仿气腹25孔3单端腔镜训练箱训练用单针/双针带线【出售】-->外科训练模块总目录
「训练教具器械汇总」管理员微信/QQ12087382[问题反馈]
开启左侧

腹部和骨盆疾病诊断影像学- 20: 尿路梗阻、结石病和感染

[复制链接]
发表于 2018-6-1 11:21:01 | 显示全部楼层 |阅读模式

马上注册,结交更多好友,享用更多功能,让你轻松玩转社区。

您需要 登录 才可以下载或查看,没有账号?注册

×
学习目标

•审查泌尿系感染,梗阻和结石的发病机制

•讨论急性泌尿系感染的影像学特征,如肾脓肿,急性肾盂肾炎,肺气肿性肾盂肾炎或慢性感染,如肾结核

•说明鸟粪石或感染结石的成像,并突出其并发症

在最初的72小时内进行抗生素治疗。它还有助于寻找泌尿道的结构异常,从而指导适当的医疗或手术治疗。各种成像模态,包括超声(US),计算机断层扫描(CT)和磁共振成像(MRI),可用于泌尿道感染的诊断和描绘。本节使用多模式方法突出了急性肾盂肾炎,肾和肾周脓肿,肾盂肾炎,肺气肿性肾盂肾炎,黄色肉芽肿性肾盂肾炎和肾结核的影像学特征。

20.1尿路感染

20.1.1简介

尿路感染是最常见的泌尿系统疾病,据报道全世界每年影响1.5亿患者。诊断通常基于临床症状和尿液分析。通常,成像患者不需要成像来诊断无并发症的尿路感染。然而,诊断成像可以在评估无反应的患者感染中发挥重要作用

20.1.2超声波

超声(US)是一种容易获得的成像模式,用作评估肾盂肾炎临床诊断患者的初始模态。US作为一种良好的筛查方式,可用于评估尿路感染的结构性解剖异常或并发症,如肾积水和阻塞性尿路病。肾盂肾炎的灰度成像特征包括肾脏肿大,肾积水,由于水肿引起的肾窦脂肪缺失,皮质髓质分化丧失,彩色多普勒低灌注区域和脓肿形成。肾回声模式和涉及的肾可能有变化,可以是高回声或低回声。也可以在这种情况下评估膀胱,并且可以显示残余尿量,膀胱壁增厚的存在或可能是结石的量。然而,超声在其区分钙化与收集系统内的气体或实质,小脓肿的可视化和感染的周围延伸的能力方面受到限制,这在早期感染中是常见的。在一项研究中,只有24%的患者发现了超声检查结果,而其他研究仅报告了20%的患者。然而,组织谐波等新技术的敏感性和特异性分别为97%和80%。

20.1.3 CT技术

CT是评估复杂肾盂肾炎的首选成像方式,因为它提供了生理和解剖学细节,并确定了肾外和肾内病理。未经增强的CT非常适用于识别泌尿道内的气体,结石,出血和泌尿道扩张。非造影CT上较高衰减的区域与出血相关,而较低衰减区域表示水肿。静脉注射造影剂后,肾盂肾炎表现为“楔形”或从肾窦到肾皮质的增强减弱的线性区域。在造影剂给药后3至5分钟内获得的排泄期应在疑似尿路梗阻中进行。 CT还可以评估肾脏炎症及其并发症的其他特征,包括肾周围脂肪的炎症,Gerota筋膜的增厚和脓肿的形成。

20.1.4急性肾脏感染

20.1.4.1急性肾盂肾炎

当怀疑肾脏感染并发症时,需要进行CT检查。诱发条件,包括尿路结石,神经源性膀胱,免疫系统受损,糖尿病,静脉注射药物滥用或慢性衰弱性疾病,增加了需要干预的并发症的风险。大多数尿路感染是由革兰氏阴性杆菌引起的,但真菌和结核感染的发病率正在上升。急性肾盂肾炎是一个或两个肾脏的多灶性感染,其可以由血源性扩散或来自膀胱的上行感染引起,并且通常在适当的抗生素治疗后消退。未能改善的成年人应该成像以检测并发症。

肾脏急性细菌感染的CT征象包括由于水肿引起的血流减少导致实质增强减少的楔形区域。增强扫描的线性交替增加和减少衰减(“横纹肾脏”)的条纹模式是经典的[6]。这种差异增强是由各种因素造成的,即炎性碎片引起的管状阻塞,间质水肿和血管痉挛,这些因素往往会减少通过小管的对比流动。

20.1.5急性肾/肾周脓肿

未经治疗或治疗不当的肾盂肾炎可导致化脓,液化和实质坏死,最终导致脓肿。具有脓肿形成风险的患者包括患有糖尿病,慢性疾病,免疫受损状态,尿路梗阻和静脉内药物滥用者的患者。肾脓肿往往是孤立的,可以减压进入肾周围空间或收集系统。在美国,它们通常是低回声的,通过传播,移动碎片,偶尔的气穴和彩色多普勒缺乏内部流动。US在确定围绕CT的肾周围延伸的存在和程度方面不太敏感;然而,这是一种适当的后续成像方式,可以寻找对治疗的反应,并作为经皮引流的指导。 CT展示了一种带有增强边缘的流体收集,其可能含有气体。大脓肿通常需要导管或手术引流(图20.1)。感染扩展到肾周围空间是常见的,并且可能发生肾周脓肿。额外的实质收集可以扩展到腰肌,骨盆或腹股沟。

20.1.6肺气肿性肾盂肾炎

肺气肿性肾盂肾炎是一种严重危及生命的坏死性肾盂肾炎,主要发生于糖尿病患者(90%),也可用于免疫功能低下患者和尿路梗阻患者。通过革兰氏阴性细菌从葡萄糖代谢产生气体。除肾脏炎症迹象外,CT还显示肾实质内的气体。最常见的成气生物是大肠杆菌,肺炎克雷伯氏菌和奇异变形杆菌,它们也是与鸟粪石相关的生物。美国显示在实质或收集系统中具有非依赖性回声(气体)的扩大的肾脏,具有“脏阴影”,有助于区别于结石。US在评估疾病程度方面是有限的。 CT是肺气肿性肾盂肾炎的首选成像方式,伴有实质肿大和破坏的发现,无脓肿形成,小气体条纹或液体收集。

1.jpg
图20.1一名患有艾滋病和发烧的37岁女性的肾脓肿。左肾的轴向对比增强CT图像显示复杂的外周增强液体收集和相关的肾周围绞合。随后排出的液体生长金黄色葡萄球菌

根据影像学特征和预后,肺气肿性肾盂肾炎分为两类。

1型肺气肿性肾盂肾炎是肾实质破坏,伴有条纹或斑驳的气体区域而没有肾外液收集。类型2是肾脏或肾周液收集物,其与收集系统内的定位气体或气体直接相关。 1型和2型的死亡率分别为69%和18%。

20.1.7肾盂肾炎

肾盂肾炎是一种急性感染,在阻塞的收集系统内有脓液。肾脏破坏很快,需要紧急排出收集系统。阻塞可能是由于肿瘤,狭窄,脱落的乳头,肿瘤或结石。如果患者未接受治疗,患者可能会出现肾功能丧失和感染性休克。美国的特征包括盆腔分泌系统扩张,内部收集系统液体 - 液体水平,回声碎片,偶尔还有脏的气体回声。 CT特征可能显示扩张但厚壁的收集系统,扩张充满脓液的脓液,以及肾皮质变薄,通常是阻塞源。

20.1.8肾结核

结核病(TB)仍然是传染病死亡的主要全球原因。泌尿道是最常见的肺外感染部位,并且由15-20%的病例中的血源性传播引起。发达国家结核病的增加是由于HIV(人类免疫缺陷病毒)感染和抗生素抗性分枝杆菌菌株的传播引起的。即使胸部X线片未显示结核病证据,也可能涉及泌尿道。由于其有利的血液供应,在皮质中形成多个干酪性肉芽肿。这些可能保持休眠或重新激活,将生物传播到肾小管,导致乳头状坏死。进行性感染最终会破坏肾脏。肾结核的常见影像学表现是由于乳头状坏死,其后是实质性破坏。实质性病变导致皮质髓质瘢痕和肾脏轮廓瘢痕形成。 盆腔漏斗的狭窄,皮质低衰减病变,瘢痕形成,乳头坏死和钙化是与肾结核相关的发现。钙化是非常常见的,并且可以从粒状,无定形和曲线变化,其可以代替片段或整个肾实质,导致末期“腻子肾”。

20.2泌尿系结石和梗阻

20.2.1简介

在紧急情况下尿路梗阻的最常见原因是尿石症,但慢性尿路梗阻具有多种病因,例如淋巴结病或腹膜后纤维化。此外,具有尿路上皮,宫颈癌,前列腺癌或结肠癌病史的患者也因肿瘤性梗阻而易患慢性尿路梗阻。因此,放射科医师的作用是区分急性和慢性尿路梗阻的关键,因为准确的诊断对于避免严重并发症如脓毒症或慢性肾功能不全至关重要。

20.2.2流行病学

尿石症已经成为一个超越地理,文化和性别的问题。每年约有120万美国人受到影响。大约12%的男性和5%的女性在其一生中会患上尿石症。但是,较发达国家的患病率估计较高。石病也是美国最昂贵的健康问题之一,每年医疗保健费用约为20亿美元。

20.2.3石料组成

有几种饮食,遗传和环境因素在结石病中起着不可或缺的作用,如高钙尿症,肾小管酸中毒,慢性腹泻和痛风。大多数上尿路结石的组成是钙(即草酸盐脱水钙,草酸钙一水合物,磷酸钙),鸟粪石或尿酸,其中钙是最常见的。不常见的组合物包括蛋白质基质,胱氨酸,透钙磷石或由于药物相关疗法(例如茚地那韦)引起的结石。尽管大多数结石在CT上可见,但鸟粪石和尿酸结石在放射线照相中是射线可透过的。由于肾结石的成分不同,多排CT的衰减存在很大差异。例如,一水合钙和透钙磷石测量1700-2800HU,磷酸钙1200-1600HU,胱氨酸600-1100HU,鸟粪石600-900HU,和尿酸200-450HU。

识别石材成分的重要性与管理直接相关。尿酸结石是人工治疗的。基于胱氨酸和钙的结石不易被冲击波岩石绊倒(SWL)碎裂。

20.2.4临床观点

尿石症患者最常见的抱怨是急性腰痛,随着结石的通过最终缓解。如果结石留在输尿管肾盂交界处(UPJ),疼痛会向腹股沟辐射。但是,如果石头位于输尿管膀胱连接处(UVJ)的远端,则会引起耻骨上不适和排尿紧迫。疼痛通常会辐射到睾丸或阴唇。此外,患者会抱怨呕吐,恶心和镜下血尿。然而,由产生脲酶的细菌如奇异变形杆菌,铜绿假单胞菌,肺炎克雷伯菌和大肠杆菌引起的鹿角状结石可表现为复发性尿路感染而不是阻塞。如果感染和收集系统受阻,患者可能出现败血症。无论尿路梗阻如何,都可发生显微镜或肉眼可见的血尿。通常,进行尿液分析和全血细胞计数以评估感染。

20.2.5 CT技术

自1995年以来,未增强的MDCT是评估肾绞痛患者的主要选择方式,占急性腹痛全部CT检查的20%。薄(1-3毫米)重建部分有助于检测小石头。然而,已经发现具有3mm冠状重新格式化图像的5mm MDCT改善了石材检测,同时保持了辐射剂量益处。管电位为100-120kvp,并且管电流为80至500mAs,进行自动管电流调制。通常,CT评估肾结石不需要静脉内造影剂给药。

与使用单一能量源的MDCT不同,双能量CT(DECT)允许以两种不同的能量采集CT图像。对于MDCT,结石成分难以评估,因为每种石材亚型的衰减存在显着重叠。通过比较两种不同能量水平的石头衰减,石头组成的神秘感有所缓解。例如,这对于区分尿酸和钙基石头特别有用,因为两者在单能CT上具有相似的衰减系数。

20.2.6 鸟粪石及其并发症

被称为感染结石的鸟粪石由磷酸铵镁组成,占所有肾结石的15-20%。在患有尿淤滞或复发性尿路感染的患者中,鸟粪石更频繁地发展。具有叠加的肾盂肾炎的鸟粪石是由细菌进入肾小管并引起涉及肾小管和肾间质的炎症反应引起的。 CT可用于评估气体内,外部炎症,如气体,结石和出血。 CT显示具有叠加肾盂肾炎的煽动鹿角状结石,楔形区域的增强减弱,对应于横纹肾病和肾周围绞合。另一种并发症是肾盂肾炎,它是一种扩张的,受阻的和感染的收集系统。鸟粪石结石可以通过叠加感染阻塞盆腔神经系统,如果没有得到充分治疗,可能会导致严重的发病率。

20.2.7黄色肉芽肿性肾盂肾炎

黄色肉芽肿性肾盂肾炎是一种罕见的慢性肾盂肾炎,由于鸟粪石/感染的肾结石引起的慢性阻塞,导致慢性肉芽肿性炎症反应,并且由负载脂质的巨噬细胞最终破坏和替换肾实质。最常见的煽动生物是大肠杆菌和奇异变形杆菌,它们是与鸟粪石/感染结石相关的生物。 XGPN经典地呈现在中年女性患者中,其具有复发性尿路感染,糖尿病或阻塞尿路结石。 XGPN可能涉及整个肾脏(弥漫性)或与阻塞的上极或下极(局灶性)相关,其有时难以与肿瘤或脓肿区分。

20.2.8 XGPN的成像

XGPN的US特征是非特异性的,包括肾脏的局灶性或弥漫性扩大,伴有肾皮质变薄,以及肾盏内的回声,并且通常是由于石头造成后声学阴影的大型UPJ结石,模糊了肾脏的细节。对比增强CT是XGPN评估的首选方式;然而,当不能进行IV对比时,MR可作为有用的替代方案。 CT可能显示肾脏肿大,取代了低衰减扩张/爆裂的肾盏,导致肾皮质变薄,导致经典的“熊掌标志”。这些被吹散被认为代表充满出血,碎片或脓液的扩张的肾盏(图20.2)。 XGPN导致肾功能不全,通常是大的中央鹿角/感染的鸟粪石,不能排泄在排泄期[4](图20.3)。 XGPN的肾外扩展通常伴有炎症性变化和脓肿,其从肾脏追踪并通过后侧腹肌,腰肌和邻近的内脏如肝脏和脾脏进行解剖。

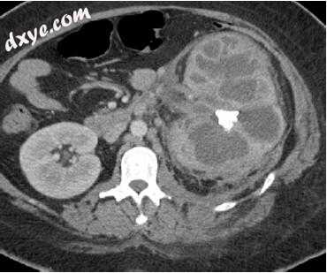
2.jpg
图20.2一名患有腰痛和尿路感染的56岁女性的XGPN。 轴向对比增强CT图像显示扩大的无功能的左肾脏,具有爆裂的花萼和“熊掌”外观,具有大的中央鹿角鸟粪/感染石。 随后的肾切除标本证实了XGPN

3.jpg
图20.3 68岁女性的鹿角结石,腰部疼痛。 骨窗中的冠状非造影CT图像显示右肾肾盂水肿系统中的大块石填充,其具有与感染石一致的鹿角形外观。 石材分析随后显示鸟粪石/磷酸铵镁。 注意微妙的肾周炎炎性绞合性肾炎和肾结核。 US的研究结果可能表明大量高回声脂肪量可能提示诊断; 然而,实质和肾窦脂肪沉积可能在超声波上不能很好地显现,并且脂肪的回声性可能会掩盖其相关结石的检测。 CT是选择的方式,以确认肾窦和肾周围空间的终末期肾萎缩和脂肪增殖,并有助于区分RRL与含脂肪的肿瘤。

20.3结束语

超声和CT在评估急性尿路感染,梗阻和结石病患者中起重要作用。熟悉这些实体的发病机制,成像特征和治疗可以帮助进行射线逻辑诊断并指导适当的患者管理。

20.2.9肾脏替代性脂肪瘤

长期结石病的另一种终末期并发症是肾窦,肾周围空间和肺门的完全破坏和萎缩以及随后的脂肪替代,称为肾窦或替代性脂肪瘤(RRL)。在最广泛的RRL形式中,肾实质完全萎缩并完全纤维脂肪替代。 RRL通常是单侧的并且与肾结石相关,占76-79%,并且由于慢性结石病,慢性肾盂肾炎和肾结核导致严重的肾萎缩或破坏。美国的研究结果可能表明大量高回声脂肪量可能提示诊断;然而,实质和肾窦脂肪沉积可能在超声波上不能很好地显现,并且脂肪的回声性可能会掩盖其相关结石的检测。 CT是选择的方式,以确认肾窦和肾周围空间的终末期肾萎缩和脂肪增殖,并有助于区分RRL与含脂肪的肿瘤。

带回家的消息

•超声和CT在评估急性尿路感染,梗阻和结石病患者中起重要作用。熟悉这些实体的发病机制,成像特征和治疗可以帮助放射诊断并指导适当的患者管理。

参考:Diseases of the Abdomen and Pelvis 2018-2021 Diagnostic Imaging - IDKD Book
您需要登录后才可以回帖 登录 | 注册

本版积分规则

丁香叶与你快乐分享

微信公众号

管理员微信

服务时间:8:30-21:30

站长微信/QQ

← 微信/微信群

← QQ

Copyright © 2013-2026 丁香叶 Powered by dxye.com  手机版 
快速回复 返回列表 返回顶部