仿气腹25孔3单端腔镜训练箱训练用单针/双针带线【出售】-->外科训练模块总目录
「训练教具器械汇总」管理员微信/QQ12087382[问题反馈]
开启左侧

[病历讨论] ICA 终末囊状动脉瘤压迫 III 颅神经

[复制链接]
发表于 2021-7-27 00:30:00 | 显示全部楼层 |阅读模式

马上注册,结交更多好友,享用更多功能,让你轻松玩转社区。

您需要 登录 才可以下载或查看,没有账号?注册

×
介绍
右侧 III CN 麻痹。

患者数据
年龄:45 岁
性别:男

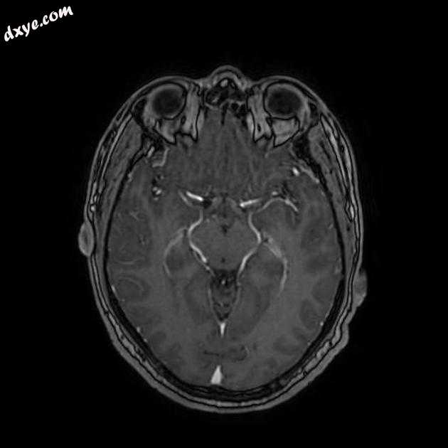
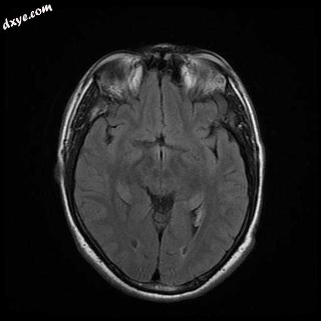
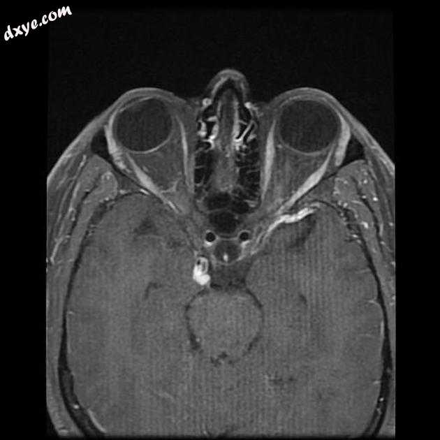
MRI
1.jpeg
Axial T1

2.jpeg
Axial FLAIR

3.jpeg
Coronal T2

4.jpeg
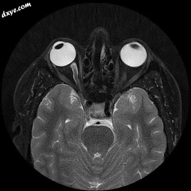
Axial FIESTA

5.jpeg
Axial T2 fat sat

6.jpeg
Coronal T2 fat sat

7.jpeg
Axial T1 fat sat

8.jpeg
Axial T1 C+

9.jpeg
Coronal T1 C+

10.jpeg
Axial T1 C+ fat sat

11.jpeg
Sagittal T1 C+

12.jpeg
Coronal T1 C+ fat sat

13.jpeg
MRA 3D-TOF

MRI 序列显示右侧颈内动脉的部分血栓囊状动脉瘤位于 C6/7 节段的交界处,大小为 11 x 7 毫米,颈部为 2.5 毫米,压迫动眼神经 (III) 的相邻节段,在 T1 上清晰可见和 FIESTA 序列。

案例讨论
位于 C6/7 交界处的右侧颈内动脉部分血栓囊状动脉瘤的 MRI 特征,压迫同侧动眼神经 (III)。

囊状脑动脉瘤,也称为浆果动脉瘤,是具有特征性圆形形状的颅内动脉瘤。它们占颅内动脉瘤的绝大多数并且是非创伤性蛛网膜下腔出血的最常见原因。

术语
最大尺寸大于25mm的称为巨大脑动脉瘤。

Charcot-Bouchard 动脉瘤是由慢性高血压引起的微小动脉瘤,最常见于基底神经节和其他区域,如丘脑、脑桥和小脑,那里有小的穿透血管(直径 <300 微米)。

流行病学
血管造影检查发现无症状的一般人群中囊状脑动脉瘤的患病率范围很广(0.2-8.9%),并且在这些患者中的 15-30% 中发现多发性动脉瘤。

动脉瘤的家族性倾向也得到了很好的认可,有不止一个一级亲属受累的患者,自己患动脉瘤的几率约为 30%(17-44%)。
您需要登录后才可以回帖 登录 | 注册

本版积分规则

丁香叶与你快乐分享

微信公众号

管理员微信

服务时间:8:30-21:30

站长微信/QQ

← 微信/微信群

← QQ

Copyright © 2013-2026 丁香叶 Powered by dxye.com  手机版 
快速回复 返回列表 返回顶部