仿气腹25孔3单端腔镜训练箱训练用单针/双针带线【出售】-->外科训练模块总目录
「训练教具器械汇总」管理员微信/QQ12087382[问题反馈]
开启左侧

[普外] Kono-S 吻合术治疗狭窄性克罗恩病——面向受训人员的分步手术指南

[复制链接]
发表于 2025-8-5 10:33:44 | 显示全部楼层 |阅读模式
 楼主| 发表于 2025-8-5 11:00:47 | 显示全部楼层
炎症性肠病 (IBD) 的特征是遗传易感人群在暴露于环境风险因素的情况下出现慢性胃肠道炎症。
在西方国家,IBD 的发病率呈上升趋势;预计到 2020 年,澳大利亚、北美和欧洲的复合患病率将达到 1/100。
高达 80% 的克罗恩病患者需要手术治疗,尽管医学取得了显著进步,但吻合口复发率仍然很高。
吻合技术多种多样,越来越多的证据表明 Kono-S 吻合术可以最大程度地降低克罗恩病的复发率。

1.jpg
管腔疾病的分布:部位和患病率的概览

Kono-S吻合术的历史
Kono-S吻合术于2011年由Toru Kono博士首次提出。他详细描述了功能性端端吻合术的创建。
他强调了更宽、无张力、抗肠系膜吻合术。
该吻合术的构建原理基于以下观察:吻合口复发主要发生在肠系膜边界,因此保留肠系膜可能有助于降低术后复发率。

临床应用
自2011年以来,Kono-S吻合术已在日本50多家领先的医疗中心得到应用。

理论背景及优势:
1. 肠系膜隔离
- 防止肠系膜浸润
2. 支撑柱及宽阔的吻合口管腔
直且流线型的管腔,最大程度减少湍流和粪便淤滞,并保持吻合口方向,尤其是在肠系膜侧。
3. 逆肠系膜吻合口结构
- 保留神经支配和血供

与传统吻合术相比,Kono-S回结肠吻合术更有可能降低26个月时吻合口复发的风险。

病例信息
41岁女性,长期腹痛、恶心和呕吐
背景:6年前确诊为克罗恩病,多种治疗均无效。无肠外表现。
检查:
-CT:回肠末端和小肠壁增厚
·结肠镜检查:回肠远端狭窄延伸至回盲瓣·磁共振成像(MRE):回肠远端两处纤维化狭窄。无穿透性病变。
治疗史:诊断时最初使用甲氨蝶呤,后停用。目前每日服用硫唑嘌呤75毫克,每日服用布地奈德3毫克。
计划:小肠切除术和Kono-s吻合术

2.jpg
磁共振肠造影对比剂 +

关键步骤:
3.jpg
狭窄处近端和远端小肠横断

4.jpg
双侧横缝合线闭合

5.jpg
用间断3-0 PDS缝合线建立支撑柱
- Kono-S 肠切开术

6.jpg
19.jpg
近端纵肠切开术,距支撑柱4cm + 1cm
20.jpg
远端纵肠切开术,距支撑柱4cm + 1cm
固定缝合
- 用间断3-0 PDS缝合线建立Kono-S吻合口

7.jpg
狭窄的识别
8.jpg

9.jpg
肠系膜窗口创建
10.jpg

11.jpg
狭窄处近端肠道切除术
12.jpg

13.jpg
狭窄远端肠道切除术

14.jpg
两条横向钉合线对齐
15.jpg

16.jpg
创建支撑柱
17.jpg
18.jpg

21.jpg
纵向逆行肠系膜切开术
22.jpg

23.jpg
留置缝合线以形成吻合口角
24.jpg

25.jpg
后壁闭合

26.jpg
前壁闭合
27.jpg

28.jpg
泄漏测试

29.jpg
完成 Kono-s 吻合术
30.jpg
31.jpg

术后恢复及随访
患者术后恢复情况良好,早期改善饮食并恢复活动。
患者术后第7天出院,并于第12天重新开始服用硫唑嘌呤。
- 术后1个月随访,患者仍无症状。

病例信息
42岁女性,出现腹痛、恶心和稀便。
背景:回肠克罗恩病,6年前右半结肠切除术及端侧吻合术后复发。
检查:
. 结肠镜检查:吻合口处溃疡较大,吻合口近端短小溃疡性狭窄。
·磁共振成像(MRE):回肠末端轻度至中度壁增厚4.0 cm。
治疗史:初期使用硫唑嘌呤和布地奈德治疗;由于对生物制剂治疗无效,多次更换生物制剂,包括修美乐和优特克单抗。
计划:结肠切除术(切除既往吻合口)和Kono-S吻合术。

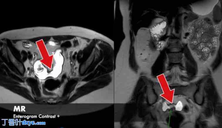
32.jpg
肠造影对比剂 +
您需要登录后才可以回帖 登录 | 注册

本版积分规则

丁香叶与你快乐分享

微信公众号

管理员微信

服务时间:8:30-21:30

站长微信/QQ

← 微信/微信群

← QQ

Copyright © 2013-2026 丁香叶 Powered by dxye.com  手机版 
快速回复 返回列表 返回顶部