仿气腹25孔3单端腔镜训练箱训练用单针/双针带线【出售】-->外科训练模块总目录
「训练教具器械汇总」管理员微信/QQ12087382[问题反馈]
开启左侧

[病历讨论] MCA 梗死 - 早期超急性

[复制链接]
发表于 2021-8-6 00:30:07 | 显示全部楼层 |阅读模式

马上注册,结交更多好友,享用更多功能,让你轻松玩转社区。

您需要 登录 才可以下载或查看,没有账号?注册

×
介绍
右侧偏瘫2小时。

患者数据
年龄:80 岁
性别:女

MRI
1.jpeg
Sagittal T1

2.jpeg
Axial T1

3.jpeg
Axial FLAIR

4.jpeg
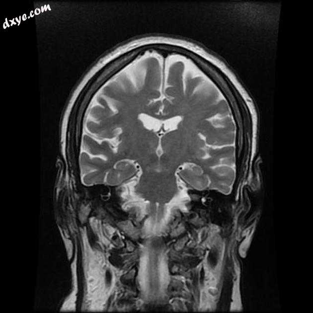
Coronal T2

5.jpeg
Axial Gradient Echo

6.jpeg
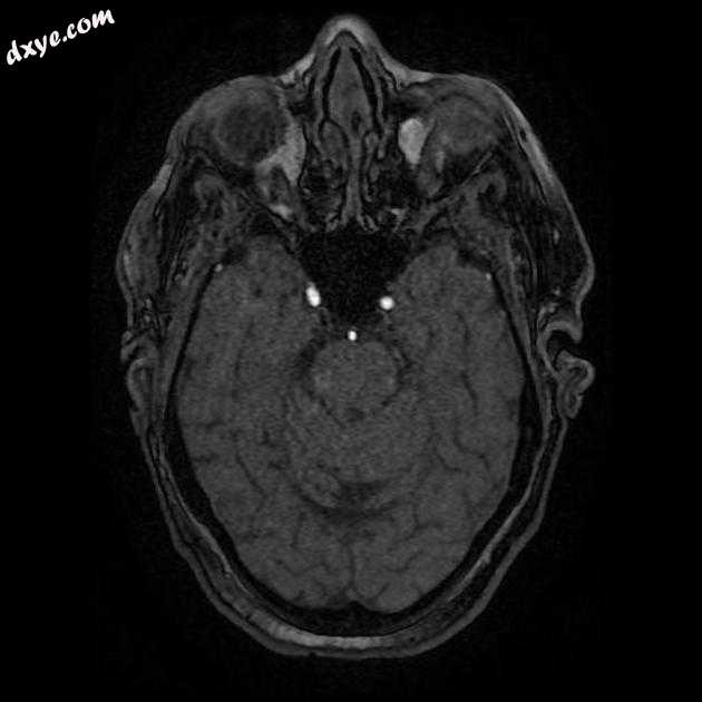
MRA source images MRA

7.jpeg
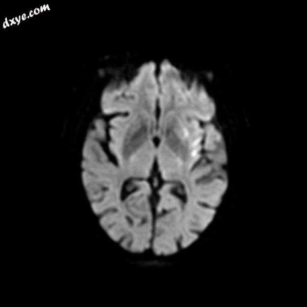
Axial DWI

8.jpeg
Axial ADC

9.jpeg
MRA 3D-TOF

MRI 序列显示左侧大脑中动脉 (MCA) 区域分布中的弥散受限区域,在 FLAIR 序列上不可见。在 GE 序列上没有看到出血性转化。 MRA 3D-TOF 显示左侧大脑中动脉完全闭塞。

案例讨论
早期超急性大脑中动脉 (MCA) 区域梗死的 MRI 特征。

大脑中动脉区域是脑梗塞中最常受累的区域,由于区域的大小以及从颈内动脉直接流入大脑中动脉,为血栓栓塞提供了最容易的路径。

临床表现
神经功能缺损将取决于梗塞的程度和半球优势,包括:

对侧偏瘫
对侧半感觉丧失
偏盲
失语症:如果涉及优势半球;可能在前 MCA 区域梗塞中表达,在后 MCA 中风中易接受,或广泛梗塞的整体
忽视:非优势半球

放射学特征
一般来说,这些特征是脑梗塞的特征,类似于在任何其他领域看到的特征。因此,在通用文章中讨论了这些特征:脑梗塞。

然而,大脑中动脉梗塞有一些特定的特征,这些将在下面讨论。 对于 CT 和 MRI,根据时间进程划分特征是值得的。

还应注意的是,大脑中动脉梗死通常是不完全的,仅影响穿支分支或一个或多个远端分支。 因此,在许多情况下,只有部分大脑中动脉区域受到影响。
您需要登录后才可以回帖 登录 | 注册

本版积分规则

丁香叶与你快乐分享

微信公众号

管理员微信

服务时间:8:30-21:30

站长微信/QQ

← 微信/微信群

← QQ

Copyright © 2013-2026 丁香叶 Powered by dxye.com  手机版 
快速回复 返回列表 返回顶部