门户
Portal
论坛
BBS
导读
Guide
订阅
...
快捷导航
|
文章文献
交流大厅
求助反馈
资源下载
VIP专区
名家教授
国外大厅
医学在线
医学影像
医学考试
资源下载
影像辅助
名家教授
医学考试
国外大厅
医学视频
交流大厅
求助反馈
事务规则
账号
自动登录
找回密码
密码
登录
注册
注册
邀请码
新手必读
找回密码
丁香叶
›
门户
›
普外资讯
仿气腹25孔3单端腔镜训练箱
训练用单针/双针带线【出售】-->
外科训练模块总目录
「训练教具器械汇总」
管理员微信/QQ12087382[问题反馈]
订阅
普外资讯
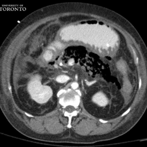
病例学习:小肠类癌一例
ʱ: 2015-2-7 14:25
基本病史:男性,63岁,伴有潮红和腹泻症状。行CT及PET/CT检查,结果如下:影像特点 CT检查结果显示在右侧肠系膜见一个边界不清的,其内不均质,边缘有毛刺的肿块,内可见点状钙化。邻近小肠的结缔组织增生反应,与病 ...
病例学习:蝶窦粘液囊肿一例
ʱ: 2015-2-7 14:25
基本病史:女性,20岁,在18个月大时诊断为自闭症和智力迟钝,目前发生多次抽搐现象,可能为癫痫发作。行磁共振检查结果如下:诊断:蝶窦粘液囊肿病例要点发生在蝶窦的粘液囊肿与其他鼻窦相比较少,成人比儿童常见; ...
致命的胃肠胰神经内分泌瘤一例
ʱ: 2015-2-7 14:25
胃肠胰神经内分泌瘤(GETs)是一种少见的疾病,尤其是与结直肠腺癌伴发更为罕见。此外,小肠多发GETs仅见2例报道。最近,来自英国米尔顿凯恩斯总医院外科的Hotchena教授等报道了一例多发、顽固胃肠胰神经内分泌瘤伴 ...
靶向治疗后:腺癌变鳞癌?
ʱ: 2015-2-7 14:25
吉非替尼和厄洛替尼,是表皮生长因子受体(EGFR)的选择性酪氨酸激酶抑制剂(TKI),对于有EGFR突变的腺癌非常有效,但近期,来自台湾大学医院病理科的Chou教授等在Annals of Thoracic Surgery上报道了一例病理证实 ...
李代桃僵:误诊为甲状腺肿大的气道肿瘤
ʱ: 2015-2-7 14:24
新加坡国立大学医院呼吸和危重病科的Andrew Li报道了一例少见原因引起的上气道阻塞病例,发表于2015年1月的AJRCCM杂志上。患者为一名中年华裔妇女,因喘鸣和急性2型呼吸衰竭到急诊室就诊。之前B超发现甲状腺多发结节 ...
鞍区及鞍旁病变的CT、MRI诊断与鉴别诊断
ʱ: 2015-2-7 14:24
上一张 下一张编辑: yangming
王树森:乳腺癌的内分泌治疗
ʱ: 2015-2-7 14:24
上一张 下一张编辑: yangming
肺结节:回顾与更新
ʱ: 2015-2-7 14:23
临床因各种原因做胸部影像学检查非常普遍。近年随着CT进展以及广泛应用,偶然发现肺结节很常见,甚至以前根本不能发现的结节现在也经常可见。在各种大型肺癌检查试验中,结节的发生率已经从8%升至51%。Aronow博士在H ...
重磅:2015ASCO临床肿瘤学进展年度报告之概述篇
ʱ: 2015-2-7 14:23
十年前,美国临床肿瘤学会(American Society of Clinical Oncology,ASCO)首次发布了年度最大的癌症研究进展。跨入第二个十年之际,ASCO在Journal of Clinical Oncology发表了《2015年临床肿瘤学进展:ASCO抗癌进 ...
2014ASCO非小细胞肺癌研究进展(一)
ʱ: 2015-2-6 09:09
上一张 下一张编辑: yangming
动脉瘤的诊治
ʱ: 2015-2-6 09:09
上一张 下一张编辑: yangming
2014 ASCO小细胞肺癌研究进展
ʱ: 2015-2-6 09:08
上一张 下一张编辑: yangming
甲状腺癌最新诊疗进展:影像诊断及治疗探讨
ʱ: 2015-2-6 09:04
近期Thyroid杂志发表了一份美国甲状腺协会(ATA)的研究,其研究结果表示已经解决了甲状腺癌手术的术前影像以及分化型甲状腺癌患者的复发性/持久性淋巴结病的治疗问题, Medscape 针对该报道采访了Yeh教授和Tufano教授 ...
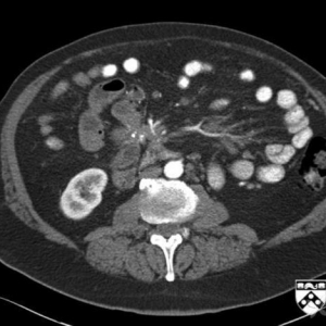
病例学习:胰腺炎影像诊断技巧
ʱ: 2015-2-6 09:03
病史:女性,73岁,既往有原发性高血压和Ⅱ型糖尿病,因发热和腹部剧痛来急诊室就诊。该患者在急诊室观察时休克昏厥。该患者被送入重症监护室,并给予高剂量抗生素静脉滴注。之后患者病情稳定,未进行手术治疗。两个 ...
三氯生涂层手术缝线不能降低伤口感染发生率
ʱ: 2015-2-6 08:56
手术部位的术后感染是开腹手术后最常见的并发症之一,占所有院内感染的14%和所有术后并发症的5%。该并发症明显增加患者术后的痛苦,并造成巨大的医疗负担,增加术后死亡率(17%的术后死亡都是由术后感染所导致)。而 ...
1 ...
51
52
53
54
55
56
57
58
59
... 163
/ 163 页
下一页
微创治疗苗勒氏管畸形:临床决策系统
以扩张的胆管为解剖标志引导腹腔镜左
肝表面引导下环绕肝十二指肠韧带在微
腹腔镜治疗十二指肠闭锁:一位外科医
一种可重复测量食管裂孔的方法及其在
༭Ƽ
外科手套口在腹腔镜全胃切除术中的应用
一、技术的背景和原理外科手术手套端口技术主要用于单切口腹腔镜入口在执行阑尾切 ...
分枝杆菌与非缝合腹腔镜胃带的快速侵蚀
本案例描述了快速侵蚀的腹腔镜放置的非缝合胃束带继发于分枝杆菌(Mycobacterium ...
案例:腹腔动脉自发性分离解剖的形态学
形态学发现和治疗的腹腔动脉(SIDCA)自发隔离夹层。在本回顾性研究中纳入2009年1 ...
>
ѡ
微创治疗苗勒氏管畸形:临床决策系统
Dissection de l'uretere extravesical
以扩张的胆管为解剖标志引导腹腔镜左侧肝切
肝表面引导下环绕肝十二指肠韧带在微创重复
腹腔镜治疗十二指肠闭锁:一位外科医生十年
一种可重复测量食管裂孔的方法及其在食管裂
腹腔镜下食管裂孔疝修补术和尼森胃底折叠术
膀胱结石和缺血性肠袢合并腹股沟滑动性膀胱
青少年男性同侧隐睾合并腹股沟皮样囊肿:病
儿童微创Mitrofanoff手术:从低资源到非机
腹腔镜Roux-en-Y胃旁路术后并发症影像学检
切口疝的发生:伤口愈合不良?
强直性脊柱炎导致低位肋弓患者行腹腔镜胆囊
一例伴有全内脏反位的肥胖患者行腹腔镜胆囊
急性空肠憩室炎:病例报告
急性胆囊炎——紧急救治策略
双手操作关节式腹腔镜器械(ArtiSential)
乳腺活检【中文字幕动画演示】
腹部解剖视频
经阴道子宫切除术 手术视频 会员免费下载
《复旦大学法医系尸体解剖视频》
采用腹腔镜经筋膜腹外缝合术修复因 Morgagn
催眠治疗实录_12209773.pdf
腹腔镜阑尾切除术后膀胱损伤的罕见并发症:
腹腔镜全胃切除术治疗胃癌中采用线性吻合器
开腹·关腹及附件手术 基本操作全攻略.pdf
临床麻醉系列丛书 妇产科麻醉分册_PDF电子
孤立性胆囊结核酷似慢性胆囊炎:病例报告
真正的三叶胆囊,一种极其罕见的胆囊畸形
腹腔镜胆囊切除术治疗极度肥胖、极度虚弱患
虚惊一场:胆结石脱落误诊为恶性肿瘤复发—
双胆囊的识别及腹腔镜胆囊切除术治疗:病例
经肛门息肉切除术
一种新型可行的全腹腔镜全胃切除术体内食管
腹腔镜阑尾切除术中阑尾系膜位置的变化;指
儿童腹腔镜下腹股沟疝修补术中罕见腹股沟斜
医学网
腹腔镜
医学视频
手术视频
医学电子书
文章文献
解剖
普外腔镜
骨外手外
医美整形
下载在线
资源下载
医学影像
妇科产科
泌尿外科
丁香叶与你快乐分享
微信公众号
管理员微信
服务时间:
8:30-21:30
站长微信/QQ
← 微信/微信群
← QQ
Copyright © 2013-2026
丁香叶
Powered by
dxye.com
手机版
返回顶部