仿气腹25孔3单端腔镜训练箱训练用单针/双针带线【出售】-->外科训练模块总目录
「训练教具器械汇总」管理员微信/QQ12087382[问题反馈]
开启左侧

漏诊的腹壁疝

[复制链接]
发表于 2025-11-27 14:00:02 | 显示全部楼层 |阅读模式

马上注册,结交更多好友,享用更多功能,让你轻松玩转社区。

您需要 登录 才可以下载或查看,没有账号?注册

×
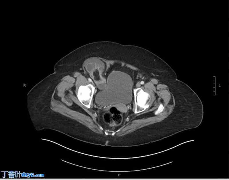
病例报告1

一位85岁女性因右侧腹股沟疼痛就诊。除轻度痴呆和BMI为32外,患者身体健康。右侧腹股沟可见可复位肿块,左侧正常。医生建议患者在镇静下行开放性修补术。术中,切除圆韧带后,发现腹股沟底非常薄弱,遂使用一块网片进行重建。患者术后恢复良好,直至术后两周因肠梗阻就诊于急诊室。CT扫描(图1)显示嵌顿性股疝。

图1
1.jpg

该CT扫描显示右侧股疝,部分小肠嵌顿于疝缺损处。

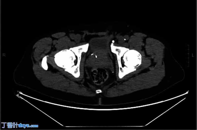
病例报告2

一位60岁男性因左下腹疼痛就诊。患者既往有腹腔镜阑尾切除术史,术中发现明显的双侧盆腔炎症/粘连。检查时,外科医生在左下腹旧5mm套管针穿刺点附近触及一隆起,易于复位。诊断考虑为Spigelian疝或套管针穿刺点疝,建议行开放手术。在全身麻醉下,于术前标记的隆起处做左下腹切口。观察腹直肌筋膜和腹外斜肌筋膜,未发现疝缺损。外科医生未进行修补,直接缝合切口。三周后,患者因肠梗阻入院。CT扫描(图2)显示腹外斜肌筋膜下方、腹直肌外侧存在Spigelian疝。患者经左下腹切口再次探查,切开腹外斜肌筋膜后发现嵌顿的斯皮格尔疝。嵌顿的肠管复位后,疝缺损处进行了直接缝合。

图2
2.jpg

箭头指向左侧斯皮格尔疝,可见一段肠袢嵌顿。

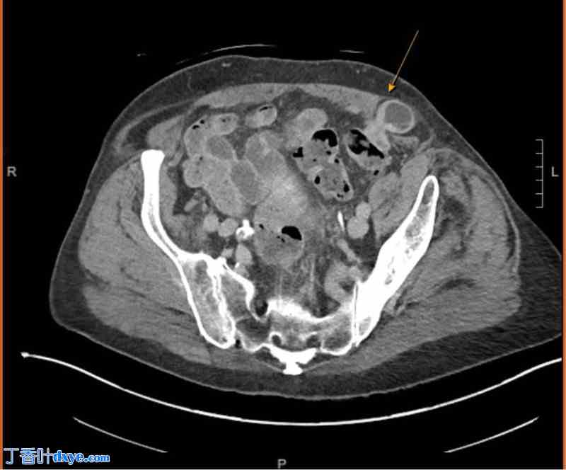
病例报告#3

一名50岁男性患者,左侧腹股沟处有一可复位肿块。体格检查符合腹股沟疝的诊断。经腹腔镜腹膜前入路(TAPP)探查术中,未在直间隙或间接间隙发现疝。术前体格检查发现的肿块被认为是精索脂肪瘤。切开腹膜后,腹腔镜下切除精索脂肪瘤,并植入补片。术后第4天,患者联系外科医生报告疝“复发”。CT扫描(图3)显示膀胱经腹膜外间隙突出至网片修补处内侧。

图3
3.jpg

这张盆腔CT扫描图显示左侧腹膜外间隙疝,膀胱内充满疝内容物,疝内容物位于先前放置的经腹膜前入路腹腔镜疝修补网片内侧。耻骨结节附近可见一枚手术钉,标记网片的内侧边缘。
您需要登录后才可以回帖 登录 | 注册

本版积分规则

丁香叶与你快乐分享

微信公众号

管理员微信

服务时间:8:30-21:30

站长微信/QQ

← 微信/微信群

← QQ

Copyright © 2013-2026 丁香叶 Powered by dxye.com  手机版 
快速回复 返回列表 返回顶部