仿气腹25孔3单端腔镜训练箱训练用单针/双针带线【出售】-->外科训练模块总目录
「训练教具器械汇总」管理员微信/QQ12087382[问题反馈]
开启左侧

隐形入侵者:一例慢性右侧腹股沟阴囊疝合并无症状阑尾的病例

[复制链接]
发表于 前天 16:32 | 显示全部楼层 |阅读模式

马上注册,结交更多好友,享用更多功能,让你轻松玩转社区。

您需要 登录 才可以下载或查看,没有账号?注册

×
一位60岁男性患者因右侧腹股沟阴囊区域肿胀18年就诊于印度一家三级医院的门诊部。患者自述肿胀起初隐匿,并随着时间推移逐渐增大。他补充说,咳嗽、行走和提重物时肿胀会加重,而躺下时则会减轻。尽管肿胀已持续多年,但该患者并无疼痛感。患者既往无恶心呕吐、头部外伤、腹痛、发热或近期体重下降史。患者自述尿频,但无其他肠道或膀胱不适。既往病史中未发现高血压、糖尿病、支气管哮喘、肺结核、癫痫或冠状动脉疾病等病史。

一般检查显示,患者体温正常,脉搏80次/分,血压140/90 mmHg,呼吸频率18次/分。系统检查未见异常。呼吸系统和心血管系统均正常,中枢神经系统检查显示患者意识清醒。局部检查发现右侧腹股沟阴囊区有一大小约15×8 cm的肿块。该肿块咳嗽冲击试验阳性,可复位。肿块内可见蠕动。未见局部发热、压痛或其他腹股沟异常。超声检查诊断疝囊内容物为大网膜。随后,患者被送入手术室行开放手术。经仔细分离后,切开探查,发现疝囊。与超声检查结果相反,阑尾被发现位于疝囊内,证实了罕见的Amyand氏疝(如图1所示)。

图1. 阑尾被发现位于疝囊内。
1.jpg

如图中黄色箭头所示,阑尾位于右侧腹股沟阴囊区域的疝囊内。

手术过程中,阑尾切除术与Amyand氏疝修补术同时进行。确认疝囊已正确打开后,识别并分离了位于疝囊内的阑尾。采用标准手术技术,识别阑尾系膜,然后仔细结扎阑尾动脉以防止进一步出血。随后结扎并切断阑尾,以最大程度地降低肠腔内容物溢出的风险。如图 2 所示,使用可吸收缝线仔细结扎阑尾根部,然后将其内翻至盲肠内,以实现结构紧密闭合。

图 2. 使用可吸收缝线结扎的阑尾根部。
2.jpg

使用可吸收缝线仔细结扎阑尾根部(白色箭头所示)。

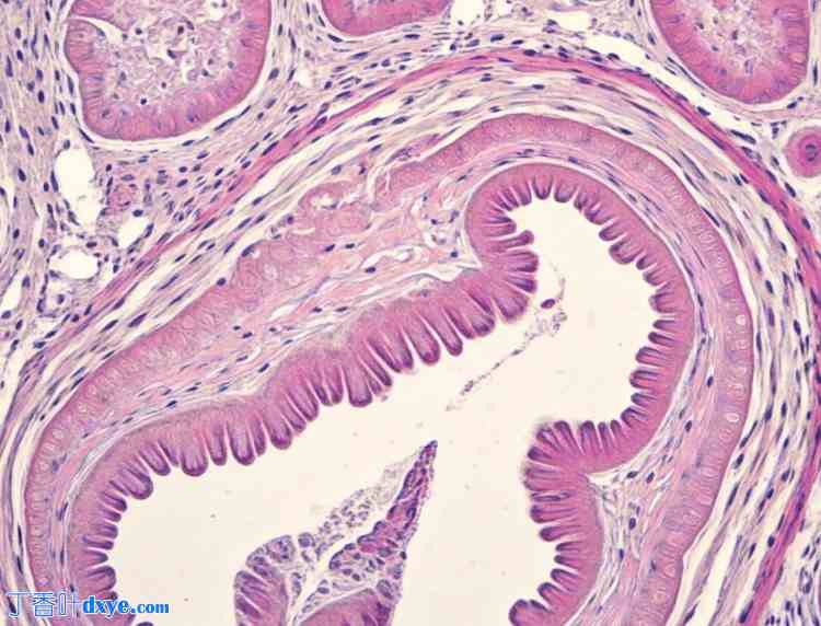
随后取出部分阑尾组织,送检进行组织病理学分析。图 3 显示了阑尾的组织病理学图像,证实了 Amyand 疝的诊断。本病例中切除的阑尾的组织病理学图像显示阑尾完整。组织学检查显示阑尾结构完整,黏膜、黏膜下层、固有肌层和浆膜均正常。未观察到急性炎症、溃疡或穿孔,表明无阑尾炎。此外,未见中性粒细胞浸润、脓细胞或其他病理改变,这强调了阑尾在临床上无症状。观察到阑尾髓质血管通透性轻度增高伴充血,以及周围结缔组织水肿,这归因于疝囊内的机械压迫。邻近组织表现出慢性炎症的特征,与疝的长期存在相符。这些检查结果明确了Amyand疝的诊断,且阑尾无症状。

图3. 阑尾组织病理学图像,证实Amyand疝的诊断。
3.jpg

显微镜下观察到的完整阑尾组织病理学图像,显示正常的黏膜层、黏膜下层、固有肌层和浆膜层。
您需要登录后才可以回帖 登录 | 注册

本版积分规则

丁香叶与你快乐分享

微信公众号

管理员微信

服务时间:8:30-21:30

站长微信/QQ

← 微信/微信群

← QQ

Copyright © 2013-2025 丁香叶 Powered by dxye.com  手机版 
快速回复 返回列表 返回顶部