仿气腹25孔3单端腔镜训练箱训练用单针/双针带线【出售】-->外科训练模块总目录
「训练教具器械汇总」管理员微信/QQ12087382[问题反馈]
开启左侧

误吞鱼刺导致胃穿孔:诊断难题

[复制链接]
发表于 昨天 15:00 | 显示全部楼层 |阅读模式

马上注册,结交更多好友,享用更多功能,让你轻松玩转社区。

您需要 登录 才可以下载或查看,没有账号?注册

×
一名63岁男性患者在短时间内两次前往急诊科就诊,随后从乡村医院转至三级医疗中心。他初次就诊时主诉剧烈上腹部中央疼痛和右侧腹股沟疼痛。经腹股沟超声检查、胸腹部X线检查均无异常,并给予有效镇痛治疗后出院。两天后,他再次就诊,主诉上腹部疼痛加剧并伴有食欲不振,遂入院观察。当天下午复查发现腹部僵硬。鉴于此,他被转至三级医疗中心,并于当晚接受了计算机断层扫描(CT)进一步评估。

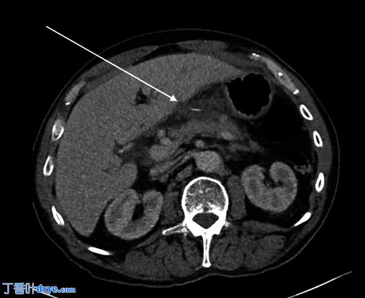
图1. 上腹部CT轴位图像。
1.jpg

箭头指向小网膜囊内的低密度积液和肝包膜下积液,大小为25 × 38 × 33 mm(前后径 × 垂直径 × 头尾径)。该积液中心可见一根线状鱼骨。

AP,前后位;TV,横断面;CC,头尾位

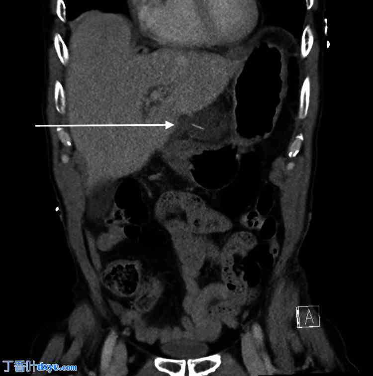
图2. 计算机断层扫描冠状位图像。
2.jpg

箭头指向小网膜囊内的低密度积液,中心的鱼骨距离胃小弯约25 mm。

次日行急诊剖腹探查术,经肝胃韧带进入小网膜囊。术中发现小网膜囊内有感染性积液,并有脓性分泌物排出。在囊腔内发现一根腔外鱼骨,随后将其取出。脓肿引流后,未在胃小弯或胃窦发现其他积液或缺损。彻底冲洗腹腔后,缝合切口。从初次就诊到进行最终手术,一共过去了四天。
您需要登录后才可以回帖 登录 | 注册

本版积分规则

丁香叶与你快乐分享

微信公众号

管理员微信

服务时间:8:30-21:30

站长微信/QQ

← 微信/微信群

← QQ

Copyright © 2013-2025 丁香叶 Powered by dxye.com  手机版 
快速回复 返回列表 返回顶部