仿气腹25孔3单端腔镜训练箱训练用单针/双针带线【出售】-->外科训练模块总目录
「训练教具器械汇总」管理员微信/QQ12087382[问题反馈]
开启左侧

十二指肠被排除段穿孔:Roux-en-Y胃旁路术后25年:病例报告

[复制链接]
发表于 半小时前 | 显示全部楼层 |阅读模式

马上注册,结交更多好友,享用更多功能,让你轻松玩转社区。

您需要 登录 才可以下载或查看,没有账号?注册

×
一位70岁女性,患有肥胖症、非胰岛素依赖型糖尿病、胃食管反流病(GERD)、胆囊切除术和既往Roux-en-Y胃旁路术(RYGB),因急性胸痛和下腹痛就诊于急诊科。疼痛始于1天前,最初服用布洛芬后缓解,她此前因肌肉骨骼不适每日服用布洛芬4-6次。疼痛逐渐加剧,放射至背部,并伴有嗳气、干呕和呕吐。她否认有外伤史或排便习惯改变。初始CT扫描(图1)显示十二指肠周围中度高密度影、输入袢扩张和胃部扩张,以及预期的术后改变。她被收入院接受保守治疗。4天后,由于症状持续存在,进行了复查CT扫描(图2),结果显示腹腔内和腹膜后间隙有游离液体,提示十二指肠穿孔。患者出现嗜睡和弥漫性腹部压痛,被送入手术室。行剖腹探查术,包括腹膜冲洗、肠粘连松解和部分大网膜切除术。术中发现十二指肠第三段(D3)后外侧有两个1厘米的穿孔,用大网膜蒂瓣修补。Roux袢通畅,空肠空肠吻合口扩张但通畅,胆胰袢完整。由于血管加压药需求量大,放置了临时腹部闭合装置,并将患者转入外科重症监护室(ICU)。病情稳定后,次日行二次剖腹探查术,加强十二指肠缝合,放置胃造瘘管引流,并置入空肠造瘘管(J管)进行营养支持(图3和图4)。腹壁缝合。术后第2天,增强CT显示十二指肠修补部位造影剂外渗。介入放射科行经肝胆道引流术,引流胆汁,促进十二指肠补片愈合。幽门螺杆菌抗原检测结果为阴性。患者病情好转,开始接受肠内营养和缓慢经口进食。然而,此时患者拒绝进一步治疗,要求采取舒适护理措施。

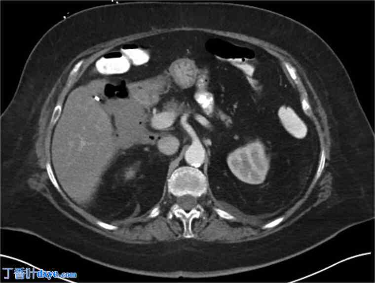
图1.
1.jpg

入院时行腹部及盆腔正位CT扫描(静脉注射造影剂),显示残胃中度扩张,幽门及近端十二指肠壁增厚。

图2.
2.jpg

入院第4天行腹部及盆腔正位CT扫描(口服及静脉注射造影剂),显示散在性气腹及十二指肠侧壁游离液体。

图 3.
3.jpg

术中图像显示十二指肠第三段穿孔的一期修补。

图 4.
4.jpg

术中图像显示幽门成形术和网膜补片修补。
您需要登录后才可以回帖 登录 | 注册

本版积分规则

丁香叶与你快乐分享

微信公众号

管理员微信

服务时间:8:30-21:30

站长微信/QQ

← 微信/微信群

← QQ

Copyright © 2013-2025 丁香叶 Powered by dxye.com  手机版 
快速回复 返回列表 返回顶部