色素瘤已扩散或不能完全通过手术移切及黑色素瘤BRAF V600检测呈阳 ...
默沙东抗PD-1药物Keytruda或可用于胃癌
ʱ: 2014-10-24 13:12
默沙东Keytruda是新一波提升人体免疫的药物中首个在美国获批用于治疗黑色素瘤的药物,新的研究中显示,这款药物还有可能用于胃癌。9月27日报道的早期临床试验结果意味着胃癌可能被添加到一个不断增加的肿瘤类型名单 ...
肿瘤患者:最近有点烦
ʱ: 2014-10-24 13:12
近期,德国的研究人员发现,在肿瘤患者当中的精神类疾病的发病率显著高于正常人群,而这项研究发表在2014年10月6日的Journal of Clinical Oncology杂志上。 这项研究是由德国莱比锡城大学肿瘤社会心理学的教授Anja M ...
2014国际胃肠肿瘤高峰论坛暨CGOG年会在北京隆重召开
ʱ: 2014-10-24 13:12
10月18日-19日,由中国胃肠肿瘤临床研究协作组(CGOG)、北京大学肿瘤医院暨北京市肿瘤防治研究所主办的北京国际胃肠肿瘤高峰论坛暨CGOG年会(2014)在北京隆重召开。本次年会的主题是梳理、合作、转化。会议专注消化 ...
胃癌影像学评估
ʱ: 2014-10-24 13:12
上一张 下一张编辑: yangming
深刻理解新版日本胃癌“处理规约”和“治疗指南” 提高 ...
ʱ: 2014-10-24 13:11
日本《胃癌处理规约》(简称《规约》)始创于1962 年。第10 版前版间修订年限均短,后4 版版间时距明显延长,意味着每次修订均积蓄了大量的实践经验与研究成果,标志着胃癌的诊治水平又上了一个新的高度。日本《规约 ...
Ramucirumab单药治疗对既往接受过化疗的晚期胃癌患者有效
ʱ: 2014-10-24 13:11
研究要点: 晚期胃癌患者预后不佳,目前美国FDA、欧洲药物管理局或其他的政府药品管理部门还没有批准针对上述患者的二线治疗方案; 血管内皮生长因子(VEGF)和VEGF受体-2介导的信号传导和血管生成似乎在胃癌的 ...
权明明:肿瘤标志物的分类和应用
ʱ: 2014-10-24 13:11
上一张 下一张编辑: yangming
胃切除治疗与胃癌患者维生素B12缺乏有关
ʱ: 2014-10-24 13:11
胃切除程度与维生素B12缺乏关系 研究要点: 本研究考查了胃切除术后维生素B12缺乏的风险因素及其发展过程; 本研究发现,全胃切除患者不可避免地将会出现维生素B12缺乏;术前维生素B12水平较低的老龄患者在远端 ...
罕见副肿瘤综合征:直肠癌也可累及周围神经
ʱ: 2014-10-24 13:11
病例介绍男性患者,64岁,主因进行性四肢力弱4个月就诊,且伴有神经病理性疼痛,自诉双下肢感觉减退。进行性吞咽困难数周。既往有糖耐量受损病史(采用饮食控制治疗),高血压和卒中史,卒中后恢复良好。体格检查显 ...
肿瘤横行:希佩尔-林道综合征
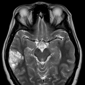
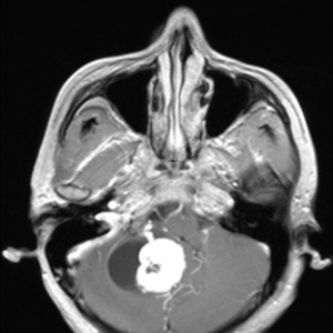
ʱ: 2014-10-24 13:11
2014年10月9日,AJNR杂志刊登了如下一则病例报道。患者男性,47岁,顽固性头痛、头晕、和不平衡感。图1. 增强的水平位头颅MRI T1像显示右侧小脑内一囊肿,囊肿内包含一个紧贴一侧囊壁的高信号结节。图2、3. 增强的失 ...
肠病相关性T细胞淋巴瘤引起空肠多发狭窄一例
ʱ: 2014-10-24 13:11
肠病相关性T细胞淋巴瘤是多发于小肠的一种特殊的原发性非霍奇金淋巴瘤。该类淋巴瘤少见,预后极差,由于其病理变化多样,易造成漏诊和误诊。来自曼彻斯特大学中心医院的Lee教授等在2014年8月的Gut杂志上报道了这样一个 ...
病例学习:神经上皮肿瘤
ʱ: 2014-10-24 13:11
近期,AJNR杂志刊登了如下一则教学病例。上图为一个患颞叶癫痫男孩的头颅MRI,考虑诊断为?A. 神经节神经胶质瘤B. 神经上皮肿瘤C. 皮质发育不良D. 少突神经胶质瘤答案:B. 神经上皮肿瘤神经上皮肿瘤(DNETs)属良性肿 ...
原发性肝癌的诊治
ʱ: 2014-10-24 13:10
上一张 下一张编辑: yangming
1 ...
77
78
79
80
81
82
83
84
85
... 163
/ 163 页
下一页
微创治疗苗勒氏管畸形:临床决策系统
以扩张的胆管为解剖标志引导腹腔镜左
肝表面引导下环绕肝十二指肠韧带在微
腹腔镜治疗十二指肠闭锁:一位外科医
一种可重复测量食管裂孔的方法及其在
༭Ƽ
外科手套口在腹腔镜全胃切除术中的应用
一、技术的背景和原理外科手术手套端口技术主要用于单切口腹腔镜入口在执行阑尾切 ...
分枝杆菌与非缝合腹腔镜胃带的快速侵蚀
本案例描述了快速侵蚀的腹腔镜放置的非缝合胃束带继发于分枝杆菌(Mycobacterium ...
案例:腹腔动脉自发性分离解剖的形态学
形态学发现和治疗的腹腔动脉(SIDCA)自发隔离夹层。在本回顾性研究中纳入2009年1 ...
>
ѡ
微创治疗苗勒氏管畸形:临床决策系统
Dissection de l'uretere extravesical
以扩张的胆管为解剖标志引导腹腔镜左侧肝切
肝表面引导下环绕肝十二指肠韧带在微创重复
腹腔镜治疗十二指肠闭锁:一位外科医生十年
一种可重复测量食管裂孔的方法及其在食管裂
腹腔镜下食管裂孔疝修补术和尼森胃底折叠术
膀胱结石和缺血性肠袢合并腹股沟滑动性膀胱
青少年男性同侧隐睾合并腹股沟皮样囊肿:病
儿童微创Mitrofanoff手术:从低资源到非机
腹腔镜Roux-en-Y胃旁路术后并发症影像学检
切口疝的发生:伤口愈合不良?
强直性脊柱炎导致低位肋弓患者行腹腔镜胆囊
一例伴有全内脏反位的肥胖患者行腹腔镜胆囊
急性空肠憩室炎:病例报告
急性胆囊炎——紧急救治策略
双手操作关节式腹腔镜器械(ArtiSential)
乳腺活检【中文字幕动画演示】
腹部解剖视频
经阴道子宫切除术 手术视频 会员免费下载
《复旦大学法医系尸体解剖视频》
采用腹腔镜经筋膜腹外缝合术修复因 Morgagn
催眠治疗实录_12209773.pdf
腹腔镜阑尾切除术后膀胱损伤的罕见并发症:
腹腔镜全胃切除术治疗胃癌中采用线性吻合器
开腹·关腹及附件手术 基本操作全攻略.pdf
临床麻醉系列丛书 妇产科麻醉分册_PDF电子
孤立性胆囊结核酷似慢性胆囊炎:病例报告
真正的三叶胆囊,一种极其罕见的胆囊畸形
腹腔镜胆囊切除术治疗极度肥胖、极度虚弱患
虚惊一场:胆结石脱落误诊为恶性肿瘤复发—
双胆囊的识别及腹腔镜胆囊切除术治疗:病例
经肛门息肉切除术
一种新型可行的全腹腔镜全胃切除术体内食管
腹腔镜阑尾切除术中阑尾系膜位置的变化;指
儿童腹腔镜下腹股沟疝修补术中罕见腹股沟斜
医学网
腹腔镜
医学视频
手术视频
医学电子书
文章文献
解剖
普外腔镜
骨外手外
医美整形
下载在线
资源下载
医学影像
妇科产科
泌尿外科
丁香叶与你快乐分享
微信公众号
管理员微信
服务时间:
8:30-21:30
站长微信/QQ
← 微信/微信群
← QQ
Copyright © 2013-2026
丁香叶
Powered by
dxye.com
手机版
返回顶部