仿气腹25孔3单端腔镜训练箱训练用单针/双针带线【出售】-->外科训练模块总目录
「训练教具器械汇总」管理员微信/QQ12087382[问题反馈]
开启左侧

包虫囊肿

[复制链接]
发表于 2021-9-27 00:00:38 | 显示全部楼层 |阅读模式

马上注册,结交更多好友,享用更多功能,让你轻松玩转社区。

您需要 登录 才可以下载或查看,没有账号?注册

×
介绍
腹痛。 右肝叶囊肿切除史。

患者数据
年龄:60 岁
性别女

CT
1.jpeg
Axial C+ arterial phase

2.jpeg
Axial C+ portal venous phase

3.jpeg
Axial C+ delayed

4.jpeg
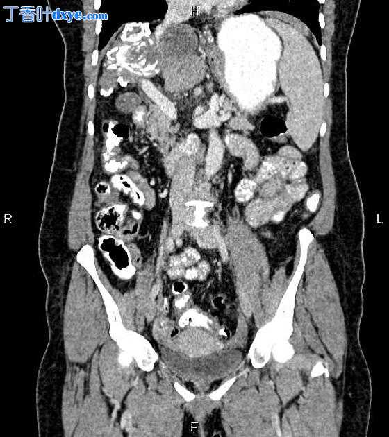
Coronal C+ portal venous phase

5.jpeg
Sagittal C+ portal venous phase

部分右肝叶切除术后的变化。

残余的右肝叶有一个 70 × 50 mm 的钙化病变。 在左肝叶中还发现了一个 22 × 20 毫米的较小的。 此外,尾状叶有一个 44 × 41 mm 的囊性病灶,边缘有小的钙化灶。

腹壁右前外侧有一个 22 毫米的筋膜缺损,一些网膜脂肪通过它突出。

在下胸腔的成像部分; 在右下叶发现一个 18 毫米的结节性病变 (37 HU)。 此外,在右心膈角观察到一个 35 × 20 mm 的囊性病变。

案例讨论
钙化和部分钙化的肝包虫囊肿。
右心膈角囊肿; 包虫与心包囊肿不同。
您需要登录后才可以回帖 登录 | 注册

本版积分规则

丁香叶与你快乐分享

微信公众号

管理员微信

服务时间:8:30-21:30

站长微信/QQ

← 微信/微信群

← QQ

Copyright © 2013-2026 丁香叶 Powered by dxye.com  手机版 
快速回复 返回列表 返回顶部