仿气腹25孔3单端腔镜训练箱训练用单针/双针带线【出售】-->外科训练模块总目录
「训练教具器械汇总」管理员微信/QQ12087382[问题反馈]
开启左侧

腹腔镜阑尾切除术后膀胱损伤的罕见并发症:病例报告及文献综述

[复制链接]
发表于 1 小时前 | 显示全部楼层 |阅读模式

马上注册,结交更多好友,享用更多功能,让你轻松玩转社区。

您需要 登录 才可以下载或查看,没有账号?注册

×
术后,患者恢复良好,仅下腹部不适。术后第1天(POD 1),血液检查结果显示白细胞计数(WCC)为13.11 x 10³/μL(参考值2.2-10),C反应蛋白(CRP)为69.23 mg/L(参考值0-5)。引流液仅为15 ml,呈浆液血性。然而,术后第2天(POD 2),引流量增至55 ml,术后第3天(POD 3)增至220 ml。此时,怀疑存在漏诊的膀胱损伤,引流液分析证实了这一诊断,引流液肌酐水平为11354 μmol/L(参考值3450-22900),而患者血清肌酐水平为69 μmol/L(参考值45-100)。插入Foley™导尿管(Microtech,德国门兴格拉德巴赫),并安排进行腹盆部CT扫描。CT延迟期显示输尿管或膀胱无明显造影剂渗漏,盆腔内仅有少量游离液体(如图1-2所示)。CT结果支持轻微膀胱损伤已自行愈合的诊断,因为插入Foley导尿管后未见渗漏,这支持了作者对该患者采取保守治疗方案。

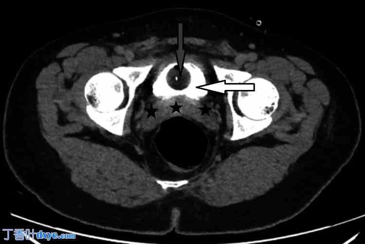
图1. 术后第3天腹部CT轴位图像(10分钟延迟期),显示膀胱内有造影剂(白色箭头),膀胱周围区域无造影剂渗漏(黑色星号),Foley导尿管(灰色箭头)位置良好。
1.jpg

白色箭头:膀胱内有造影剂,灰色箭头:导尿管,黑色星号:膀胱周围区域无造影剂渗漏

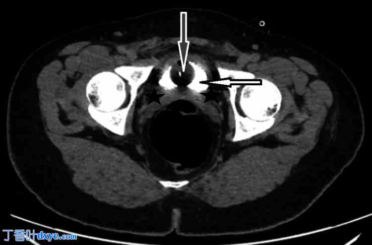
图 2. 术后第 3 天腹部 CT 轴位图像(延迟 20 分钟序列),显示膀胱内有造影剂(白色箭头)和导尿管(灰色箭头),膀胱周围区域无造影剂渗漏(黑色星号)。
2.jpg

白色箭头:膀胱内有造影剂,灰色箭头:导尿管,黑色星号:膀胱周围区域无造影剂渗漏

泌尿外科团队参与会诊,并同意采取保守治疗方案,留置导尿管 10 天。作者向患者解释了这一不幸的并发症,并根据 CT 检查结果,向他保证保守治疗即可。术后第5天(POD 5),引流管停止引流后,手术团队拔除了引流管,患者出院回家进行门诊随访,并计划于术后第10天(POD 10)拔除导尿管前进行复查CT膀胱造影。术后第10天,患者在门诊复查,并进行了CT膀胱造影。结果显示,膀胱充盈良好,导尿管球部位置正常,仰卧位和俯卧位均未见造影剂渗漏(如图3-4所示)。基于此,拔除了导尿管,一周后(POD 17)复查。患者恢复良好,伤口愈合良好,无泌尿系统问题,因此出院。

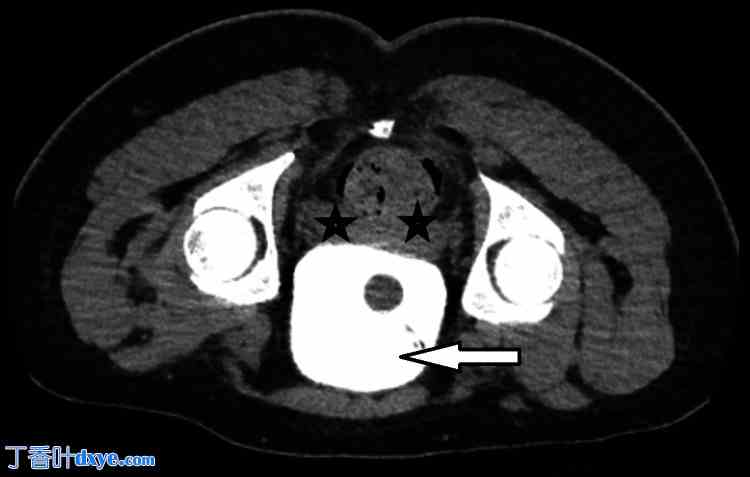
图3. 术后第10天CT膀胱造影轴位图像(仰卧位),显示膀胱内有造影剂(白色箭头),膀胱周围区域无造影剂渗漏(黑色星号)。

图 3
3.jpg

白色箭头:膀胱内充满造影剂,黑色星号:膀胱周围区域无造影剂渗漏

图 4. 术后 10 天的 CT 膀胱造影轴位图像(俯卧位),显示膀胱内充满造影剂(白色箭头),膀胱周围区域无造影剂渗漏(黑色星号)。
4.jpg

白色箭头:膀胱内充满造影剂,黑色星号:膀胱周围区域无造影剂渗漏
您需要登录后才可以回帖 登录 | 注册

本版积分规则

丁香叶与你快乐分享

微信公众号

管理员微信

服务时间:8:30-21:30

站长微信/QQ

← 微信/微信群

← QQ

Copyright © 2013-2026 丁香叶 Powered by dxye.com  手机版 
快速回复 返回列表 返回顶部