仿气腹25孔3单端腔镜训练箱训练用单针/双针带线【出售】-->外科训练模块总目录
「训练教具器械汇总」管理员微信/QQ12087382[问题反馈]
开启左侧

肥胖患者在脊髓麻醉下成功行经阴道自然腔道内镜手术(V-NOTES)子宫切除术

[复制链接]
发表于 6 天前 | 显示全部楼层 |阅读模式

马上注册,结交更多好友,享用更多功能,让你轻松玩转社区。

您需要 登录 才可以下载或查看,没有账号?注册

×
患者46岁,经产1+2,曾有一次足月顺产史。她曾有一次妊娠早期流产史,并因异位妊娠行右侧输卵管切除术。此次因急迫性尿失禁和慢性便秘就诊于拉蒂法医院泌尿妇科门诊。

体格检查显示,患者体重指数(BMI)为30 kg/m²,子宫脱垂2级,直肠膨出2级。尿动力学检查未见逼尿肌过度活动,也未见压力性尿失禁(图1、2)。盆腔超声检查除发现一小块肌壁间肌瘤外,其余均在正常范围内(图3)。排粪造影显示盆底脱垂、肛门黏膜套叠和直肠前膨出(图4)。她最初接受了保守治疗,但症状持续存在,影响了生活质量;因此,她被认为适合接受经阴道自然腔道子宫切除术(V-NOTES),同时进行阴道前后壁修补和使用骶韧带进行高位腹膜内阴道固定术。

图1. 尿流率检查结果。
1.jpg

图2. 尿动力学检查,右侧为充盈期,左侧为排尿期。
2.jpg

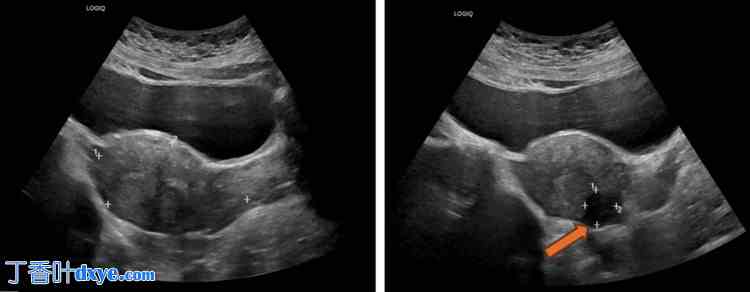
图3. 盆腔超声显示子宫后壁壁内肌瘤,大小为1.9 × 1.7 cm。
3.jpg

图4. 排粪造影显示盆底脱垂、肛门黏膜套叠和直肠前膨出。
4.jpg

术前麻醉评估根据美国麻醉医师协会 (ASA) 分级标准  将其归为 2 级;患者表示倾向于选择椎管内麻醉 (SA)。术中,为延长术后镇痛时间,给予患者布比卡因 11 mg 与吗啡 0.1 mg 混合液进行椎管内麻醉。15 分钟后,给予患者咪达唑仑 1 mg 进行镇静。手术历时约 3 小时。手术在低腹腔二氧化碳充气压力(8-12 mmHg)和最小 10 度头低脚高位 (Trendelenburg) 下进行。患者在整个手术过程中生命体征稳定(图 5),平均动脉压高于 65 mmHg,总失血量为 400 cc。

图 5. 术中麻醉记录。
5.jpg

患者术后疼痛轻微,术后数小时内即可下床活动。她没有出现恶心呕吐,拔除导尿管后排尿正常,术后第二天肠道功能恢复正常。术后第二天出院,并给予口服镇痛药。
您需要登录后才可以回帖 登录 | 注册

本版积分规则

丁香叶与你快乐分享

微信公众号

管理员微信

服务时间:8:30-21:30

站长微信/QQ

← 微信/微信群

← QQ

Copyright © 2013-2026 丁香叶 Powered by dxye.com  手机版 
快速回复 返回列表 返回顶部