仿气腹25孔3单端腔镜训练箱训练用单针/双针带线【出售】-->外科训练模块总目录
「训练教具器械汇总」管理员微信/QQ12087382[问题反馈]
开启左侧

择期腹腔镜辅助修补术成功治疗阴道残端裂开合并腹膜炎:病例报告

[复制链接]
发表于 6 天前 | 显示全部楼层 |阅读模式

马上注册,结交更多好友,享用更多功能,让你轻松玩转社区。

您需要 登录 才可以下载或查看,没有账号?注册

×
一名39岁女性(孕3产2,2次阴道分娩,1次人工流产)。既往无相关病史,因痤疮服用低剂量口服避孕药。因宫颈活检发现恶性肿瘤,行宫颈锥切术,术后病理检查确诊为宫颈上皮内腺癌。同时行腹腔镜下全子宫切除术(TLH)。术中发现回盲部及腹壁有索状粘连,予以分离;其他部位未见粘连。子宫及附件未见明显异常。

术中采用超声凝固装置,通过阴道内导管提起阴道前穹窿及后穹窿,切开阴道残端。阴道残端采用2-0多股合成可吸收缝线进行两层连续缝合(仅缝合阴道壁,不包括腹膜)(图1)。

图1. 阴道残端(首次手术)。
1.jpg

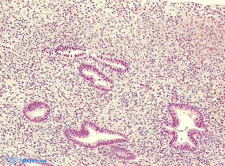
缝合后,在阴道残端涂抹局部止血剂和防粘连膜。手术历时2小时48分钟,出血量极少,无法量化。术后恢复顺利,患者于术后第四天出院。出院前未见阴道残端异常。根据切除标本,最终诊断为宫颈上皮内腺癌和高级别宫颈上皮内瘤变。由于切缘阴性,患者无需额外治疗,仅进行门诊随访(图2)。

图2. 子宫切除标本的组织病理学检查结果。
2.jpg

患者术后初期恢复顺利。然而,她仍患有与术前相同的慢性便秘,并自行解除了性生活限制。术后第115天,她出现腹痛。检查发现阴道残端裂开2厘米,伴有脓肿流出,且可通过裂开处观察到腹腔内的肠蠕动(图3)。

图3. 阴道残端裂开情况。
3.jpg

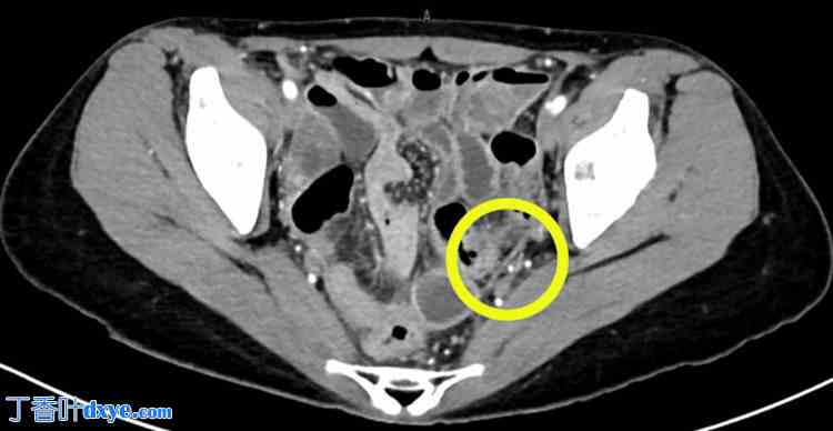
血液检查显示白细胞计数(14,500/μL)和C反应蛋白水平(19.02 mg/dL)显著升高。计算机断层扫描(CT)显示盆腔腹膜轻度增厚,诊断为腹膜炎(图4)。

图4. 盆腔增强CT扫描。
4.jpg

患者在接受全子宫切除术(TLH)后被诊断为阴道阴道炎(VCD)。初始治疗包括抗生素治疗,感染控制后进行再次缝合。入院当天开始经验性给予头孢美唑(2 g/天),疗程7天,阴道培养结果显示为化脓性链球菌。在确认实验室检查结果改善且腹膜刺激症状消退后,于入院第8天行腹腔镜辅助经阴道阴道缝合术。术中,小肠覆盖于阴道残端,并观察到部分阴道残端(黄色箭头)与小肠(浅蓝色箭头)之间存在粘连(图5)。

图5. 阴道残端粘连。
5.jpg

将装满纱布的手术手套置于阴道内,以防止气腹气体从阴道侧泄漏,并分离周围组织以暴露裂开区域(图6)。

图6. 粘连松解后。
6.jpg

对阴道残端的脆弱组织进行清创。清创后,用生理盐水充分冲洗周围区域。随后,在腹腔镜引导下经阴道缝合伤口(图 7-9)。首先,在腹腔镜的引导下,经阴道缝合阴道壁。然后,从腹腔侧缝合腹膜,形成双层缝合。

图 7. 阴道壁缝合后。
7.jpg

图 8. 腹膜缝合过程中。
8.jpg

图 9. 腹膜缝合后。
9.jpg

由于院仅有 2-0 号含抗生素的合成可吸收多股缝线,因此使用了这种缝线。患者术后恢复顺利,于术后第 8 天出院(图 10)。

图 10. 术后阴道镜检查结果。
10.jpg

第二次手术后三个月,未观察到复发。作者计划继续密切监测患者,观察是否有复发迹象。作者已嘱咐患者避免性生活。
您需要登录后才可以回帖 登录 | 注册

本版积分规则

丁香叶与你快乐分享

微信公众号

管理员微信

服务时间:8:30-21:30

站长微信/QQ

← 微信/微信群

← QQ

Copyright © 2013-2026 丁香叶 Powered by dxye.com  手机版 
快速回复 返回列表 返回顶部