荧光造影在腹腔镜胆囊切除术 — 最初的加拿大经验Fluorescent cholangiography in laparoscopic cholecystectomy- the initial Canadian experienceAbstractBACKGROUND:Bile duct injury remains a worrisome compli ...
腹腔镜与内镜联合手术治疗胃黏膜下肿瘤的可行性(附视频)Feasibility of laparoscopic and endoscopic cooperative surgery for gastric submucosal tumors (with video)AbstractBACKGROUND AND AIMS:Laparoscopic ...
大胸腹主动脉瘤腔内修复II-IVEndovascular Repair of Extent II-IV Thoracoabdominal Aortic AneurysmsFig. Bifurcated-bifurcated aneurysm repair.A, Preoperative computed tomography angiography of common ili ...
血管内与TASC D股腘动脉病变严重肢体缺血患者开放搭桥手术Endovascular Versus Open Bypass Surgery for TASC D Femoropopliteal Lesions in Patients With Critical Limb IschemiaThe TransAtlantic Inter-Society ...
内镜下切除术与腹腔镜切除术在治疗复杂性结肠息肉中的应用-经济分析Endoscopic resection is cost-effective compared with laparoscopic resection in the management of complex colon polyps- an economic analys ...
单孔腹腔镜经腹膜外封闭在VAS输精管和睾丸灌注的影响方向和体积-从一个单一的中心的经验Effects of single-port laparoscopic percutaneous extraperitoneal closure on the orientation of the vas deferens and te ...
减肥和肥胖相关的疾病,从中国大陆患者3年结果腹腔镜袖状胃切除术的效果Effectiveness of laparoscopic sleeve gastrectomy for weight loss and obesity-associated co-morbidities- a 3-year outcome from Mainlan ...
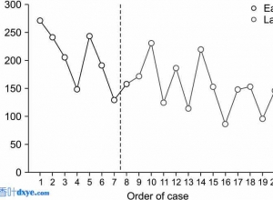
对血流动力学变化、利多卡因和艾司洛尔输注镇痛要求的影响,和在腹腔镜胆囊切除术手术恢复Effects of lidocaine and esmolol infusions on hemodynamic changes, analgesic requirement, and recovery in laparoscop ...
有效、简便、易行的腹腔镜胆囊腹腔镜手术的简易程序Effective, simple, easy procedure for laparoscopic port closure in difficult casesHighlights亮点•The complete fascial closure of port site is esse ...
倒钩缝合术在腹腔镜胆囊切除术中胆管损伤修复中的应用——附2例报告Effectiveness of a barbed suture in the repair of bile duct injury during laparoscopic cholecystectomy- Report of two casesAbstract摘要IN ...
社会经济地位预测胆囊切除术后的结果Does socioeconomic status predict outcomes after cholecystectomyHighlights•Gallbladder disease is more prevalent in patients with lower socioeconomic status. ...