仿气腹25孔3单端腔镜训练箱训练用单针/双针带线【出售】-->外科训练模块总目录
「训练教具器械汇总」管理员微信/QQ12087382[问题反馈]
开启左侧

单吻合口胃旁路术后难治性胆汁反流:病例报告及外科治疗文献综述

[复制链接]
发表于 前天 19:27 | 显示全部楼层 |阅读模式

马上注册,结交更多好友,享用更多功能,让你轻松玩转社区。

您需要 登录 才可以下载或查看,没有账号?注册

×
一名46岁女性患者,主诉进行性胃食管症状一年,包括夜间反流、误吸和餐后胆汁性呕吐。她于2014年接受了袖状胃切除术,但由于症状控制不佳和体重增长缓慢,后行翻修手术。2022年,她接受了食管裂孔疝修补术。次年,即2023年,她接受了开放式胃束带术(OAGB)。尽管进行了手术,患者仍出现明显的胆汁反流。既往病史包括高血压和甲状腺功能减退,服用缬沙坦、氨氯地平和左甲状腺素钠片进行治疗。

持续存在的症状促使医生进行进一步评估。采用双重对比技术的上消化道造影显示,胃囊较小,造影剂可畅通无阻地流入空肠袢(图1)。然而,观察到活动性胃食管反流,逆行造影剂到达食管中段。上消化道内镜检查显示符合食管炎的炎症改变以及复发性食管裂孔疝的证据。回顾腹部CT扫描报告,排除上消化道梗阻性病变或其他显著的解剖异常(图2)。

图1.
1.jpg

A-F. 上消化道造影(UGI)——双对比技术。

可见一个小的胃囊,造影剂顺利进入空肠袢。观察到逆行造影剂反流至食管中段,表明在肠-肠分流术前存在明显的胃食管反流。每幅图像均标注了造影剂摄入的时间。

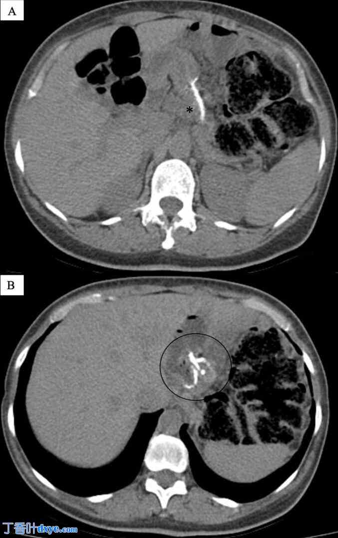
图 2.
2.jpg

OAGB 术前影像

(A) 轴位图像显示 OAGB 特有的 Ω 形机械胃空肠吻合 (*)。

(B) 金属钉勾勒出靠近胆胰袢的胃囊轮廓。这些图像是在转换为 LRYGB 之前获得的。

鉴于患者症状顽固难治,2024 年初,患者接受了由 OAGB 转换为 LRYGB 的手术(图 3)。手术后,肠-肠吻合使胆汁远离食管,缓解了患者的症状。术前体重为 55 kg,BMI 为 21。虽然体重在正常范围内,但由于持续呕吐和口服摄入量不足(尤其是富含蛋白质的食物摄入不足),患者存在营养不良。

图 3.
3.jpg

腹腔镜下 Roux-en-Y 胃旁路术转换过程中的术中图像。

(A) 识别 OAGB 解剖结构,可见 Ω 形袢。(B) 建立新的肠-肠吻合。(C) 分离胆胰袢。(D) 完成 Roux-en-Y 重建,胆汁和消化道血流清晰分离。
您需要登录后才可以回帖 登录 | 注册

本版积分规则

丁香叶与你快乐分享

微信公众号

管理员微信

服务时间:8:30-21:30

站长微信/QQ

← 微信/微信群

← QQ

Copyright © 2013-2026 丁香叶 Powered by dxye.com  手机版 
快速回复 返回列表 返回顶部