门户
Portal
论坛
BBS
导读
Guide
订阅
...
快捷导航
|
文章文献
交流大厅
求助反馈
资源下载
VIP专区
名家教授
国外大厅
医学在线
医学影像
医学考试
资源下载
影像辅助
名家教授
医学考试
国外大厅
医学视频
交流大厅
求助反馈
事务规则
账号
自动登录
找回密码
密码
登录
注册
注册
邀请码
新手必读
找回密码
丁香叶
›
门户
›
普外资讯
仿气腹25孔3单端腔镜训练箱
训练用单针/双针带线【出售】-->
外科训练模块总目录
「训练教具器械汇总」
管理员微信/QQ12087382[问题反馈]
订阅
普外资讯
从心理学角度去分析早期结肠癌筛查的利与弊
ʱ: 2014-9-29 09:29
结肠癌(CRC)是一种常见的消化道肿瘤。结肠癌是男性肿瘤患者的第三大死因,是女性肿瘤患者的第二大死因。我们知道,结肠癌早期诊出可以显著降低肿瘤患者的治疗负担和死亡率。因此,结肠癌诊断领域已经引入了多种新 ...
国际老年肿瘤学会(SIGO):老年结直肠癌治疗最新共识
ʱ: 2014-9-29 09:29
结直肠癌(CRC)是世界范围内最常见的癌症之一。大约60%的患者年龄大于70岁,超过40%的患者大于75岁,并且这些比例在未来还可能升高。这些患者常常伴随其他疾病,并且体质较弱。由于缺乏相关循证医学证据,对于这一 ...
结肠癌的筛状形态与肿瘤患者的术后低存活率密切相关
ʱ: 2014-9-29 09:29
尽管肿瘤预防性筛查工作已经广泛普及,但是结直肠癌仍然是发达国家最为常见的恶性肿瘤之一。而且,结直肠癌分别是女性和男性肿瘤患者的第二大和第三大死因。 结肠癌的主要特征是具有多种形态学亚型,这形态模式多样 ...
当前中国结直肠癌诊治所面临的问题和挑战
ʱ: 2014-9-29 09:29
过去20年中,中国结直肠癌领域展现出前所未有的繁荣局面,成为国内学术交流的热点。在外科领域:腹腔镜结直肠癌手术的根治性及微创带来的优越性已经得到普遍认可,并在国内迅速推广;单孔腹腔镜手术、自然腔道内镜手 ...
老年癌症患者不愿接受辅助或新辅助治疗
ʱ: 2014-9-29 09:29
加拿大对抗癌症合作计划协作组于2014年8月4日在《CurrentOncology》上发表了一篇关于老年癌症患者接受辅助或新辅助治疗情况的研究报告。对老年癌症患者做治疗决策时,必须使循证医学指南推荐方案与具体病情、患者及 ...
ASCO2014
ʱ: 2014-9-29 09:29
美国亚利桑那州凤凰城Mayo诊所的血液肿瘤内科医生Nandita Khera 在提出了一种新的CTCAE使用方法。她建议模拟CTCAE制定一种经济毒性量表以评估癌症治疗相关的经济损害。
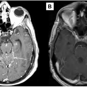
病例学习:神经纤维瘤病2型
ʱ: 2014-9-29 09:27
近期,AJNR杂志刊登了如下一则教学病例。患者男性,15岁,截瘫。结合上图,考虑如何诊断?A. 播散型星形细胞瘤B. 家族性视网膜及中枢神经系统血管瘤病C. 神经纤维瘤病2型D. 脊柱转移瘤答案:C. 神经纤维瘤病2型图1. ...
反复背痛:良性脊索细胞瘤
ʱ: 2014-9-29 09:27
2014年9月15日,AJNR杂志刊登了如下一则病例报道。患者男性,22岁,反复背部疼痛。图.矢状位T1WI (图1),STIR (图2),和水平位T2WI (图3)共同显示骶2椎体信号异常,T1WI上呈低信号,在TR序列上呈高信号。图4.矢状位C ...
EGFR-19号外显子突变的NSCLC粟粒样转移1例
ʱ: 2014-9-29 09:27
迄今为止,EGFR基因19号外显子缺失突变的NSCLC患者出现粟粒样的肺转移及软脑膜转移的案例未见报道。2014 年 9 月出版的Clinical Lung Cancer上,报道了一例EGFR基因19号外显子缺失突变NSCLC患者粟粒样转移及相关中枢 ...
癌不可貌相:酷似阴道脱垂的卵巢肿瘤
ʱ: 2014-9-29 09:27
假如门诊碰到老年女性外阴肿物就诊,身为妇产科医生的你能想到哪些疾病?子宫脱垂?外阴肿瘤?阴道囊肿?可不是这么简单,近日,美国马里兰大学的MadelineA.Dick-Biascoechea教授报道了一例酷似阴道脱垂的卵巢癌,并 ...
中心静脉置管导致上腔静脉综合征一例
ʱ: 2014-9-29 09:27
近日,美国肯塔基大学的Bharat Kumar和Nael Aboul Hosn报道了一例上腔静脉综合征的病例,该文发表在9月18日的NEJM杂志上。患者,男,59岁,因昏迷就诊于急诊科。既往有高血压和克罗恩病病史,服用柳氮磺吡啶、糖皮质 ...
手术及化疗均可使胸腺肿瘤患者获益
ʱ: 2014-9-29 09:27
胸腺上皮样肿瘤并不常见,来自渥太华医院癌症中心Paul教授等回顾性研究了2000.01-2012.12诊治的所有胸腺上皮肿瘤确诊病例,结果发表在近期的Clinical lung cancer 上。该研究共纳入76例确诊病例,70例胸腺瘤,5例胸 ...
宋勇:非小细胞肺癌基于药物靶基因的个体化化疗
ʱ: 2014-9-29 09:27
上一张 下一张编辑: 香农
刘基巍:恶性黑色素瘤辅助治疗现状
ʱ: 2014-9-29 09:27
上一张 下一张编辑: 香农
陆舜:晚期非小细胞肺癌化疗新理念新进展
ʱ: 2014-9-29 09:26
上一张 下一张编辑: 香农
1 ...
131
132
133
134
135
136
137
138
... 163
/ 163 页
下一页
微创治疗苗勒氏管畸形:临床决策系统
以扩张的胆管为解剖标志引导腹腔镜左
肝表面引导下环绕肝十二指肠韧带在微
腹腔镜治疗十二指肠闭锁:一位外科医
一种可重复测量食管裂孔的方法及其在
༭Ƽ
外科手套口在腹腔镜全胃切除术中的应用
一、技术的背景和原理外科手术手套端口技术主要用于单切口腹腔镜入口在执行阑尾切 ...
分枝杆菌与非缝合腹腔镜胃带的快速侵蚀
本案例描述了快速侵蚀的腹腔镜放置的非缝合胃束带继发于分枝杆菌(Mycobacterium ...
案例:腹腔动脉自发性分离解剖的形态学
形态学发现和治疗的腹腔动脉(SIDCA)自发隔离夹层。在本回顾性研究中纳入2009年1 ...
>
ѡ
Dissection de l'uretere extravesical
以扩张的胆管为解剖标志引导腹腔镜左侧肝切
肝表面引导下环绕肝十二指肠韧带在微创重复
腹腔镜治疗十二指肠闭锁:一位外科医生十年
一种可重复测量食管裂孔的方法及其在食管裂
腹腔镜下食管裂孔疝修补术和尼森胃底折叠术
膀胱结石和缺血性肠袢合并腹股沟滑动性膀胱
青少年男性同侧隐睾合并腹股沟皮样囊肿:病
儿童微创Mitrofanoff手术:从低资源到非机
腹腔镜Roux-en-Y胃旁路术后并发症影像学检
切口疝的发生:伤口愈合不良?
强直性脊柱炎导致低位肋弓患者行腹腔镜胆囊
一例伴有全内脏反位的肥胖患者行腹腔镜胆囊
急性空肠憩室炎:病例报告
急性胆囊炎——紧急救治策略
双手操作关节式腹腔镜器械(ArtiSential)
乳腺活检【中文字幕动画演示】
腹部解剖视频
经阴道子宫切除术 手术视频 会员免费下载
《复旦大学法医系尸体解剖视频》
采用腹腔镜经筋膜腹外缝合术修复因 Morgagn
催眠治疗实录_12209773.pdf
腹腔镜阑尾切除术后膀胱损伤的罕见并发症:
腹腔镜全胃切除术治疗胃癌中采用线性吻合器
开腹·关腹及附件手术 基本操作全攻略.pdf
临床麻醉系列丛书 妇产科麻醉分册_PDF电子
孤立性胆囊结核酷似慢性胆囊炎:病例报告
真正的三叶胆囊,一种极其罕见的胆囊畸形
腹腔镜胆囊切除术治疗极度肥胖、极度虚弱患
虚惊一场:胆结石脱落误诊为恶性肿瘤复发—
双胆囊的识别及腹腔镜胆囊切除术治疗:病例
经肛门息肉切除术
一种新型可行的全腹腔镜全胃切除术体内食管
腹腔镜阑尾切除术中阑尾系膜位置的变化;指
儿童腹腔镜下腹股沟疝修补术中罕见腹股沟斜
由一位初次尝试腹腔镜手术的外科医生采用双
医学网
腹腔镜
医学视频
手术视频
医学电子书
文章文献
解剖
普外腔镜
骨外手外
医美整形
下载在线
资源下载
医学影像
妇科产科
泌尿外科
丁香叶与你快乐分享
微信公众号
管理员微信
服务时间:
8:30-21:30
站长微信/QQ
← 微信/微信群
← QQ
Copyright © 2013-2026
丁香叶
Powered by
dxye.com
手机版
返回顶部