仿气腹25孔3单端腔镜训练箱训练用单针/双针带线【出售】-->外科训练模块总目录
「训练教具器械汇总」管理员微信/QQ12087382[问题反馈]
开启左侧

全子宫切除术后腹腔镜下膀胱阴道瘘修补术

[复制链接]
发表于 2026-1-8 16:42:34 | 显示全部楼层 |阅读模式

马上注册,结交更多好友,享用更多功能,让你轻松玩转社区。

您需要 登录 才可以下载或查看,没有账号?注册

×
一位50岁女性,生育2次,曾有两次流产史,因子宫肌瘤和月经过多在另一家医院接受了全子宫切除术。术后5个月,她来到院门诊就诊,主诉持续尿液渗漏至阴道。术后1个月,患者出现尿失禁、尿意消失和膀胱充盈感缺失等症状,需要使用尿布。

术后14天,患者再次来到门诊就诊,主诉阴道流出水样分泌物1天。她被诊断为膀胱阴道瘘(VVF),并在2个月后接受了VVF修补术。

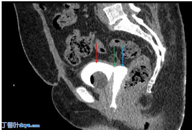
术后5个月,她再次因同样的症状来到院门诊就诊。作者进行了尿培养和CT膀胱造影检查,并给予抗生素治疗直至出院。 CT膀胱造影显示膀胱上缘与阴道之间存在一条约7×4.5 mm的瘘管(如图1箭头所示)。CT膀胱造影两天后,根据造影结果,安排患者进行诊断性膀胱镜检查和腹腔镜检查。膀胱镜检查发现右侧输尿管2-3 cm处、左侧输尿管2 cm处存在一条6×5 mm的膀胱阴道瘘(VVF)。诊断性腹腔镜检查发现大网膜主要粘连于左侧腹前壁,肠道粘连于左侧腹前壁,大网膜与乙状结肠紧密粘连,大网膜与膀胱粘连,膀胱与盆壁粘连。

图1. 术前增强CT膀胱造影。
1.jpg

红色箭头指向膀胱。绿色箭头指向瘘管,蓝色箭头指向阴道。

出院时,患者情况良好,生命体征稳定,无任何不适。医生建议她继续口服呋喃妥因24天,口服索利那新30天,以及对乙酰氨基酚14天。之后定期随访。出院一周后,中段尿液检查结果为阴性。术后三周,复查CT膀胱造影,未见造影剂渗漏至阴道(如图2箭头所示)。三周内,患者开始出现外阴刺激症状,使用聚维酮碘(碘伏)阴道栓剂后缓解;同时出现潮热、盗汗、盆腔疼痛和排尿困难等症状,采用激素替代疗法进行治疗。安排了门诊随访。随访期间,患者无任何不适。

图2. 术后增强CT膀胱造影。
2.jpg

红色箭头指向膀胱。
您需要登录后才可以回帖 登录 | 注册

本版积分规则

丁香叶与你快乐分享

微信公众号

管理员微信

服务时间:8:30-21:30

站长微信/QQ

← 微信/微信群

← QQ

Copyright © 2013-2026 丁香叶 Powered by dxye.com  手机版 
快速回复 返回列表 返回顶部