仿气腹25孔3单端腔镜训练箱训练用单针/双针带线【出售】-->外科训练模块总目录
「训练教具器械汇总」管理员微信/QQ12087382[问题反馈]
开启左侧

手外科的手术操作解读:60-16 腕骨骨折「图解」

[复制链接]
发表于 2017-12-22 14:55:34 | 显示全部楼层 |阅读模式

马上注册,结交更多好友,享用更多功能,让你轻松玩转社区。

您需要 登录 才可以下载或查看,没有账号?注册

×
1.jpg
图.1  十岁时发生舟骨骨折的发生率。 (See Van Tassel Reprinted, with permission, from Elsevier.)

2.jpg
图.2  A,25例正常手腕的CT图像的三维重建。 注意舟骨的位置跨越腕骨近端和远端,并作为“平行杆”来协调平滑的腕部运动。 B,正常舟骨表面的百分之八十被关节软骨覆盖。 舟骨来自其独特的船形或小艇形轮廓。 X,旋转(旋前/旋后); Y,矢状(屈曲/伸展); Z,冠状(桡骨/尺骨)。 (A, From Joseph J. Crisco, PhD, Department of Orthopaedics, The Alpert Medical School of Brown University and Rhode Island Hospital.)

3.jpg
图.3  韧带附着到舟骨的桡骨和尺骨方面。 A,右舟状核的内侧表面展示了舟月肌的舟状骨韧带(SC),桡舟头韧带(RSC)和背侧(SLId),膜状(SLIm)和掌状(SLIp)区域 骨间韧带。 B,右舟骨从桡背侧视角展示的舟大小多角韧带附着区(STT),RSC,背侧腕骨韧带(DIC)和SLId的附着区。 (Copyright Elizabeth Martin.)

4.jpg
图.4  舟骨血供的示意图。 (Copyright Elizabeth Martin.)

5.jpg
图.5  66度的舟状内角的例子。 (From Trumble TE, Gilbert M, Murray LW, et al: Displaced scaphoid fractures treated with open reduction and internal fixation with a cannulated screw. J Bone Joint Surg Am 82(5):633–641, 2000.)

6.jpg
图.6  桡舟头韧带穿过舟骨腰,作为舟骨骨折的支点。

7.jpg
图.7  舟状视图。 主体握拳,将前臂和拳头掌侧向下放在手腕上,尺寸偏差。 (Courtesy of Steve K. Lee, MD.)

8.jpg
图.8  紧握铅笔的视力。受试者在握住一根铅笔时,轻轻地在第一个骨间背肌之间按压一张卡片。B、后前片呈现出非对称的舟月扩大。 (A and B, From Lee SK, Desai H, Silver B, et al: Comparison of radiographic stress views for scapholunate dynamic instability in a cadaver model. J Hand Surg [Am] 36:1149– 1157, 2011.)

9.jpg
图.9  赫伯特螺纹的引导螺纹(P1)和尾螺纹(P2)之间的间距决定了两个骨碎片的“拉紧”或拉伸的速度,从而产生压缩。 (Redrawn, by Eliza-beth Martin, from Herbert TJ, Fisher WE: Management of the fractured scaphoid using a new bone screw. J Bone Joint Surg Br 66:114–123, 1984.)

10.jpg
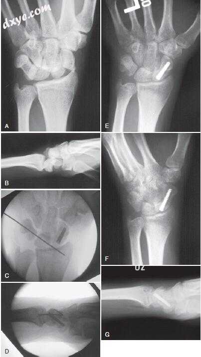
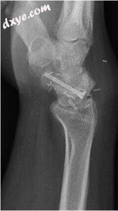
图.10  急性舟骨骨折开放复位,腰部呈现一个背侧无头加压螺钉内固定。 腕关节X线片(A)和术前X线片(B)。 C,腕关节的术前矢状磁共振成像。 D,背部切口钻孔和螺钉放置。 E,测量螺丝长度。 F,避免环箍应力。 G,螺丝放置。 H,术中透视观察舟状骨显示最佳螺钉位置。 I,手术中透视斜视的手腕。 J,手术中的透视侧视图。

11.jpg
图.11  A,手腕处于中间位,大多角骨阻断舟骨。 B,手腕处于过伸位置时,梯形向背侧移动以进入舟骨起点。 C,即使手腕伸展,也不可能从手掌入路的真正轴线,因为大多角骨的方式。

12.jpg
图.12  后斜视角为舟骨关节空心螺钉穿透的评估。 (From Kim RY, Lijten EC, Strauch RJ: Pronated oblique view in assessing proximal scaphoid articular cannulated screw penetration. J Hand Surg [Am] 33(8):1274–1277, 2008.)

13.jpg
图.13  在冠状面,为导丝的出发点良好的标志是三分之一的距离从舟骨远端桡侧杆。 (Courtesy of Steve K. Lee, MD.)

14.jpg
图.14  外科医生应该试图接近绿色线和红色线没有线的位置从掌侧入路。如果骨折位于近端腰部,使用红色线的风险最小的近端骨。

15.jpg
图.15  从试图钻过弯丝断钻头。 (From Kosy JD, Standley DM: Retrieval of broken Acutrak drill bit. J Hand Surg Eur 35(8):683, 2010.)

16.jpg
图.16  A,术前计算机断层扫描显示背侧闰节不稳定(DISI)。 术后前后位(B)和侧位视图(C),将DISI和Kirschner导丝从桡骨到月骨的复位。 (Courtesy of Scott W. Wolfe, MD.)

17.jpg
图.17  补充固定稳定性的例子。 (Courtesy of Steve K. Lee, MD.)

18.jpg
图.18  1998年,Haddad和Goddard报道了采用牵引和空心螺钉治疗骨折的简化掌侧经皮技术。 拇指被一个手指夹住了。 它允许整个手术过程中手的自由旋转,而舟骨仍然在成像单元的中心。 C型臂转动到手腕周围的水平位置。 最重要的步骤是建立导丝的入口点和螺丝的位置。 手腕的尺骨偏移由拇指牵引提供,并允许舟骨的远端一半从桡骨茎下滑出。 舟状结节很容易触及,是插入点的关键。 切入点采用12或14号静脉针,位于舟状结节的径向和远端。 (Haddad FS, Goddard NJ: Acute percutaneous scaphoid fixation: a pilot study. J Bone Joint Surg Br 80(1):95– 99, 1998.)

19.jpg
图.19  经舟骨月骨周围骨折 - 脱位。 手术前后位(PA)(A)和侧位(B)X线片。 手术中PA(C)和侧位(D)透视图像。 手术后3个月,手腕的PA(E),斜(F)和侧(G)X线片。

19,c.jpg
图.19, 结  H, 术后6个月术后活动范围。

20.jpg
图.20  一旦骨折复位一直使用操纵杆来完成,在远端舟骨片段的中心轴导丝从掌背,捕捉和保持骨折复位。非常不稳定的骨折可能需要两个中心轴线来抵抗弯曲和骨折旋转。

21.jpg
图.21  使用两骨骨移植Russe技术。 (From Green DP: The effect of a vascular necrosis on Russe bone grafting for scaphoid nonunion. J Hand Surg [Am] 10:597–605, 1985.)

22.jpg
图.22  掌侧切口桡侧腕屈肌。不愈合部位用皮钩暴露,切除纤维组织。 (Courtesy of Steve K. Lee, MD.)

23.jpg
图.23  皮质骨窗了桡骨远端掌侧皮质。松质骨移植。 (Courtesy of Steve K. Lee, MD.)

24.jpg
图.24  “火柴”是由桡骨远端掌侧皮质和髓内骨不连放在方式端为支撑。 (Cour-tesy of Steve K. Lee, MD.)

25.jpg
图.25  松质骨移植填充在不愈合部位的其余部分,然后用无头加压螺钉固定。 (Courtesy of Steve K. Lee, MD.)

26.jpg
图.26  后凸(PA)和侧线图显示了混合Russe程序后舟骨。 驼背畸形得到纠正,舟骨长度恢复。 无头螺钉为结构提供额外的固定。 (Courtesy of Steve K. Lee, MD.)

27.jpg
图.27  通过比较Green改进的Russe程序(左)和混合程序(右),显示了螺钉和移植物的位置。

28.jpg
图.28 A,腕骨斜位X线片显示舟骨骨不连,试图切开复位内固定。 B,侧位腕部X光片。 C,计算机断层扫描(CT),矢状面扫描。 手术后12周,舟骨和侧位(E)X线片和矢状CT扫描(F)显示愈合。 (Courtesy of Scott W. Wolfe, MD.)

29.jpg
图.29  A,舟骨(S),月骨(L)和头状骨(C)正常对齐的示意图。 B,舟骨骨折不愈合伴掌侧屈曲远端碎片及背侧闰节不稳定型。 C,舟骨排列矫正。 D,通过插入手掌楔形骨移植物来维持。 (From Taleisnik J: The Wrist, New York, 1985, Churchill Livingstone. Redrawn by Elizabeth Martin.)

30.jpg
图.30  A,术前计划插入楔形移植物。 跟踪相反的未受伤手腕,并测量舟骨长度和舟月角。 B,计算移植物的大小,切除面积和形式。 C,操作的权威性图表。 L,月骨; S,舟状体。 (Redrawn from Fernandez DL: A technique for anterior wedge-shaped grafts for scaphoid non-unions with carpal instability. J Hand Surg [Am] 9:733–737, 1984. Redrawn by Elizabeth Martin.)

31.jpg
图.31  第二掌骨血管束植入。 (From Fernandez DL, Eggli S: Nonunion of the scaphoid: revascularization of the proximal pole with implantation of a vascular bundle and bone grafting. J Bone Joint Surg [Am] 6:883–893, 1995. Redrawn by Elizabeth Martin.)

32.jpg
图.32  在畸形愈合或驼背畸形的情况下使用背侧桡骨血管移植物。 A,舟骨在移植物抬高前准备好。 B,收获大的移植物,可以塑造成楔形。 C和D,修剪移植物以适应缺陷尺寸并用作手掌撑杆。 X,髓内缺损长度; X',皮质间隙的长度; Y,宽度; Z,高度。 (By permission of Mayo Foundation for Medical Education and Research. All rights reserved.)

33.jpg
图.33  发现1,2间间室后上方动脉(1,2 ICSRA)在桡动脉背侧行,表面上位于第一和第二伸肌腱隔间之间的伸肌支持带表面。 从1,2 ICSRA的蒂采集血管化的骨移植物。 在分离蒂时需要识别和保护浅表桡神经的分支。 (Figure used with permission from Seth D. Dodds, MD.)

34.jpg
图.34  第一和第二隔间在其附着处被切开至1,2间隔室上方上动脉(IC)SRA附近。 1,2 ICSRA作为一个蒂被调动起来。 由于这是营养血管开始穿透皮层的区域(箭头),所以在靠近关节线的地方超过10至15mm的骨蒂没有从骨上抬起。 蒂几乎被释放到第一室的桡动脉。 (Figure used with permission from Seth D. Dodds, MD.)

35.jpg
图.35  根据手掌腕动脉的桡骨贡献收获和掌握掌侧远端桡骨血管化骨移植物。 注意到供体部位(A),用小骨凿(B)和移植(C)的移植物抬高。 收获一个小金字塔形的移植物,在其远端桡骨远端骨膜下剥离时,在蒂周围取一小块筋膜。 (Adapted, with permission, from Mathoulin C: Treatment of scaphoid nonunion with a vascularized bone graft harvested from the volar aspect of the radius, Maîtrise Orthopédique no. 105, June 2001. Reprint is in Derby BM, Murray PM, Shin AY, Bueno RA, Mathoulin CL, Ade T, Neumeister MW: Vascularized bone grafts for the treatment of carpal bone pathology. Hand 8(1):27-40, 2013.)

e1.jpg
e图.1

e2.jpg
e图.2

e3.jpg
e图.3

e4.jpg
e图.4  (From Sotereanos D: The capsular-based vascularized bone graft from the dorsal distal radius. In Slutsky DJ, editor: The art of microsurgical hand reconstruction, New York, 2013, Theme, pp 234–241, Figure 28.1a.)

e5.jpg
e图.5

e6.jpg
e图.6  (From Sotereanos D: The capsular-based vascularized bone graft from the dorsal distal radius. In Slutsky DJ, editor: The art of microsurgical hand reconstruction, New York, 2013, Theme, pp 234–241, Figure 28.2a.)

e7.jpg
e图-7  (From Sotereanos D: The capsular-based vascularized bone graft from the dorsal distal radius. In Slutsky DJ, editor: The art of microsurgical hand reconstruction, New York, 2013, Theme, pp 234–241, Figure 28.2b.)

e8.jpg
e图.8

e9.jpg
e图.9

e10.jpg
e图.10         

e11.jpg
e图.11

e12.jpg
e图.12

e13.jpg
e图.13

e14.jpg
e图.14

e15.jpg
e图.15

e16.jpg
e图.16

e17.jpg
e图.17

36.jpg
图.36  A,抬高股骨内髁移植物。 B,移植物转移到舟骨骨不连。 C和D,移植物和螺钉置入后的前后和侧向荧光透视术中视图。 E和F,愈合后的前后侧位X线片。 (From Jones DB Jr, Burger H, Bishop AT, et al: Treatment of scaphoid waist nonunions with an avascular proximal pole and carpal collapse: a comparison of 2 vascularized bone grafts. J Bone Joint Surg Am 90:2616–2625, 2008.)

37.jpg
图.37  腕部X光片,侧面看。 三叉神经背侧皮质骨折。 (Courtesy of Steve K. Lee, MD.)

38.jpg
图.38  在多发性腕关节骨折稳定并稳定后,患者前后位X线片,包括稳定三叉神经体的骨折。

39.jpg
图.39  Walker及其同事对多角骨折的分类:I,水平型骨折; IIA,通过腕掌关节的径向粗隆骨折; IIB,通过舟大多角骨关节桡骨粗隆骨折; III,尺骨结节骨折; IV,腕掌关节的骨折(两部分); 和V,骨关节(粉碎)的骨折。 (From Walker JL, Greene TL, Lunseth PA: Fractures of the body of the trapezium. J Orthop Trauma 2:22–28, 1988.)

40.jpg
图.40  后前位的照片展示的多角骨,分为掌侧和背侧骨折碎片的体。这是继发于拇指掌骨近端为驱动的多角体。

41.jpg
图.41  CT显示的前后挤压产生的腕横韧带撕脱。 (Courtesy of Steve K. Lee, MD.)

42.jpg
图.42  图.41的骨折被接近,抬高了鱼际肌肉组织。 克氏针固定使骨折解剖复位并保持稳定。

43.jpg
图.43  图.41解剖复位后,将空心螺钉置于导丝上,解剖上减少了关节内骨折至多角骨。

44.jpg
图.44  Palmer对大多角骨骨折进行了分类。

45.jpg
图.45  头状骨骨折的损伤机制。 A,一旦舟骨骨折,头状骨的颈部可能会影响到桡骨的脊背。 B,当腕部恢复到中间位时,腕部的缩短防止近端碎片的减少。 C,由于头部恢复了其相对于半径的正常对齐,所以其对近侧的碎片施加弯曲力矩,其可能导致180度旋转,其中骨折部位面向月牙的远侧面。

46.jpg
图.46  头颈骨折。 A,手腕的前后位X线透视图。 B,手腕的横向透视图。 (Courtesy of Martin A. Posner, MD.)

47.jpg
图.47  A,舟骨,跨头状骨骨折脱位最好通过背侧方法稳定。 采用两个无头空心螺钉固定骨折,并用近端 - 远端方向插入的单个螺钉固定舟骨骨折。 患者完全撕裂了月三角骨间韧带; 它主要是用克氏针进行修复和提供稳定的,最终将其克服。 B,横切开放复位内固定后,经跨头状骨骨折脱位。 X光片证实了舟月角的恢复正常。

48.jpg
图.48  钩骨骨折的机制。 (From Sennwald GR: Carpal bone fractures other than the scaphoid. In Berger RA, Weiss AP, editors: Hand Surgery, Philadelphia, 2004, Lippincott Williams & Wilkins, p 418; with permission.)

49.jpg
图.49  钩骨钩骨折(箭头)。腕管透视图。 (Courtesy of Martin A. Posner, MD.)

50.jpg
图.50  尺神经的运动分支非常接近钩的基部。 应该在钩子被切除之前被识别。

51.jpg
图.51 (A)和计算机断层扫描,以确定背侧冠状裂骨折。 (Courtesy of Steve K. Lee, MD.)

52.jpg
图.52  术后放射性骨折切开复位内固定术后骨折。 手腕的前视图(A)和侧视图(B)。 (Courtesy of Steve K. Lee, MD.)

53.jpg
图.53  显示脓肿骨折的腕管视图(箭头)。 (Courtesy of Martin A. Posner, MD.)

54.jpg
图.54  侧面线图的五种模式:月骨骨折掌侧杆(I),骨软骨片(II),背杆(III),矢状(IV),和横向(V)。 (Courtesy of Steve K. Lee, MD.)

55.jpg
图.55  破裂骨折(箭头)。 平面影像学(A)和DSA体层摄影数字减影血管造影(B和C)评估显示月骨的身体和掌侧唇骨折。 桡骨茎突骨折也存在。

56.jpg
图.56  图.55中的月骨骨折通过延伸的腕骨隧道切口穿过手腕屈肌腱和尺神经维管束之间的表面腕关节斜交。 用无头螺钉固定骨折。

57.jpg
图.57  月骨的血供进行了彻底的研究,和三个主要血管的模式已被确定。这些都是以前地描述为Y,X,和I的模式。I模式是唯一一个单支血管,被认为是在股骨头坏死的最大发展风险。

58.jpg
图.58  腕关节高度指数是在前后位片上测量的。 腕关节高度比率定义为腕关节高度除以第三掌骨的高度。

59.jpg
图.59  A,桡骨短缩截骨术后的X线片。 将前臂缩短截骨板(AcuMed,Hillsboro,OR)置于桡骨掌侧表面。 现在患者是尺骨中间的。 B,侧位X光片显示沿径向缩短截骨后桡骨掌侧方向的解剖轮廓钢板。

60.jpg
图.60  通过切开第五背侧伸肌室标识第五伸肌室动脉。 通过隔开第四和第五背隔间的相邻隔膜在隔间的径向方向上可视化。 (By permission of Mayo Foundation for Medical Education and Research. All rights reserved.)

61.jpg
图.61  伸肌间隔第五动脉的识别和追溯其起源于近端骨间前动脉。第四支伸肌室动脉远端发现并追踪到桡骨远端。骨移植是中心约11 毫米的桡腕关节伸肌室覆第四动脉。 (By permission of Mayo Foundation for Medical Education and Research. All rights reserved.)

62.jpg
图.62  使用骨凿完成移植高度的完成。 (Courtesy of Steve K. Lee, MD.)

63.jpg
图.63  同时保护植骨及蒂,月骨背侧韧带–保留切开暴露。背侧皮质骨窗中,和坏死骨清除。 (Courtesy of Steve K. Lee, MD.)

64.jpg
图.64  带血管蒂骨移植插入月骨。蒂皮质表面垂直方向的排列取向保持高度近远端骨。 (By permission of Mayo Foundation for Medical Education and Research. All rights reserved.)

65.jpg
图.65  可供选择的带血管骨移植的来源可取自第二掌骨或第三掌骨基底部。

66.jpg
图.66  背二间歇腕动脉位于下方的筋膜覆盖骨间肌。筋膜被分开以暴露间断的腕动脉。

67.jpg
图.67  用5-0单丝缝线结扎动脉的最远端的范围。 这提供了5到6厘米长的血管。

68.jpg
图.68  维管束通过2.7毫米的钻孔方向。

69.jpg
图.69  闭合楔形截骨。 A,一名23岁女性的前内侧腕关节X线片,先天性异常伴有径向倾斜和Kienböck病的增加。 B,由于倾斜增加,进行多角骨截骨。 AcuLoc(AcuMed,Hillsboro,OR)手掌远侧桡骨板稳定了骨的截骨。 C,多角楔形截骨后侧位腕关节X线片。

70.jpg
图.70  IIIB期Kienböck病的近排腕骨切除术。 腕关节的前后位(PA)X线片(A)和侧位X线片(B)。 C,计算机断层扫描,矢状面扫描。 D,磁共振图像,冠状视图。 PA的X线透视图像(E)和手术后侧位X线透视图像(F)。 (Courtesy of Steve K. Lee, MD.)

参考:Green’s Operative Hand Surgery-Seventh Edition
您需要登录后才可以回帖 登录 | 注册

本版积分规则

丁香叶与你快乐分享

微信公众号

管理员微信

服务时间:8:30-21:30

站长微信/QQ

← 微信/微信群

← QQ

Copyright © 2013-2026 丁香叶 Powered by dxye.com  手机版 
快速回复 返回列表 返回顶部