
楼主 |
发表于 2012-12-31 22:24:32
|
显示全部楼层
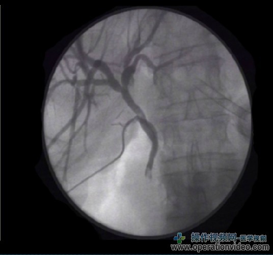
术中胆道造影执行三个步骤:
1。影像学指导下的胆管注入几毫升稀释的对比(50%稀释)。这是必要的,以确保没有气泡在注射设定的“生物多样性公约”可以用石头混淆,因为气泡。如果静态图片正在采取的第一个被检测到石头的点睛之笔。
2。继续进行,直到一个完整的胆管造影得到的染料喷射。头低脚高的位置,可促进肝内胆管混浊。第二个静态图像,在这一点上。
3。在低压下进入十二指肠通过染料应确认由三分之一的X光片。
如果有胆管造影期间整个胆总管可视化不足,温和的压力可以与仪器放置在前端部分的CBD,以鼓励足够灌装和划分。如果X线透视正在被使用,则可以得到图像动态同时注入对比度。 |
|