仿气腹25孔3单端腔镜训练箱训练用单针/双针带线【出售】-->外科训练模块总目录
「训练教具器械汇总」管理员微信/QQ12087382[问题反馈]
开启左侧

闭孔疝的罕见表现:一例膝关节疼痛酷似肌肉骨骼疾病的病例报告

[复制链接]
发表于 2025-11-29 14:00:00 | 显示全部楼层 |阅读模式

马上注册,结交更多好友,享用更多功能,让你轻松玩转社区。

您需要 登录 才可以下载或查看,没有账号?注册

×
一位67岁女性因右膝疼痛加剧三天,伴有轻微下腹痛和呕吐,被救护车送至急诊科。她既往无痛风、跌倒或膝关节外伤史。起初,她还能借助助行器行走,但后来因乏力加重和疼痛加剧而无法负重。值得注意的是,两个月前她也出现过类似症状,包括膝关节疼痛加剧并伴有多次呕吐。当时的膝关节X光片显示无异常,疼痛在急诊科自行缓解后出院。她有类风湿性关节炎病史,服用甲氨蝶呤、泼尼松龙和羟考酮/纳洛酮。她的既往病史和手术史还包括无症状性胆结石,以及2023年8月因远端指骨骨髓炎行右食指远端指间关节切除术。

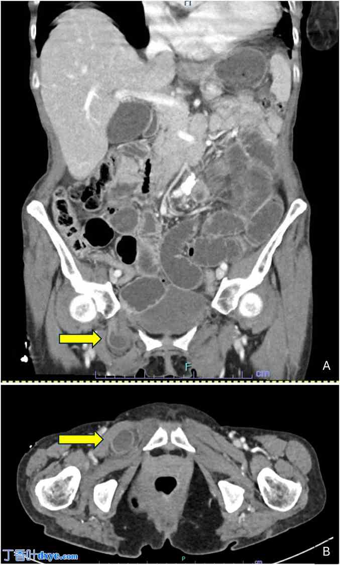
临床上,她表现为极度消瘦和虚弱,生命体征正常。右下腹有压痛。可见既往剖宫产留下的Pfannenstiel切口瘢痕,但腹部未触及肿块。右膝关节触痛明显,活动范围受限。但无肿胀、红斑或发热。初步实验室血液检查显示白细胞计数升高至21.5 × 10⁹/L,血小板计数为500/μL,C反应蛋白水平正常,为3 mg/L。最初安排了右膝关节X线检查,但未发现异常。随后进行了腹部和盆腔增强CT检查,证实为嵌顿性右侧闭孔疝引起的小肠梗阻。未见小肠受压的影像学表现(图1)。

图 1.
1.jpg

(A) 冠状位 CT 图像显示一段嵌顿的肠袢延伸至右侧闭孔管内,导致梗阻,近端小肠扩张即为佐证。(B) 轴位 CT 图像显示嵌顿的小肠袢位于耻骨肌和闭孔外肌之间。箭头指示闭孔疝的位置。

在给予镇痛、止吐、鼻胃管置入和静脉输液等初步处理后,患者接受了紧急腹腔镜经腹膜前入路(TAPP)闭孔疝修补术。在腹腔镜下,通过对腹股沟施加外部压力将疝内容物复位。复位后,发现嵌顿的小肠段有挫伤,但仍存活,无浆膜撕裂。两侧均未发现腹股沟疝或股疝。切开壁层腹膜,将多余的疝囊回缩至腹腔内。切断圆韧带后,放置一块 14 × 10 cm 的 Parietex 网片,覆盖疝缺损以及股间隙和腹股沟间隙。然后用 V-Loc 连续缝合线缝合腹膜(图 2)。术后恢复顺利,患者术后第三天恢复肠道功能,第四天即可出院。值得注意的是,患者术后膝关节疼痛明显缓解。术后 7 个月随访时,患者已不再需要助行器,且无疼痛,也未见疝复发迹象。

图 2
2.jpg

(A)术中图像显示右侧闭孔疝,小肠嵌顿于闭孔内。 (B)腹腔镜下放置 14 × 10 cm Parietex 网片覆盖疝缺损,覆盖股间隙和腹股沟间隙。(C)使用连续 V-Loc 缝合线闭合腹膜。(D)释放的肠段有瘀伤迹象,但仍有活力。
您需要登录后才可以回帖 登录 | 注册

本版积分规则

丁香叶与你快乐分享

微信公众号

管理员微信

服务时间:8:30-21:30

站长微信/QQ

← 微信/微信群

← QQ

Copyright © 2013-2026 丁香叶 Powered by dxye.com  手机版 
快速回复 返回列表 返回顶部