门户
Portal
论坛
BBS
导读
Guide
订阅
...
快捷导航
|
文章文献
交流大厅
求助反馈
资源下载
VIP专区
名家教授
国外大厅
医学在线
医学影像
医学考试
资源下载
影像辅助
名家教授
医学考试
国外大厅
医学视频
交流大厅
求助反馈
事务规则
账号
自动登录
找回密码
密码
登录
注册
注册
邀请码
新手必读
找回密码
丁香叶
›
门户
›
普外资讯
仿气腹25孔3单端腔镜训练箱
训练用单针/双针带线【出售】-->
外科训练模块总目录
「训练教具器械汇总」
管理员微信/QQ12087382[问题反馈]
订阅
普外资讯
中国慢性胆囊炎、胆囊结石内科诊疗共识意见(2014年)
ʱ: 2015-1-18 12:13
一、前言(一)本共识意见的产生背景和程序临床症状、体征和实验室检查对诊断慢性胆囊炎、胆囊结石有重要作用,但缺乏特异性。超声检查通常是影像学检查的第一步。目前,国内消化内科尚未制订有循证医学证据支持的慢 ...
医疗相关感染的预防策略:最新指南
ʱ: 2015-1-18 12:13
2008年,美国医疗保健流行病学协会、美国感染疾病协会、美国医院协会、感染控制与流行病学专业协会及联合委员会发布了基于证据学的预防医疗相关感染(HAIs)策略的综合概要。2014年更新了这一概要,强调了在HAI预防 ...
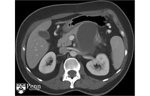
胰腺罕见病变:粘液性囊性肿瘤一例
ʱ: 2015-1-18 12:13
基本病史:55岁女性,左腰痛。腹部增强CT如下图所示。影像学特征:来源于胰体/尾部的巨大的分叶状的囊性肿块,包绕脾动脉。其内可见一致密物在病变的内部下方与其分层。脾静脉内形成血栓,导致明显的胃肝和胃脾静脉 ...
01.13 今日学霸必读
ʱ: 2015-1-18 12:13
1、输血增加冠脉搭桥术后移植血管闭塞风险接受输血的患者在冠脉造影上更容易表现出移植血管狭窄;围手术期输血能增加 冠状动脉搭桥术后患者出现血管阻塞的风险 (移植血管和其它部位血管都有可能)。该研究为输入红细 ...
NICE拒绝Millennium旗下克罗恩病药物Entyvio
ʱ: 2015-1-18 12:13
英国国家卫生保健优化研究所(NICE)发布草案指南,不推荐Millennium制药Entyvio纳入NHS用于克罗恩病患者。该医疗团体称这款药物的证据不能证明其有好的价值,他们不能做出将其纳入NHS的决定,虽然Millennium同意通过 ...
心肝俱损:肝脓肿导致化脓性心包炎和心包填塞1例
ʱ: 2015-1-18 12:13
【编者按】近日,美国阿拉巴马大学伯明翰分校的Gautam Reddy等在《Circulation》杂志上发表了1例肝脓肿穿透横膈肌导致化脓性心包炎和心包填塞的病例。患者,男,44岁,流浪者,因胸膜炎性疼痛伴气促和乏力6小时就诊 ...
Shire以52亿美元收购NPS制药
ʱ: 2015-1-18 12:13
英国制药公司Shire签订了以52亿美元收购美国竞争对手NPS的交易,从而巩固了其在罕见病领域的地位。Shire正以每股46美元现金向NPS支付,这一价格高出后者1月9日收盘价3美元,但是其12月中旬股价51%的溢价,当时就有传 ...
胰周脂肪坏死:重度急性胰腺炎的真凶
ʱ: 2015-1-18 12:13
引起急性胰腺炎(AP)的病因常常无法解释临床上重度急性胰腺炎(SAP)的严重程度。流行病学研究显示,SAP与肥胖和腹腔脂肪含量相关,坏死性胰腺炎往往伴随着胰周脂肪坏死,但胰周脂肪坏死在SAP中的作用尚不明确。已 ...
克罗恩病患者能否耐受手术?MRI告诉你
ʱ: 2015-1-18 12:12
众所周知,结肠克罗恩病(CD)患者并发严重的内镜下病变(SEL)时,实行结肠切除术的风险较高。然而,这一结果并未在CD患者的独立队列研究中得到验证。为了重新评估结肠镜检查与MRI对于有结肠切除手术指征的CD患者预 ...
2013年中华医学会中国消化内镜诊疗相关肠道准备指南(草案)解读
ʱ: 2015-1-18 12:12
中华医学会消化内镜学分会于2013年7月组织国内相关领域专家制订了我国首部《中国消化内镜诊疗相关肠道准备指南(草案)》,希望为消化道疾病患者消化内镜诊疗相关的肠道准备提供临床指导,也为临床医生选择恰当的肠道 ...
应谨慎评估电动子宫分碎术风险
ʱ: 2015-1-18 12:12
相较于开放术式,腹腔镜手术可缩短恢复时间,减轻术后疼痛,减少并发症。正如许多其他外科医生一样,妇科医生已经接受了腹腔镜外科技术。 虽然通过腹腔镜手术的微小切口切除较大的组织非常困难。但是这个问题可通过 ...
显微镜下结肠炎患者并发结直肠新生物的风险较低
ʱ: 2015-1-18 12:12
结肠镜检发现,在慢性非血性腹泻患者中,淋巴细胞性结肠炎和胶原性结肠炎所占比例越来越大,而关于显微镜下结肠炎的研究仍受流行病学因素影响。另一方面,最近有研究表明,显微镜下结肠炎患者并发结直肠新生物的风险 ...
间隔结直肠癌与结肠镜监测欠佳有关
ʱ: 2015-1-18 12:12
在结肠镜检查间隔期发生的结直肠癌叫间隔结直肠癌,即在结肠镜检查后的5年内发生的结直肠癌,其发生原因可分为镜检漏诊(如扁平肿瘤或1 cm肿瘤)、息肉切除术不完全病变或原因不明病变。 因此,来自美国犹他大学癌症研 ...
你用的内窥镜是否干净?
ʱ: 2015-1-18 12:12
美国每年会行超过5000万次的内镜检查,由于现在对使用过的内镜进行清洁的步骤得当,所以该过程中发生获得性感染的风险是极低的。但仍有数千起内镜上残留血源性病原体引起的感染事件发生,最近还有报道关注经内镜检查 ...
曹钰:急腹症的鉴别诊断与处理
ʱ: 2015-1-18 12:11
上一张 下一张编辑: yangming
1 ...
68
69
70
71
72
73
74
75
76
... 163
/ 163 页
下一页
微创治疗苗勒氏管畸形:临床决策系统
以扩张的胆管为解剖标志引导腹腔镜左
肝表面引导下环绕肝十二指肠韧带在微
腹腔镜治疗十二指肠闭锁:一位外科医
一种可重复测量食管裂孔的方法及其在
༭Ƽ
外科手套口在腹腔镜全胃切除术中的应用
一、技术的背景和原理外科手术手套端口技术主要用于单切口腹腔镜入口在执行阑尾切 ...
分枝杆菌与非缝合腹腔镜胃带的快速侵蚀
本案例描述了快速侵蚀的腹腔镜放置的非缝合胃束带继发于分枝杆菌(Mycobacterium ...
案例:腹腔动脉自发性分离解剖的形态学
形态学发现和治疗的腹腔动脉(SIDCA)自发隔离夹层。在本回顾性研究中纳入2009年1 ...
>
ѡ
微创治疗苗勒氏管畸形:临床决策系统
Dissection de l'uretere extravesical
以扩张的胆管为解剖标志引导腹腔镜左侧肝切
肝表面引导下环绕肝十二指肠韧带在微创重复
腹腔镜治疗十二指肠闭锁:一位外科医生十年
一种可重复测量食管裂孔的方法及其在食管裂
腹腔镜下食管裂孔疝修补术和尼森胃底折叠术
膀胱结石和缺血性肠袢合并腹股沟滑动性膀胱
青少年男性同侧隐睾合并腹股沟皮样囊肿:病
儿童微创Mitrofanoff手术:从低资源到非机
腹腔镜Roux-en-Y胃旁路术后并发症影像学检
切口疝的发生:伤口愈合不良?
强直性脊柱炎导致低位肋弓患者行腹腔镜胆囊
一例伴有全内脏反位的肥胖患者行腹腔镜胆囊
急性空肠憩室炎:病例报告
急性胆囊炎——紧急救治策略
双手操作关节式腹腔镜器械(ArtiSential)
乳腺活检【中文字幕动画演示】
腹部解剖视频
经阴道子宫切除术 手术视频 会员免费下载
《复旦大学法医系尸体解剖视频》
采用腹腔镜经筋膜腹外缝合术修复因 Morgagn
催眠治疗实录_12209773.pdf
腹腔镜阑尾切除术后膀胱损伤的罕见并发症:
腹腔镜全胃切除术治疗胃癌中采用线性吻合器
开腹·关腹及附件手术 基本操作全攻略.pdf
临床麻醉系列丛书 妇产科麻醉分册_PDF电子
孤立性胆囊结核酷似慢性胆囊炎:病例报告
真正的三叶胆囊,一种极其罕见的胆囊畸形
腹腔镜胆囊切除术治疗极度肥胖、极度虚弱患
虚惊一场:胆结石脱落误诊为恶性肿瘤复发—
双胆囊的识别及腹腔镜胆囊切除术治疗:病例
经肛门息肉切除术
一种新型可行的全腹腔镜全胃切除术体内食管
腹腔镜阑尾切除术中阑尾系膜位置的变化;指
儿童腹腔镜下腹股沟疝修补术中罕见腹股沟斜
医学网
腹腔镜
医学视频
手术视频
医学电子书
文章文献
解剖
普外腔镜
骨外手外
医美整形
下载在线
资源下载
医学影像
妇科产科
泌尿外科
丁香叶与你快乐分享
微信公众号
管理员微信
服务时间:
8:30-21:30
站长微信/QQ
← 微信/微信群
← QQ
Copyright © 2013-2026
丁香叶
Powered by
dxye.com
手机版
返回顶部