仿气腹25孔3单端腔镜训练箱训练用单针/双针带线【出售】-->外科训练模块总目录
「训练教具器械汇总」管理员微信/QQ12087382[问题反馈]
开启左侧

单切口腹腔镜完全腹膜外(SILS-TEP)修补术治疗中年男性患者因脂肪栓塞引起的闭孔疝伴

[复制链接]
发表于 2026-1-6 12:00:03 | 显示全部楼层 |阅读模式

马上注册,结交更多好友,享用更多功能,让你轻松玩转社区。

您需要 登录 才可以下载或查看,没有账号?注册

×
一名53岁男性患者主诉左下腹至大腿内侧放射的钝痛2个月。躯干旋转时疼痛加剧,偶有尖锐电击样疼痛。既往病史包括冠状动脉旁路移植术、2型糖尿病,以及20多岁时行左侧腹股沟疝修补术。

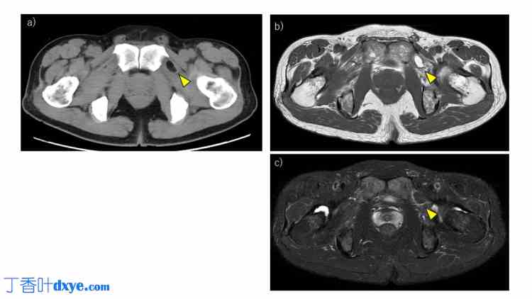
腹部CT显示脂肪组织疝入左侧闭孔管(图1a)。MRI显示T2加权像高信号(图1b)和脂肪抑制像信号抑制(图1c),证实病变为脂肪组织,未累及肠道。这些影像学表现提示疝出的脂肪组织压迫闭孔神经。根据临床症状和影像学表现,诊断为闭孔疝,尽管患者年龄和性别不典型,但仍建议行手术修补。

图1. 术前影像。
1.jpg
(a) CT 显示脂肪疝入左侧闭孔管(黄色箭头)。(b) MRI T2 加权像显示相应区域高信号强度(黄色箭头)。(c) 脂肪抑制 MRI 显示同一病灶信号抑制(黄色箭头)。

与经腹膜前入路 (TAPP) 相比,本研究采用单孔腹腔镜下经腹膜前入路 (SILS-TEP) 修补术,以避免进入腹膜腔。在脐下做 25 mm 切口,切开腹直肌前鞘约 30 mm。钝性分离腹直肌与后鞘之间的间隙。使用 Lap-Protector Mini(日本长野县Hakko公司)维持手术操作空间,并通过单孔入路装置(EZ Access;日本长野县Hakko公司)插入三个5 mm套管针。维持10 mmHg的二氧化碳气体压力,以便在腹腔镜直视下钝性分离腹膜前间隙。

左侧,分离范围向外侧延伸至髂前上棘,并向下延伸至闭孔。右侧,继续分离直至清晰显示右侧闭孔管。识别并仔细分离突出到左侧闭孔管内的脂肪(图2a),然后将其分离并切除(图2b)。在闭孔管内,于突出脂肪旁识别出闭孔神经。在分离过程中,小心避免牵拉或热损伤,并尽可能保护闭孔神经。右侧闭孔管未见异常(图 2c)。

图 2. 术中发现。
2.jpg
(a) 腹膜前间隙可见脂肪疝入左侧闭孔管(黄色箭头)。(b) 取出脂肪栓后可见疝缺损(黄色箭头)。(c) 右侧闭孔管未见异常(黄色箭头)。(d) 放置自固定网片覆盖左侧闭孔管。

放置一块自固定聚丙烯网片(15 × 10 cm),覆盖整个肌耻骨孔(包括库珀韧带)、直间隙、间接间隙、股间隙以及闭孔管,网片超出缺损边缘约 3 cm。网片与盆腔轮廓平滑贴合,无需固定(图 2d)。

手术时间为105分钟,出血量为3毫升,术中未发生并发症。患者术后疼痛立即缓解,术后第2天出院。虽然未记录视觉模拟评分(VAS)等定量疼痛评分,但神经痛完全消失,且在3个月的随访期内未复发。由于患者居住地距离院较远,术后随访仅持续3个月。
您需要登录后才可以回帖 登录 | 注册

本版积分规则

丁香叶与你快乐分享

微信公众号

管理员微信

服务时间:8:30-21:30

站长微信/QQ

← 微信/微信群

← QQ

Copyright © 2013-2026 丁香叶 Powered by dxye.com  手机版 
快速回复 返回列表 返回顶部