仿气腹25孔3单端腔镜训练箱训练用单针/双针带线【出售】-->外科训练模块总目录
「训练教具器械汇总」管理员微信/QQ12087382[问题反馈]
开启左侧

伴有髂结肠瘘的真菌性髂内动脉瘤破裂的多学科治疗:病例报告

[复制链接]
发表于 2026-1-3 16:37:51 | 显示全部楼层 |阅读模式

马上注册,结交更多好友,享用更多功能,让你轻松玩转社区。

您需要 登录 才可以下载或查看,没有账号?注册

×
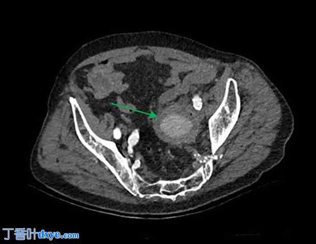
2024年8月初,患者因严重下消化道出血导致休克,入院急诊科。初步影像学检查,包括腹部CTA,显示左侧髂内动脉瘤显著增大,直径达61 mm(图1),并可见动脉瘤与乙状结肠之间存在瘘管,该瘘管被认为是消化道出血的来源。由于动脉瘤囊内有气体,且邻近区域有积液,提示存在感染,因此怀疑该动脉瘤为真菌性。此外,还发现左侧输尿管受压,导致尿流受阻。

图1.
1.jpg

计算机断层扫描血管造影显示髂内动脉瘤,最大直径为61 mm(绿色箭头)。

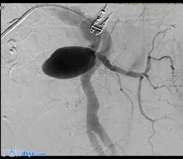
紧急干预

入院当日,患者接受了破裂动脉瘤的紧急封堵术,该动脉瘤已形成瘘管通向乙状结肠。手术包括对所有髂内动脉分支进行弹簧圈栓塞,并从左侧髂总动脉到髂外动脉植入支架(图2、3)。栓塞术成功控制了出血,并使患者的血流动力学稳定。两天后进行的乙状结肠镜检查显示,动脉瘤导致降结肠(距肛门15-18厘米处)受到外部压迫。观察到三处被血凝块覆盖的溃疡,其中两处有瘘口。最大的瘘口距肛门13厘米,伴有融合性溃疡,因此无法进行内镜下闭合。 2020 年乙状结肠切除术后的结直肠吻合口位于距肛缘 10 cm 处,外观完整,且位于最低溃疡下方。

图 2.
2.jpg

介入治疗前血管造影图像显示髂内动脉瘤。

图 3.
3.jpg

介入治疗后血管造影显示手术结果:支架移植物(绿色箭头)从左侧髂总动脉延伸至髂外动脉,以及髂内动脉的弹簧圈栓塞(蓝色箭头)。

几天后,患者接受了开腹手术,切除瘘管并控制动脉瘤。手术包括术前放置双J管以更好地识别输尿管,随后进行剖腹探查、粘连松解和左侧输尿管分离。显露左侧髂总动脉和髂外动脉后,行Hartmann手术,切除原吻合口下方的直肠乙状结肠,并进行末端结肠造口术(图4)。通过切除结肠打开瘘管,随后切除并清创充满脓液和粪便成分的髂内动脉瘤。此外,进一步显露并夹闭髂总动脉和髂外动脉。完整切除髂动脉干,包括支架移植物。清除血栓物质,并对动脉瘤囊进行彻底清创和冲洗。医生自制了一段7厘米长的牛心包管状移植物,用于重建左髂动脉轴,连接近端髂总动脉和髂外动脉中段(图5-7)。行直肠镜检查并冲洗直肠残端。制作大网膜补片覆盖移植物,分隔左侧输尿管,并覆盖盆腔和直肠残端。放置两根引流管以便冲洗。

图4
4.jpg

切除的结肠段显示瘘口。

图5
5.jpg

使用心包补片制作血管假体。

图6
6.jpg

术中视图显示已打开的动脉瘤(由钳子指示)。输尿管以黄色环状标记,髂外动脉以红色环状标记。

图 7.
7.jpg

最终重建结果。红色箭头指示用心包补片重建的髂动脉轴,黄色箭头指示输尿管。
您需要登录后才可以回帖 登录 | 注册

本版积分规则

丁香叶与你快乐分享

微信公众号

管理员微信

服务时间:8:30-21:30

站长微信/QQ

← 微信/微信群

← QQ

Copyright © 2013-2026 丁香叶 Powered by dxye.com  手机版 
快速回复 返回列表 返回顶部