仿气腹25孔3单端腔镜训练箱训练用单针/双针带线【出售】-->外科训练模块总目录
「训练教具器械汇总」管理员微信/QQ12087382[问题反馈]
开启左侧

采用扩大经腹腔镜腹膜前入路技术修补输尿管闭孔疝:病例报告

[复制链接]
发表于 前天 16:12 | 显示全部楼层 |阅读模式

马上注册,结交更多好友,享用更多功能,让你轻松玩转社区。

您需要 登录 才可以下载或查看,没有账号?注册

×
一位79岁、体型偏瘦的德国女性因右侧腰痛就诊,疼痛已持续数周,前一天晚上加剧。她自述疼痛与活动和体位相关,此前曾被诊断为腰椎综合征。她否认有排尿困难、尿急、血尿、尿频、大便不规律、发热或寒战等症状。既往病史包括II型糖尿病、肝肾囊肿、慢性阻塞性肺疾病(COPD)和无症状性胆囊结石,但无腹部手术史。体格检查发现右下腹和中腹疼痛,无腹膜刺激征,未触及疝或腹壁膨出。此外,肾区未见隆起或压痛。实验室检查显示轻度白细胞增多(12.8 Gpt/L)和C反应蛋白(CRP,18 mg/L),但血常规、电解质、肾功能指标、转氨酶和尿液检查结果均正常。腹部超声显示右肾I级尿潴留。计算机断层扫描(CT)初步提示右侧膀胱憩室位于闭孔疝区域。然而,后续的泌尿系统影像学检查显示输尿管远端疝入右侧闭孔管,输尿管扭曲导致I级肾积水(图1)。患者入院接受止痛治疗。由于随访实验室检查显示肾功能正常,肠道功能也未受损,因此无需立即干预。疼痛缓解后,患者于3天后出院。

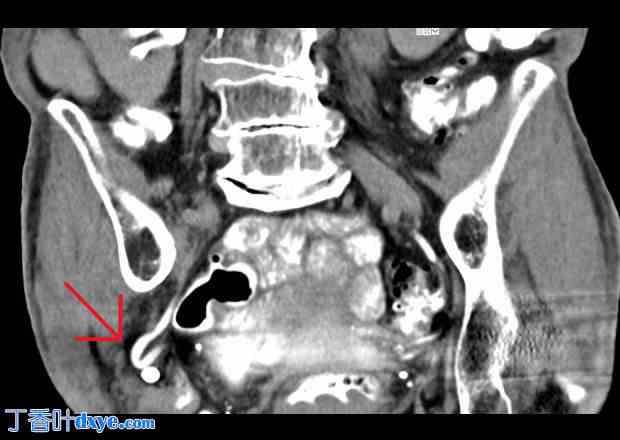
图1
1.jpg

CT扫描显示右侧输尿管疝入右侧闭孔管,并导致输尿管扭曲(红色箭头)。

两周后,患者接受了择期手术。再次入院时,患者情况良好,肾功能指标正常。手术时,患者取仰卧位,在脐旁做切口后,插入一个10mm套管针。另在右侧(10mm套管针)和左侧(5mm套管针)旁正中放置两个操作孔。术中插入导尿管,并用生理盐水部分充盈膀胱。第一步是从髂前上棘至腹壁下动脉切开腹膜。腹腔镜下追踪输尿管,从髂动脉向下追踪至其疝入闭孔处(图2)。精确分离右侧输尿管,直至将其从闭孔疝中释放出来。接下来,仔细追踪输尿管至膀胱三角区。输尿管松解术后,盆腔内有足够的脂肪组织保护输尿管,防止其粘连和与网片直接接触。此外,术中意外发现股疝(图 3)。最终,植入一块 ProGrip Mesh®(10×15 cm),其位置比腹股沟疝修补术中通常放置的位置更靠尾侧;因此,它覆盖了闭孔疝和股疝(图 4)。由于该自粘网片的钩子朝向腹侧疝侧,因此无需额外固定。随后,使用 Polysorb 3/0 单向连续可吸收缝线缝合腹膜,以防止与肠道粘连。

图 2.
2.jpg

右侧输尿管(黑色箭头)疝入闭孔管。

图 3.
3.jpg

意外发现的股疝(红色箭头)。

图 4.
4.jpg

用于覆盖闭孔和股疝的网片。
您需要登录后才可以回帖 登录 | 注册

本版积分规则

丁香叶与你快乐分享

微信公众号

管理员微信

服务时间:8:30-21:30

站长微信/QQ

← 微信/微信群

← QQ

Copyright © 2013-2025 丁香叶 Powered by dxye.com  手机版 
快速回复 返回列表 返回顶部