仿气腹25孔3单端腔镜训练箱训练用单针/双针带线【出售】-->外科训练模块总目录
「训练教具器械汇总」管理员微信/QQ12087382[问题反馈]
开启左侧

腹股沟疝

[复制链接]
发表于 2022-2-17 00:00:31 | 显示全部楼层 |阅读模式

马上注册,结交更多好友,享用更多功能,让你轻松玩转社区。

您需要 登录 才可以下载或查看,没有账号?注册

×

腹股沟疝

腹股沟疝

腹股沟疝的插图。

腹股沟疝

腹股沟疝

不同类型的腹股沟疝。

腹股沟疝

腹股沟疝

腹股沟窝

腹股沟疝

腹股沟疝

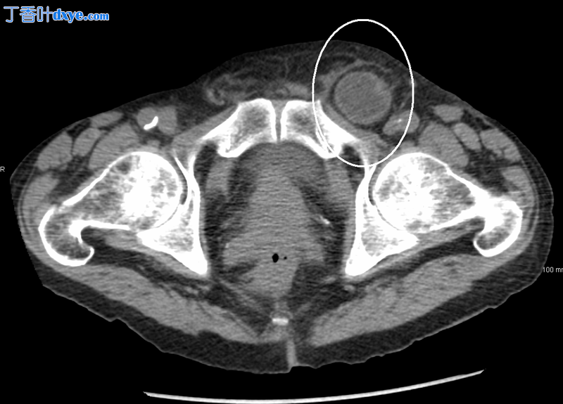
横断面 CT 扫描显示的嵌顿腹股沟疝

腹股沟疝

腹股沟疝

嵌顿性腹股沟疝(患者左侧)的正视图,上方有扩张的肠袢

腹股沟疝

腹股沟疝

包含部分膀胱的腹股沟疝。 膀胱癌也存在。

腹股沟疝的超声图像。 随着呼吸在腹股沟管中移动肠道。
 楼主| 发表于 2022-2-17 00:00:32 | 显示全部楼层
腹股沟疝是腹腔内容物通过腹股沟管的疝气(突出)。 大约三分之一的患者没有症状。 这可能包括疼痛或不适,尤其是在咳嗽、运动或排便时或之后。 通常它会在一天中变得更糟,并且在躺下时会有所改善。 下压时可能会出现膨胀区域变大。 腹股沟疝多发生在右侧而不是左侧。 主要问题是绞窄,部分肠道的血液供应被阻塞。 这通常会产生该区域的剧烈疼痛和压痛。
您需要登录后才可以回帖 登录 | 注册

本版积分规则

丁香叶与你快乐分享

微信公众号

管理员微信

服务时间:8:30-21:30

站长微信/QQ

← 微信/微信群

← QQ

Copyright © 2013-2026 丁香叶 Powered by dxye.com  手机版 
快速回复 返回列表 返回顶部