仿气腹25孔3单端腔镜训练箱训练用单针/双针带线【出售】-->外科训练模块总目录
「训练教具器械汇总」管理员微信/QQ12087382[问题反馈]
开启左侧

紧急修补巨大双侧腹股沟阴囊疝的关键考虑因素

[复制链接]
发表于 6 天前 | 显示全部楼层 |阅读模式

马上注册,结交更多好友,享用更多功能,让你轻松玩转社区。

您需要 登录 才可以下载或查看,没有账号?注册

×
一位87岁男性患者,主诉右侧阴囊剧烈疼痛伴呕吐8小时,无腹痛。症状出现前一天,他最后一次排便。该患者此前已在普通外科就诊,患有长期存在的双侧巨大腹股沟阴囊疝(图1),症状轻微,但已由一位持有执业资格的普通外科医生和一位麻醉科顾问评估后,认为其不适合手术

图1. 术前临床图像,患者仰卧位。
1.jpg
该患者既往病史包括:重度慢性阻塞性肺疾病(COPD),第一秒用力呼气容积(FEV1)占预计值的31%;慢性肾脏病;需接受放射治疗的皮肤鳞状细胞癌;高血压;以及胃食管反流病。他曾是重度吸烟者,有酗酒史,但无肝硬化。该患者居住在提供辅助生活服务的养老社区,虽然能够独立活动,但运动耐力较差,仅能跑10米。

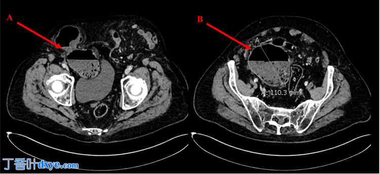
入院时,炎症指标正常,乳酸水平为1.4 mmol/L。双侧腹股沟疝无法复位,右侧疝囊急性红肿并伴有触痛。腹部增强CT扫描显示右侧疝囊内可见部分强化不明显的盲肠,并伴有少量游离液体,临床上考虑有肠绞窄的可能(图2)。基于肠道受压的怀疑,在患者签署知情同意书后,建议其接受急诊手术,并明确告知手术存在显著风险;这些风险主要与其术前合并症有关。

图2. 盆腔增强CT轴位图像。图中显示双侧腹股沟疝较大。
2.jpg
标签 A 显示远端降结肠和盲肠通过挤压性直接缺损疝入疝囊。标签 B 显示盲肠扩张至 11 cm,伴有粪便排出和少量周围游离液体。

安排了急诊手术,患者取仰卧位,并留置鼻胃管和尿管。行正中剖腹探查术,发现右侧疝内存在盲肠扭转,并伴有斑片状缺血(图 3)。鉴于上述发现,在未发生穿孔或腹膜腔明显污染的情况下,行标准右半结肠切除术,并采用吻合器进行端侧回结肠吻合。此外,患者在整个手术过程中心肺功能保持稳定。鉴于这些有利因素以及网片加固在预防复发方面的固有优势,决定采用网片进行双侧Rives-Stoppa腹股沟疝修补术。同时行大网膜全切除术以弥补疝内容物的丢失。

图3. 盲肠受损,右侧腹股沟疝囊内可见斑片状缺血。
3.jpg
肠切除术后,尤其是在肠缺血的情况下,使用网片进行疝修补需要谨慎考虑。虽然由于感染风险,通常在污染区域避免使用网片,但本病例面临着独特的挑战。考虑到患者麻醉风险较高,且需要避免未来再次进行大型手术,因此认为彻底的疝修补术对于最大限度减少复发至关重要。

解剖腹膜前间隙,包括耻骨后间隙(Retzius间隙)和腹股沟后间隙(Bogros间隙),以建立腹膜前间隙,从而为双侧肌耻骨孔提供手术入路;同时,在其上方明确了腹直肌后间隙。将剩余的疝内容物复位至腹腔内,由于睾丸未受损,因此无需行睾丸切除术。将精索结构壁层化以实现无张力修补;用3/0 Vicryl缝线缝合与疝相关的腹膜缺损,用1/0聚二氧六环酮(PDS)缝线缝合腹直肌后鞘。根据Stoppa技术,使用30×30 cm(宽×长)的Prolene网片,呈V形加固腹股沟阴囊疝,进行巨大的脏器囊加固(GPRVS)。网片覆盖肌耻骨孔和下腹前壁;用Tisseel线将其固定于耻骨结节和腹直肌后鞘。在耻骨后间隙放置两根19Fr引流管(图4)。用1/0 PDS缝线将腹直肌前鞘缝合覆盖于植入的网片上,并对伤口进行冲洗、缝合,最后用Prevena™伤口治疗装置(3M公司,美国)覆盖。腹直肌鞘导管由麻醉团队置入。

图4. 根据Rives-Stoppa技术进行的巨型内脏囊加固术(GPRVS)。
4.jpg
图A(左)展示了裁剪成V形的30 x 30厘米聚丙烯网片及其预定位置。图B(右)展示了在缝合覆盖其上的腹直肌前鞘之前,网片在腹直肌后方和筋膜前平面的最终放置情况。

患者随后被转入重症监护室进行术后护理。当晚拔管,48小时内停用正性肌力药物,术后第3天转入普通病房。疼痛管理包括使用羟考酮患者自控镇痛(PCA)和腹直肌鞘导管,持续4天。引流管分别于术后第1天和第3天拔除。早期开始肠内营养,辅以肠外营养,并于术后第5天开放肠道。整个恢复期均接受了强化胸部物理治疗。术后并发症包括心房扑动和未累及网片的浅表伤口感染,经电解质补充和抗生素治疗后痊愈。患者于术后第26天出院,返回其原居住的养老院,并恢复了有限的日常活动。术后三个月,患者在外科门诊复查,体格检查未发现疝复发(图5)。

图5. 术后三个月影像显示恢复良好。
5.jpg
您需要登录后才可以回帖 登录 | 注册

本版积分规则

丁香叶与你快乐分享

微信公众号

管理员微信

服务时间:8:30-21:30

站长微信/QQ

← 微信/微信群

← QQ

Copyright © 2013-2026 丁香叶 Powered by dxye.com  手机版 
快速回复 返回列表 返回顶部