仿气腹25孔3单端腔镜训练箱训练用单针/双针带线【出售】-->外科训练模块总目录
「训练教具器械汇总」管理员微信/QQ12087382[问题反馈]
开启左侧

采用对侧3D Max网片进行腹腔镜经腹膜前修补术治疗膀胱经闭孔疝:病例报告

[复制链接]
发表于 前天 16:16 | 显示全部楼层 |阅读模式

马上注册,结交更多好友,享用更多功能,让你轻松玩转社区。

您需要 登录 才可以下载或查看,没有账号?注册

×
一名74岁女性被诊断为闭孔膀胱疝,并转诊至我科行手术治疗。该患者最初因便血入院,被诊断为缺血性结肠炎。诊断时进行的CT检查意外发现小肠闭孔疝(图1)。次日复查CT显示膀胱经闭孔疝出(图2)。因此,她随后被转诊至院进行进一步评估和治疗。她的缺血性结肠炎经保守治疗后痊愈。患者身高151.7 cm,体重45.3 kg,BMI为19.7。她没有与闭孔膀胱疝相关的症状。既往病史包括子宫肌瘤和阑尾炎,分别接受了腹腔镜下子宫肌瘤切除术和阑尾切除术。她不吸烟,偶尔饮酒。院CT检查证实膀胱经闭孔疝出,确诊为闭孔膀胱疝(图3)。在详细解释病情及相关风险后,患者同意接受手术治疗。

图1. 转诊医院的初始CT扫描。箭头:小肠经闭孔疝出。
1.jpg

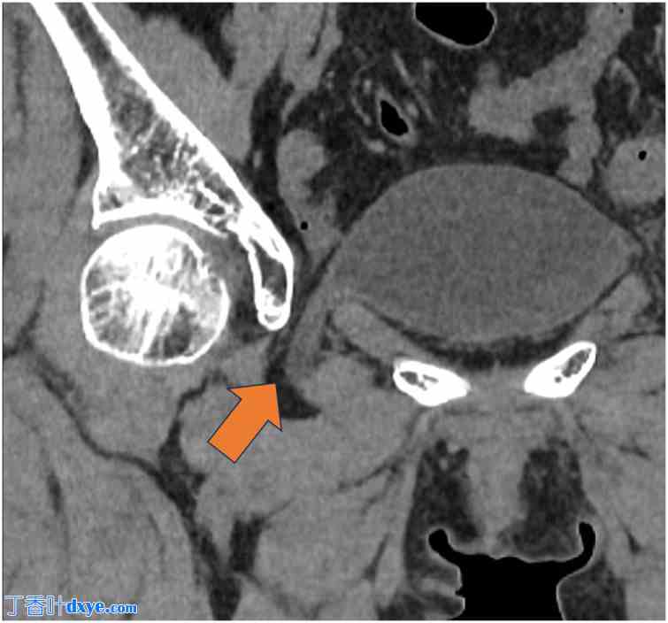
图2. 次日转诊医院的CT扫描。箭头:膀胱经闭孔疝出。
2.jpg

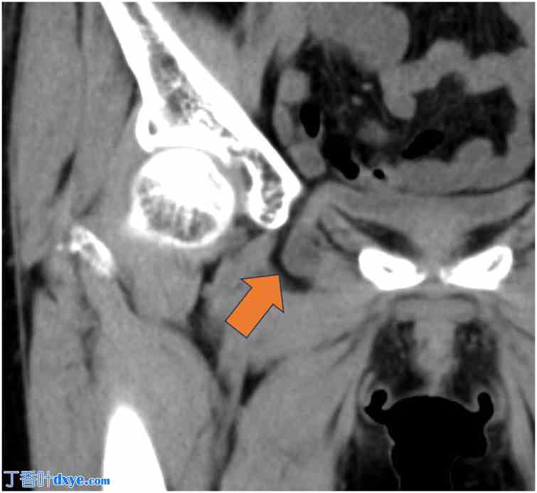
图3. 院的CT扫描。箭头:膀胱经闭孔疝出。
3.jpg

患者接受了经腹腔镜下经腹膜前入路(TAPP)的闭孔疝修补术。在脐部植入一个12mm的摄像头端口,并在双侧腰部各植入一个5mm的端口。由于既往阑尾切除术,右下腹存在致密粘连,遮挡了右侧端口的预定位置。需要长时间仔细分离才能分离粘连。观察到右侧闭孔疝,缺损大小为1×1cm,疝囊内空间足以容纳手术器械(图4)。同时观察到左侧闭孔疝,缺损大小为1.5×1.5cm,但未观察到其他疝孔。从右侧腹股沟内环外侧切开腹膜至腹壁下动脉内侧。随后,从腹壁下动脉内侧分离至膀胱前间隙(Retzius间隙),并进一步分离同一解剖平面(图5)。闭孔神经和血管得以保留,膀胱已成功从闭孔复位至腹腔。广泛分离腹膜后,植入左侧3D MAX MID解剖网片(L号;Bard公司;美国罗德岛州沃里克市)。将左侧网片绕其中轴旋转180°,凸面朝向腹壁,以达到最佳解剖贴合效果(图6和图7)。左侧以类似方式植入右侧网片进行修补,两侧腹膜均缝合关闭,手术完成。手术时间为148分钟,估计出血量为10毫升。术后恢复顺利,患者于术后第3天出院。短期随访未见并发症。

图4. 从腹腔内观察到的右侧闭孔疝。箭头:闭孔。
4.jpg

图 5. 膀胱经右侧闭孔疝出。
5.jpg

图 6. 本技术示意图。
6.jpg

图 7. 网片植入后的手术视野。箭头:闭孔。箭头:库珀韧带。
7.jpg
您需要登录后才可以回帖 登录 | 注册

本版积分规则

丁香叶与你快乐分享

微信公众号

管理员微信

服务时间:8:30-21:30

站长微信/QQ

← 微信/微信群

← QQ

Copyright © 2013-2025 丁香叶 Powered by dxye.com  手机版 
快速回复 返回列表 返回顶部