仿气腹25孔3单端腔镜训练箱训练用单针/双针带线【出售】-->外科训练模块总目录
「训练教具器械汇总」管理员微信/QQ12087382[问题反馈]
开启左侧

双侧阔韧带乳头状囊腺瘤:Von Hippel-Lindau病的一种表现:病例报告

[复制链接]
发表于 6 天前 | 显示全部楼层 |阅读模式

马上注册,结交更多好友,享用更多功能,让你轻松玩转社区。

您需要 登录 才可以下载或查看,没有账号?注册

×
一名62岁的突尼斯阿拉伯裔绝经后女性,于2021年被诊断患有冯·希佩尔-林道综合征(Von Hippel-Lindau disease),并出现多种与该疾病相关的症状。她曾多次接受手术,主要针对肾脏、肾上腺和胰腺肿瘤,并偶然发现卵巢肿块。

该患者妇科无症状,但在接受脑部手术前主要主诉头痛。她无重大家族史或社会心理史。

她的手术史包括:

2021年:左侧岩骨内淋巴囊出现无法手术切除的肿瘤(6厘米),采用放射治疗。

2021年:左侧肾上腺切除术,切除6厘米嗜铬细胞瘤。病理检查证实为嗜铬细胞瘤。

2021年:左肾切除术,切除破裂的左肾肿瘤。显微镜检查显示多灶性透明细胞肾癌,核分级为2级。

2022年:因胰腺肿块行胰十二指肠切除术。组织学检查证实为三个浆液性囊腺瘤和两个高分化神经内分泌肿瘤。

2021年1月,术后行腹盆部CT扫描随访时,意外发现左侧附件区有一个4厘米的实性囊性肿块,高度怀疑为恶性肿瘤。经阴道超声和盆腔MRI检查证实该肿块为恶性肿瘤,根据卵巢附件报告和数据系统(O-RADS)分类为5级(高度怀疑恶性肿瘤)(图1)。

图 1.
1.jpg

腹盆部磁共振成像显示左侧卵巢实性囊性肿块,根据卵巢附件报告和数据系统 (OARDS) 分类为 5 级。

行左侧附件切除术的同时进行了细胞学检查,并将标本送检冰冻切片。结果不确定,提示可能为交界性肿瘤或冯·希佩尔-林道综合征特异性肿瘤。考虑到患者已绝经,遂行右侧附件切除术和全子宫切除术(图 2)。

图2.
2.jpg

光滑囊性肿块,起源于右侧输卵管系膜

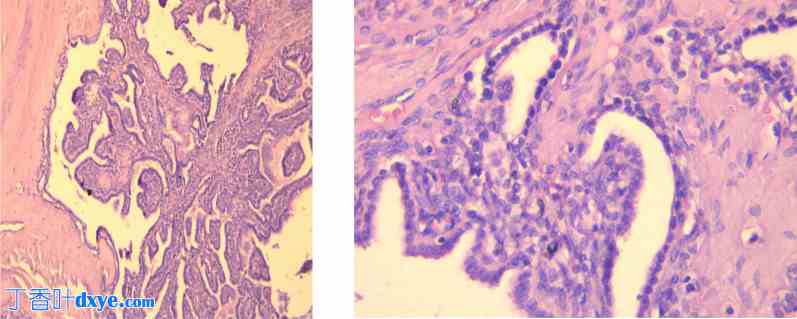
组织学检查显示双侧输卵管和阔韧带透明细胞乳头状囊腺瘤,符合冯·希佩尔-林道综合征的特征(右侧0.5厘米,左侧4厘米)。肿瘤由紧密排列的乳头组成,乳头内含纤维核心,表面覆盖单层上皮(图3)。

图3.
3.jpg

显微镜检查显示囊性肿瘤伴有乳头状突起。肿瘤乳头内衬单层立方至柱状上皮细胞,细胞核呈单形卵圆形,胞质透明。
您需要登录后才可以回帖 登录 | 注册

本版积分规则

丁香叶与你快乐分享

微信公众号

管理员微信

服务时间:8:30-21:30

站长微信/QQ

← 微信/微信群

← QQ

Copyright © 2013-2026 丁香叶 Powered by dxye.com  手机版 
快速回复 返回列表 返回顶部