仿气腹25孔3单端腔镜训练箱训练用单针/双针带线【出售】-->外科训练模块总目录
「训练教具器械汇总」管理员微信/QQ12087382[问题反馈]
开启左侧

育龄女性圆韧带间皮囊肿酷似腹股沟疝

[复制链接]
发表于 2025-12-14 15:00:00 | 显示全部楼层 |阅读模式

马上注册,结交更多好友,享用更多功能,让你轻松玩转社区。

您需要 登录 才可以下载或查看,没有账号?注册

×
一位43岁、孕2产2的女性患者,因右侧腹股沟肿胀并伴有轻微不适,前来院外科门诊就诊。她既往无任何病史,也未接受过任何手术。该腹股沟肿块于她最近一次妊娠后出现,距今约五年。此后,她因该症状多次就诊于妇科医生和普通外科医生,包括预约就诊和急诊。所有医生均告知她,她的病情是腹股沟疝。

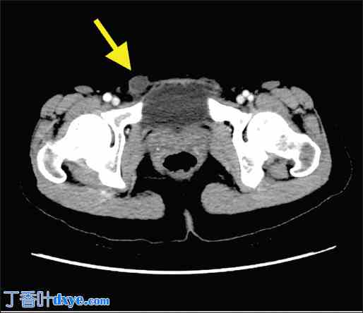
体格检查显示,肿块表面皮肤外观正常。触诊腹股沟区域时,患者无疼痛或压痛感。肿块活动度差,无法复位,且在Valsalva动作时更加突出。对侧腹股沟区域无肿块或不适感。对患者外生殖器的评估显示,右侧大阴唇上外侧区域轻度增大。随后,进行了腹部计算机断层扫描(CT)检查。CT扫描显示一个边界清晰的肿块,大小为4.5×2厘米。该病变似乎起源于子宫,沿右侧髂静脉走行,穿过腹股沟管,位于腹直肌外侧,最终止于皮下脂肪层(图1、2)。临床和影像学评估结束后,计划于数周后行右侧圆韧带开放性切除术。

图1
1.jpg

轴位增强腹部CT扫描。右侧腹股沟囊实性肿块(黄色箭头)。

图2
2.jpg

冠状位增强腹部CT扫描。可见一边界清晰的肿块,大小为 4.5 × 2 厘米(黄色箭头所示)。

患者于手术前一日入院。除手术相关问题外,术前常规检查未发现其他并发症。初步优化方案包括详细的病史采集、全面的体格检查和实验室检查。
您需要登录后才可以回帖 登录 | 注册

本版积分规则

丁香叶与你快乐分享

微信公众号

管理员微信

服务时间:8:30-21:30

站长微信/QQ

← 微信/微信群

← QQ

Copyright © 2013-2026 丁香叶 Powered by dxye.com  手机版 
快速回复 返回列表 返回顶部