仿气腹25孔3单端腔镜训练箱训练用单针/双针带线【出售】-->外科训练模块总目录
「训练教具器械汇总」管理员微信/QQ12087382[问题反馈]
开启左侧

腹腔镜巨大肾上腺髓质脂肪瘤切除术:1例报告

[复制链接]
发表于 2025-3-22 10:00:00 | 显示全部楼层 |阅读模式

马上注册,结交更多好友,享用更多功能,让你轻松玩转社区。

您需要 登录 才可以下载或查看,没有账号?注册

×
,一名 63 岁的男性患者因左下胸痛就诊,在一次检查中偶然发现了左肾上腺肿块。既往病史显示有高血压。患者正在服用替米沙坦、氨氯地平、卡维地洛、瑞舒伐他汀和氯吡格雷治疗其基础疾病。患者之前没有手术史。

临床发现
体格检查无异常。生命体征正常。体重指数为 31.1 kg/m2。

诊断方法
腹部 CT 扫描显示左肾上方有一个 12 × 10 × 8 cm 的异质密度、含脂肪的左腹膜后肿块。肿块占据了左肾上腺的大部分(图 1)。血浆去甲肾上腺素水平为 146.5 pg/mL [正常范围 <196 pg/mL],血浆去甲肾上腺素水平为 43.9 pg/mL [正常范围 <65 pg/mL],地塞米松抑制试验为 44.05 nmol/L [正常范围 <50]。生化检查包括电解质和离子钙均正常。血尿素为 29 mg/dL(16-45),血清肌酐为 0.79 mg/dL(0.7-1.2)。

图 1。
1.jpg
腹部非造影 CT 扫描 (A) 轴向切片 (B) 冠状切片显示左肾上腺处有一个边界清晰的脂肪病变,病变的尺寸测量结果分别为横向 x 前后 x 头尾方向 12 × 10 × 8 厘米。

超声心动图显示中度至重度心包积液,主要在左心室 (29 毫米),右心室和心尖区域少于 10 毫米,射血分数良好 (67%)。

治疗干预
根据肿块的大小(大于 10 厘米),需要手术切除左肾上腺。由于存在肾上腺肿块,尝试进行心包穿刺术以排出心包积液,但由于造成压迫并阻塞了心包积液的通道而未成功。因此,患者接受了 2 周的治疗,以稳定心脏状况并改善整体健康状况,然后才进行手术干预。随后,通过腹腔镜左肾上腺切除术切除左肾上腺肿块(图 2)。腹腔镜方法利用 4 个端口进行可视化和切除肾上腺肿块,手术团队通过 Pfannenstiel 切口使用内袋取回标本,然后将肿块送去进行组织学检查(图 3)。

图 2。
2.jpg
手术期间的腹腔镜视图显示肿块(红色箭头)位于左肾(绿色箭头)和脾脏(蓝色箭头)附近。

图 3。
3.jpg
巨大肾上腺肿瘤的大体外观。

患者术后 3 天出院,过程顺利。组织病理学检查证实肾上腺肿块为肾上腺髓质脂肪瘤(图 4)。

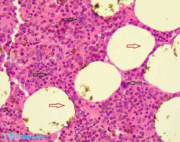
图 4。
4.jpg
成熟脂肪细胞(红色箭头)和髓外三系造血细胞的混合物,其中巨核细胞数量明显增加(黑色箭头)。
您需要登录后才可以回帖 登录 | 注册

本版积分规则

丁香叶与你快乐分享

微信公众号

管理员微信

服务时间:8:30-21:30

站长微信/QQ

← 微信/微信群

← QQ

Copyright © 2013-2026 丁香叶 Powered by dxye.com  手机版 
快速回复 返回列表 返回顶部