仿气腹25孔3单端腔镜训练箱训练用单针/双针带线【出售】-->外科训练模块总目录
「训练教具器械汇总」管理员微信/QQ12087382[问题反馈]
开启左侧

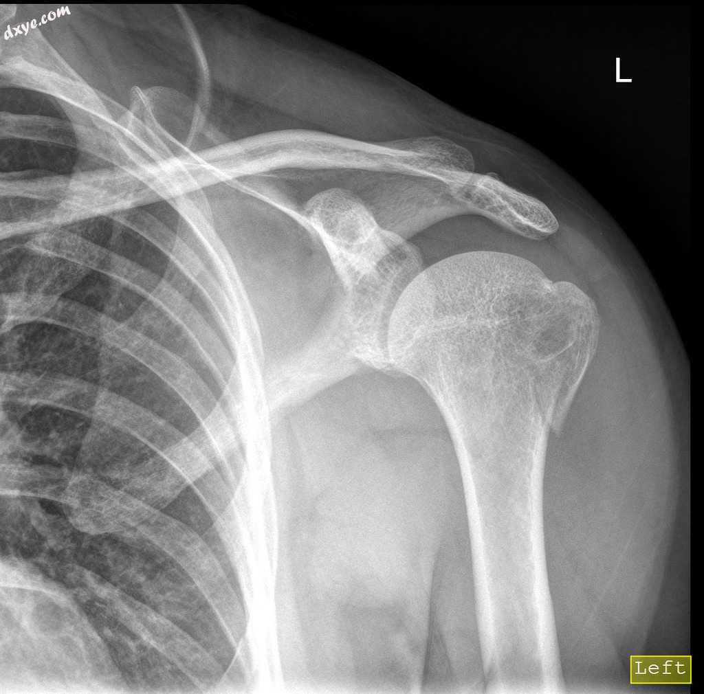
肱骨大结节骨折

[复制链接]
发表于 2021-1-28 09:00:03 | 显示全部楼层 |阅读模式

马上注册,结交更多好友,享用更多功能,让你轻松玩转社区。

您需要 登录 才可以下载或查看,没有账号?注册

×
介绍
跌倒,左肩压痛,肩部运动受限引起的左肩创伤史。

患者资料
年龄:50岁
性别:男

X线
1.jpeg
正位
左肱骨大结节骨折。

未见脱位。

案例讨论

肱骨大结节是三块肌肉连接的地方,所以这里的骨折限制了肩关节的稳定性和运动。

这种骨折通常发生在外伤、车祸、跌倒和肩关节脱臼。

这个病人接受保守治疗。
您需要登录后才可以回帖 登录 | 注册

本版积分规则

丁香叶与你快乐分享

微信公众号

管理员微信

服务时间:8:30-21:30

站长微信/QQ

← 微信/微信群

← QQ

Copyright © 2013-2026 丁香叶 Powered by dxye.com  手机版 
快速回复 返回列表 返回顶部