仿气腹25孔3单端腔镜训练箱训练用单针/双针带线【出售】-->外科训练模块总目录
「训练教具器械汇总」管理员微信/QQ12087382[问题反馈]
开启左侧

良性转移性平滑肌瘤累及心脏和肝脏的临床挑战:病例报告

[复制链接]
发表于 昨天 16:00 | 显示全部楼层 |阅读模式

马上注册,结交更多好友,享用更多功能,让你轻松玩转社区。

您需要 登录 才可以下载或查看,没有账号?注册

×
一位39岁的东南亚女性患者,主诉乏力6个月,并逐渐出现劳力性呼吸困难,近一个月来症状明显加重。既往病史包括4年前行子宫肌瘤切除术。患者自述月经周期规律,每28-30天一次,经期约7天,但自10年前分娩后出现月经过多。

初次体格检查时,患者心率为120次/分,血压为96/60mmHg,体温为36.5℃,呼吸频率为20次/分,血氧饱和度为87%,体重指数为20.2kg/m²。包括心脏、肺部、腹部和神经系统检查在内的其他体格检查均未见异常。患者面色苍白,血液检查显示小细胞低色素性贫血,血红蛋白水平为73.4 g/L,红细胞压积为22.1%,平均红细胞体积为57 fl,平均红细胞血红蛋白含量为18.9 pG。同时检测到轻度凝血功能障碍和D-二聚体水平升高至1479 ng/mL。心电图未见异常。

经胸超声心动图(TTE)显示右心房几乎被一个巨大肿块占据,并累及下腔静脉(IVC),导致血流受阻。该肿块疑似血栓或肿瘤,回声与心肌相似,大小为47 × 28 mm。未见瓣膜病变,射血分数为53.9%。下肢静脉多普勒超声检查未见异常,静脉系统内未检测到血栓。腹部超声显示子宫多发肌瘤,最大直径达110mm。此外,肝右叶发现一13mm高回声结节。

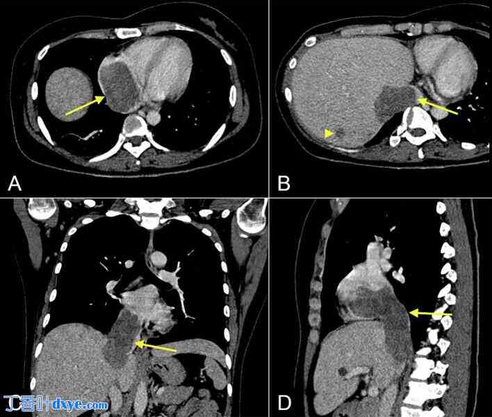
行胸腹部CT扫描,显示右心房、下腔静脉及右肝静脉内可见一巨大低密度、轻度强化肿块,可能侵犯肝脏VII-VIII段(图1)。子宫内亦可见多发肿块。双侧输卵管扩张并充满液体,右侧输尿管受压或粘连导致轻度肾积水。此外,肝VII段亦发现一结节,不能排除转移性病变。行盆腔MRI检查以筛查恶性肿瘤,结果显示多发性退行性子宫肌瘤(图2)。也考虑过子宫腺肌症合并平滑肌肉瘤的鉴别诊断,但可能性较小。脑部CT扫描未见脑部受累的证据。胸部CT未见肺部结节或肿块。

图1.
1.jpg

胸腹部CT显示右心房、下腔静脉和右肝静脉内可见一较大的低密度、轻度强化肿块(箭头):(A)轴位图像;(B)轴位图像,显示肝转移结节(箭头);(C)冠状位图像;(D)矢状位图像。

图2.
2.jpg

子宫磁共振成像显示一非典型平滑肌瘤(箭头),T1加权像(A)和T2加权像(B)呈不均匀高信号,DWI像(B)呈轻度高信号。
您需要登录后才可以回帖 登录 | 注册

本版积分规则

丁香叶与你快乐分享

微信公众号

管理员微信

服务时间:8:30-21:30

站长微信/QQ

← 微信/微信群

← QQ

Copyright © 2013-2025 丁香叶 Powered by dxye.com  手机版 
快速回复 返回列表 返回顶部