仿气腹25孔3单端腔镜训练箱训练用单针/双针带线【出售】-->外科训练模块总目录
「训练教具器械汇总」管理员微信/QQ12087382[问题反馈]
开启左侧

[病历讨论] 胼胝体发育不良

[复制链接]
发表于 2021-8-11 00:30:03 | 显示全部楼层 |阅读模式

马上注册,结交更多好友,享用更多功能,让你轻松玩转社区。

您需要 登录 才可以下载或查看,没有账号?注册

×
介绍
部分癫痫。

患者数据
年龄:45 岁
性别:男

MRI
1.jpeg
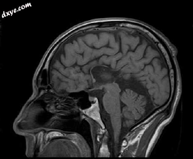
Sagittal T1

2.jpeg
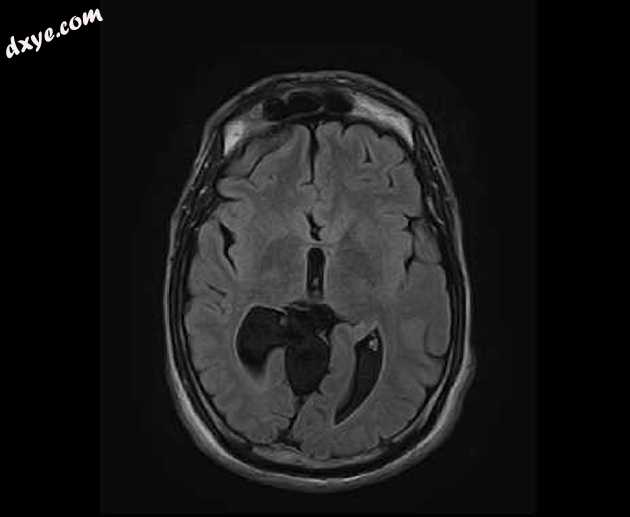
Axial FLAIR

3.jpeg
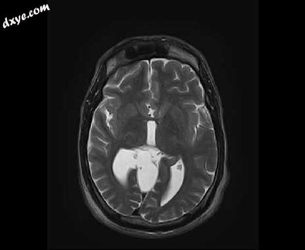
Axial T2

4.jpeg
Coronal T2

5.jpeg
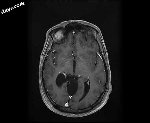
Axial T1 C+

MRI序列显示:

胼胝体弥漫性变薄
侧脑室的平行体
主要在右侧(头畸形)的三角和枕角扩张,在轴向序列上形成“泪珠”构型
小额角
半球间裂增宽
扩张的高位第三脑室
矢状 T1 上脑回的太阳射线外观
扩张的小脑上池
注意右眼假体。

案例讨论
胼胝体发育不全的MRI特征。

胼胝体发育不全可以是完全的(发育不全)或部分,并代表一种宫内发育异常。它可分为:

原发性发育不全:胼胝体从未形成
继发性发育不全:胼胝体正常形成,随后被破坏

流行病学
由于许多孤立病例是无症状的,因此很难确定对发病率的真实估计。 根据尸检系列,它可能像 1:20,000 一样不常见。 然而,应该注意的是,在儿科神经放射学实践中,它可能会出现在多达 1% 的转诊中,这显然代表了显著的选择偏差,归因于大量有症状的相关异常。

似乎有男性偏好(男:女~2:1)。 孕妇在怀孕期间饮酒已被认为是另一个危险因素。

参考资料:
1. Loevner LA. Case review, brain imaging. Mosby Inc. (1999) ISBN:032300430X. Read it at Google Books - Find it at Amazon
2. Kornienko VN, Pronin IN. Diagnostic Neuroradiology. Springer Verlag. (2009) ISBN:3540756523. Read it at Google Books - Find it at Amazon
3. Tang PH, Bartha AI, Norton ME et-al. Agenesis of the corpus callosum: an MR imaging analysis of associated abnormalities in the fetus. AJNR Am J Neuroradiol. 2009;30 (2): 257-63. doi:10.3174/ajnr.A1331 - Pubmed citation
您需要登录后才可以回帖 登录 | 注册

本版积分规则

丁香叶与你快乐分享

微信公众号

管理员微信

服务时间:8:30-21:30

站长微信/QQ

← 微信/微信群

← QQ

Copyright © 2013-2026 丁香叶 Powered by dxye.com  手机版 
快速回复 返回列表 返回顶部