门户
Portal
论坛
BBS
导读
Guide
订阅
...
快捷导航
|
文章文献
交流大厅
求助反馈
资源下载
VIP专区
名家教授
国外大厅
医学在线
医学影像
医学考试
资源下载
影像辅助
名家教授
医学考试
国外大厅
医学视频
交流大厅
求助反馈
事务规则
账号
自动登录
找回密码
密码
登录
注册
注册
邀请码
新手必读
找回密码
丁香叶
›
门户
›
普外资讯
仿气腹25孔3单端腔镜训练箱
训练用单针/双针带线【出售】-->
外科训练模块总目录
「训练教具器械汇总」
管理员微信/QQ12087382[问题反馈]
订阅
普外资讯
NCCN结肠癌指南(2015.2最新版)
ʱ: 2015-3-24 09:40
一.重要的更新内容:1. 检测RAS基因状态,包括KRAS外显子2和非外显子2以及NRAS,还需检测BRAF基因状态,不论是否有RAS突变。2. FOLFOX+Cetuximab作为治疗选择时需注意如下注释:对潜在可切除肝转移疾病的治疗数据仍 ...
最新全球癌症生存数据报告
ʱ: 2015-3-24 09:40
有关癌症生存率的全球数据并不多见。在CONCORD-2研究中,加拿大多伦多Partnership抗癌中心的AllemaniC1博士等通过对以人口为基础的登记数据进行中心分析得出全球癌症生存率监测数据,并以此作为衡量卫生体系有效性的 ...
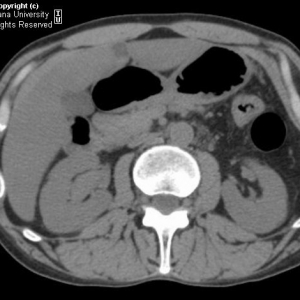
到底是什么?脾囊肿一例
ʱ: 2015-3-24 09:38
最近,来自爱荷华州卡佛医学院外科的Pelaez医生博士在JAMA Surgery杂志上发表了一篇脾囊肿的案例。案例描述一名30岁的女性因评估CT显示的大型脾囊肿来就诊。患者曾在北京居住。在2011年因腹胀和轻度左上腹部疼痛就诊 ...
2015NCCN乳腺癌诊疗指南:IV期转移性/复发性乳腺癌
ʱ: 2015-3-24 09:38
分期和检查分期评估包括病史和查体、CBC和肝功检查、胸部CT、骨扫描、腹部CT或MRI,如果可能还应包括首次复发的活检。除非分期不明确,一般不建议氟化钠PET或PET/CT扫描。使用PET/CT扫描的证据有限(多数为回顾性研 ...
良性肝肿瘤适用肝移植 年龄为唯一影响因素
ʱ: 2015-3-24 09:38
目前,原位肝移植治疗良性实体肝脏肿瘤(BSLT)的研究还较少,其治疗效果还未知。就此,Alagusundaramoorthy教授等在JAMA Surg杂志上发表了一篇关于此的研究。近年来,先进的检查技术的发展以及应用,局灶性肝脏病变 ...
内疝一例实战加教学(多图)
ʱ: 2015-3-24 09:38
近期,Mathew教授等在Journal of Clinical and Diagnostic Research杂志上发表了一篇罕见内疝的病例报道。跨网膜疝是一种罕见的内疝,占有1%-4%的比例,同时也是肠梗阻的罕见致病诱因。本例报道的为一女性肠梗阻患者 ...
病例学习:纵隔无处不生长的脂肪瘤
ʱ: 2015-3-24 08:52
基本病史,男性患者,CT显示沿右侧上纵隔边界见脂肪物质影,大小约为22mm。位于上腔静脉内,考虑腔内脂肪瘤累及上腔静脉。脂肪病灶与上腔静脉呈锐角。无锁骨下静脉或者颈内静脉或侧支循环的管腔扩张。诊断:上腔静脉 ...
治疗去势抵抗性前列腺癌:地塞米松优于泼尼松龙
ʱ: 2015-3-24 08:52
泼尼松龙作为内分泌治疗去势抵抗性前列腺癌(CRPC)的二线药物,在临床工作中应用相当广泛。其他类固醇激素如氢化可的松和地塞米松,对CRPC同样有效。但这些药物之间的疗效是否相同,目前仍无定论。近日,英国萨福克 ...
免除放疗-改变乳腺癌治疗规范的转折点
ʱ: 2015-3-24 08:52
Medscape医学新闻2月4日刊登了Hackethal撰写的通讯,介绍了名为PRIME II的III期随机对照临床试验结果,从中获得的启示是部分患早期乳腺癌的老年女性接受保乳手术后也许可省略放疗步骤。这项研究表明,与未放疗的患者 ...
病例学习 肾盂移行细胞癌一例
ʱ: 2015-3-20 10:22
基本病史:男性,50岁,腰痛。行CT检查结果如下:影像学特征:在腹部CT平扫中可见右肾下极集合系统扩张,其内可见不均质稍高密度影,无尿路钙化高密度征象。注入对比剂后,上述病变静脉期表现如平扫相似,在延长期可 ...
简单四步确定低风险乳腺原位导管癌术后是否需辅助放疗
ʱ: 2015-3-20 10:22
两组的随机对照试验通常会有一组是赢家,一组为输家。但是,有时结果是双赢的。有一个事例可以体现双赢,它就是第一项旨在比较低风险原位导管癌(DCIS)女性患者行辅助放疗(RT)或观察间差异的随机试验。由纪念斯隆 ...
哪些T3N0直肠癌患者术前不需要新辅助放化疗?
ʱ: 2015-3-20 10:22
局部进展期直肠癌的标准治疗是新辅助放化疗(CRT)后行全直肠系膜切除术(TME)。然而几个研究报道T3N0直肠癌的局部复发可以单纯通过手术很好的控制在较低水平(4%-8%),这意味着新辅助CRT对这类病人可能不是必需的 ...
Lenvatinib:放射碘拮抗的甲状腺癌患者福音
ʱ: 2015-3-20 10:22
对碘131拮抗的分化甲状腺癌自诊断转移后的10年生存率约10%,治疗转移的方法很有限,目前研究热点是血管内皮生长因子(VEGF)和其受体(VEGFR),因为该信号网络与甲状腺癌的侵袭性和转移有关。除了VEGF促进血管生成 ...
消化道肿瘤患者化疗后需警惕乙肝病毒再激活与肝炎
ʱ: 2015-3-20 10:22
乙型肝炎是全球健康问题,某些类型癌症HBV携带者治疗时会出现乙肝病毒(HBV)再激活。表现为血清HBV DNA升高,无症状转氨酶升高乃至致死性肝功能衰竭。HBV再激活主要集中在淋巴瘤病人,发生率高达21%-73 %,乳腺癌病 ...
反复腹痛入院 病因潜伏5年终得救(小综述)
ʱ: 2015-3-20 08:19
编者按:最近,英国泰姆塞德医院的普外科遇到了一个令医生难堪的病例。怜爱与绝望交加的母亲与外婆带着极度瘦小的小女孩来就诊。不幸的是,小女孩患上的是医生所不熟悉的罕见病,导致5年内反复就诊多次。现终于查明 ...
1 ...
11
12
13
14
15
16
17
18
19
... 163
/ 163 页
下一页
以扩张的胆管为解剖标志引导腹腔镜左
肝表面引导下环绕肝十二指肠韧带在微
腹腔镜治疗十二指肠闭锁:一位外科医
一种可重复测量食管裂孔的方法及其在
腹腔镜下食管裂孔疝修补术和尼森胃底
༭Ƽ
外科手套口在腹腔镜全胃切除术中的应用
一、技术的背景和原理外科手术手套端口技术主要用于单切口腹腔镜入口在执行阑尾切 ...
分枝杆菌与非缝合腹腔镜胃带的快速侵蚀
本案例描述了快速侵蚀的腹腔镜放置的非缝合胃束带继发于分枝杆菌(Mycobacterium ...
案例:腹腔动脉自发性分离解剖的形态学
形态学发现和治疗的腹腔动脉(SIDCA)自发隔离夹层。在本回顾性研究中纳入2009年1 ...
>
ѡ
Dissection de l'uretere extravesical
以扩张的胆管为解剖标志引导腹腔镜左侧肝切
肝表面引导下环绕肝十二指肠韧带在微创重复
腹腔镜治疗十二指肠闭锁:一位外科医生十年
一种可重复测量食管裂孔的方法及其在食管裂
腹腔镜下食管裂孔疝修补术和尼森胃底折叠术
膀胱结石和缺血性肠袢合并腹股沟滑动性膀胱
青少年男性同侧隐睾合并腹股沟皮样囊肿:病
儿童微创Mitrofanoff手术:从低资源到非机
腹腔镜Roux-en-Y胃旁路术后并发症影像学检
切口疝的发生:伤口愈合不良?
强直性脊柱炎导致低位肋弓患者行腹腔镜胆囊
一例伴有全内脏反位的肥胖患者行腹腔镜胆囊
急性空肠憩室炎:病例报告
急性胆囊炎——紧急救治策略
双手操作关节式腹腔镜器械(ArtiSential)
乳腺活检【中文字幕动画演示】
腹部解剖视频
经阴道子宫切除术 手术视频 会员免费下载
《复旦大学法医系尸体解剖视频》
采用腹腔镜经筋膜腹外缝合术修复因 Morgagn
催眠治疗实录_12209773.pdf
腹腔镜阑尾切除术后膀胱损伤的罕见并发症:
腹腔镜全胃切除术治疗胃癌中采用线性吻合器
开腹·关腹及附件手术 基本操作全攻略.pdf
临床麻醉系列丛书 妇产科麻醉分册_PDF电子
孤立性胆囊结核酷似慢性胆囊炎:病例报告
真正的三叶胆囊,一种极其罕见的胆囊畸形
腹腔镜胆囊切除术治疗极度肥胖、极度虚弱患
虚惊一场:胆结石脱落误诊为恶性肿瘤复发—
双胆囊的识别及腹腔镜胆囊切除术治疗:病例
经肛门息肉切除术
一种新型可行的全腹腔镜全胃切除术体内食管
腹腔镜阑尾切除术中阑尾系膜位置的变化;指
儿童腹腔镜下腹股沟疝修补术中罕见腹股沟斜
由一位初次尝试腹腔镜手术的外科医生采用双
医学网
腹腔镜
医学视频
手术视频
医学电子书
文章文献
解剖
普外腔镜
骨外手外
医美整形
下载在线
资源下载
医学影像
妇科产科
泌尿外科
丁香叶与你快乐分享
微信公众号
管理员微信
服务时间:
8:30-21:30
站长微信/QQ
← 微信/微信群
← QQ
Copyright © 2013-2026
丁香叶
Powered by
dxye.com
手机版
返回顶部