仿气腹25孔3单端腔镜训练箱训练用单针/双针带线【出售】-->外科训练模块总目录
「训练教具器械汇总」管理员微信/QQ12087382[问题反馈]
开启左侧

成功实施巨型子宫肌瘤和直肠癌同步机器人切除术

[复制链接]
发表于 2025-11-6 11:00:00 | 显示全部楼层 |阅读模式

马上注册,结交更多好友,享用更多功能,让你轻松玩转社区。

您需要 登录 才可以下载或查看,没有账号?注册

×
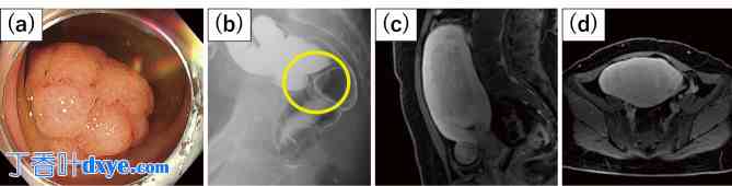
患者为一名45岁女性,既往无特殊病史。她因便血就诊。身高158.5厘米,体重70.9公斤,BMI为28.22。血液检查显示重度贫血,血红蛋白为8.6克/分升。下消化道内镜检查和造影灌肠检查发现腹膜反折上方直肠内有直肠癌(图1(a)、(b))。组织活检确诊为腺癌。磁共振成像(MRI)检查还发现子宫巨大肌瘤,最大直径达18厘米(图1(c)、(d))。术前诊断为直肠癌,cT2N0M0,c期I期,合并巨大子宫肌瘤。严重贫血的原因可能是巨大的子宫肌瘤,它可能阻塞了盆腔手术视野,因此作者计划同时进行直肠和子宫切除术。由于机器人手术在盆腔内操作灵活、创伤小且美容效果好,作者选择机器人手术而非开放手术。手术方案是先切除巨大的子宫肌瘤,然后再切除直肠癌。套管针的放置如图2(a)、(c)所示。目标区域设定在盆腔中心,左右两侧的套管针根据手术入路方向互换。子宫肌瘤朝向宫颈,作者从两侧入路,并使用血管封闭器切断子宫阔韧带(图2(b)、(d))。宫颈通过腹腔侧面使用单极弯剪进行分离(图3(a)、(b))。将 GelPOINT Access Platform™(Applied Medical 公司)连接至阴道(图 4(a))。从腹腔和阴道两侧确认子宫与直肠的边界(图 4(b)),并安全地实施了单纯全子宫切除术。用倒刺缝线缝合分离的宫颈残端(图 3(c))。

图 1.
1.jpg

下消化道内镜检查、灌肠造影结果和钆增强 MRI 结果。

(a) 下消化道内镜检查显示直肠内存在 I 型肿瘤

(b) 灌肠造影显示直肠内存在肿瘤(圆圈所示)。

(c) (d) 钆增强 MRI 显示子宫内存在巨大肌瘤,最大直径达 18 cm。

图 2.
2.jpg

套管针放置及宫颈入路。

(a) (b) 宫颈右侧入路。使用血管封闭器切断子宫阔韧带。

R1:第一臂(开窗式双极电凝钳),R2:第二臂(摄像头),R3:第三臂(血管封闭器延长器),R4:第四臂(翻转式开窗抓钳)

(c) (d) 宫颈左侧入路。使用血管封闭器切断子宫阔韧带。

R1:第一臂(开窗式双极电凝钳),R2:第二臂(血管封闭器延长器),R3:第三臂(摄像头),R4:第四臂(翻转式开窗抓钳)

图3.
3.jpg

腹腔侧入路。

(a) 使用单极弯剪分离宫颈。

(b) 从腹腔和阴道侧确认子宫与直肠的边界。

(c) 使用倒刺缝线缝合分离的宫颈残端。

图4.
4.jpg

阴道侧入路。

(a) 将GelPOINT Access Platform™(Applied Medical)连接至阴道。

(b) 从阴道侧确认子宫切除线。

脐部切口延长至15 cm,子宫标本经腹腔取出。将伤口牵开器固定于伤口,继续进行直肠癌机器人手术。解剖肠系膜下动脉(IMA)根部,行肿瘤特异性直肠系膜切除术(TSME)以完成D3淋巴结清扫。使用Sureform吻合器分离腹膜反折以下的直肠,并使用圆形EEA Tri-Staple吻合器™(美敦力公司)进行低位前切除。盆腔内放置引流管,手术结束。手术时间为536分钟,术中出血量为5 ml。

切除的子宫标本大小为18×13×5 cm,重860 g(图5(a))。直肠癌大小为 25×25 mm,分期为 pT1bN0M0,pStage I(图 5(b))。术后恢复良好,患者于术后第 7 天出院。

图 5.
5.jpg

切除标本。

(a) 切除的子宫标本长 18×13×5 cm,重 860 g。

(b) 直肠癌大小为 25 × 25 mm,分期为 pT1bN0M0,pStage I。
您需要登录后才可以回帖 登录 | 注册

本版积分规则

丁香叶与你快乐分享

微信公众号

管理员微信

服务时间:8:30-21:30

站长微信/QQ

← 微信/微信群

← QQ

Copyright © 2013-2026 丁香叶 Powered by dxye.com  手机版 
快速回复 返回列表 返回顶部