仿气腹25孔3单端腔镜训练箱训练用单针/双针带线【出售】-->外科训练模块总目录
「训练教具器械汇总」管理员微信/QQ12087382[问题反馈]
开启左侧

单纯性VII因子缺乏症合并Amyand疝的术前诊断及腹腔镜治疗:病例报告

[复制链接]
发表于 昨天 15:00 | 显示全部楼层 |阅读模式

马上注册,结交更多好友,享用更多功能,让你轻松玩转社区。

您需要 登录 才可以下载或查看,没有账号?注册

×
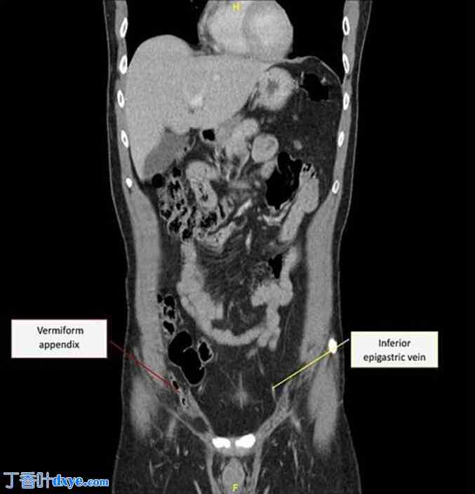
腹部和盆腔CT扫描证实右侧腹股沟疝,疝内容物为脂肪和阑尾尖端。疝囊颈长约1厘米,阑尾长约0.6厘米。此外,还意外发现T10椎体呈蝶形畸形,并可能存在脾囊肿,但这些在临床上被认为意义不大(图1.1)。放射学诊断为Amyand疝,并制定了择期手术修复方案。

图1.1
1.jpg

腹部CT冠状位图像显示疝出的阑尾(红色标签)。

手术团队实施了经腹膜前入路修补术(TAPP),以便充分观察疝囊内容物。采用标准手术入路,探查后发现阑尾位于疝囊内。是否行阑尾切除术或使用网片修补术是一个动态过程,通常由外科医生在术中根据阑尾状况、患者人口统计学特征和合并症等因素来决定。幸运的是,阑尾外观正常,无炎症迹象,通过腹腔镜器械轻柔抓取即可将其轻松复位至腹腔内。由于没有预成型(3D)网片可用,因此使用了一块扁平的自粘性聚丙烯网片,并在术中将其修剪至适合缺损部位(内外侧长15厘米,头尾长12厘米,向下延伸8厘米),确保完全覆盖肌耻骨孔,并在各个方向上至少重叠3-4厘米。该网片用于加固腹股沟底,并使用腹腔镜缝合钉固定。对侧也进行了探查,未发现其他疝缺损。术中未见异常出血。手术时间约为90分钟,与标准经腹膜前疝修补术(TAPP)的手术时间一致(见图1.2、图1.3)。

图1.2
2.jpg

(TAPP修补术)

图1.3
3.jpg

TAPP修补术中已复位未发炎的阑尾(黄色标签)。
您需要登录后才可以回帖 登录 | 注册

本版积分规则

丁香叶与你快乐分享

微信公众号

管理员微信

服务时间:8:30-21:30

站长微信/QQ

← 微信/微信群

← QQ

Copyright © 2013-2025 丁香叶 Powered by dxye.com  手机版 
快速回复 返回列表 返回顶部