仿气腹25孔3单端腔镜训练箱训练用单针/双针带线【出售】-->外科训练模块总目录
「训练教具器械汇总」管理员微信/QQ12087382[问题反馈]
开启左侧

非凡之作:腹腔镜治疗罕见的累及膀胱的腹股沟疝

[复制链接]
发表于 半小时前 | 显示全部楼层 |阅读模式

马上注册,结交更多好友,享用更多功能,让你轻松玩转社区。

您需要 登录 才可以下载或查看,没有账号?注册

×
一名63岁男性患者,既往有良性前列腺增生病史(2年前确诊,目前服用非那雄胺和坦索罗辛治疗),因右侧腹股沟肿块入院。

该肿块于5年前首次发现,活动后加重,并伴有剧烈疼痛和轻度绞痛。入院前一周,患者在提重物时肿块增大,出现尿频、里急后重、排尿困难等泌尿系统症状,并伴有剧烈疼痛(疼痛评分9/10),以及恶心呕吐。

入院时,体格检查发现右侧腹股沟区有一张力性肿块(25 × 22 cm),触诊时有中度疼痛,肿块颜色和温度无异常(图1a和1b)。实验室检查结果显示:白细胞计数 13.6 × 10³/μL,中性粒细胞 88.9%,血红蛋白 14.1 g/dL,血细胞比容 40.9%,血小板计数 344 × 10³/μL,葡萄糖 102 mg/dL,尿素 147.7 mg/dL,肌酐 5.30 mg/dL,钠 130 mmol/L,钾 4.5 mmol/L,动脉血气分析结果正常,乳酸 1.2 mmol/L。

图 1.
1.jpg

右侧腹股沟区可见一肿块,大小约 25 × 22 cm,尿潴留后肿块加重,颜色无变化 (a);同一右侧腹股沟肿块,尿潴留后肿块大小增大 (b)。

进行了影像学检查,包括一张简单的骨盆正位片,显示腹股沟区可见一处放射线不透光影像,向下延伸至尾侧,边界清晰规则 (图 2)。

图 2.
2.jpg

简单的骨盆正位片。

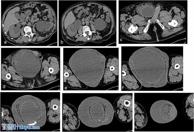
为评估触诊可及的右侧腹股沟肿块,进行了非增强骨盆计算机断层扫描 (CT)。 CT扫描显示右侧腹股沟区腱膜缺损,膀胱突出至右侧腹股沟管内,完全位于阴囊内。该发现与阴囊体积增大、阴囊周围脂肪呈条纹状以及阴囊壁增厚25 mm相关。同时观察到肾集合系统明显扩张,右侧直径为40 mm,左侧为62 mm,输尿管直径也增大。膀胱大小为240 × 173 × 194 mm,容积为4212 mL,完全充盈并位于右侧阴囊内。上述发现提示存在右侧腹股沟阴囊膀胱疝,伴双侧肾盂肾盏系统扩张,膀胱充盈可能加剧了这种情况(图3a-d、h和i)。

图 3.
3.jpg

简单的腹盆部 CT 扫描切片显示肾集合系统明显扩张,右侧直径为 40 mm,左侧直径为 62 mm,输尿管直径增大(a–c),右侧腹股沟区腱膜缺损,膀胱突出至腹股沟管内(d–f),膀胱完全充盈并位于右侧阴囊内(g–i)。

放置导尿管以减少膀胱容量。鉴于情况紧急,行经腹膜前入路(TAPP)的腹腔镜腹股沟成形术。在全身麻醉下,经脐部切开置入 10 mm 光学套管,并插入两个 5 mm 脐周套管。腹腔镜检查过程中,在腹股沟深环处观察到疝出的膀胱和一段回肠袢,并伴有膀胱受压(图4a和b)。通过牵拉肠袢将肠袢复位,膀胱内容物也顺利复位(图4c)。

图4.
4.jpg

腹腔镜下使用聚丙烯网片修补腹股沟疝的手术过程,图中显示:(a)腹股沟深环可见疝出的膀胱内容物和回肠袢;(b)肠袢上的大理石样改变和炎性渗出物细节;(c)通过牵拉无阻力地复位疝出的肠内容物和膀胱内容物。
您需要登录后才可以回帖 登录 | 注册

本版积分规则

丁香叶与你快乐分享

微信公众号

管理员微信

服务时间:8:30-21:30

站长微信/QQ

← 微信/微信群

← QQ

Copyright © 2013-2025 丁香叶 Powered by dxye.com  手机版 
快速回复 返回列表 返回顶部