仿气腹25孔3单端腔镜训练箱训练用单针/双针带线【出售】-->外科训练模块总目录
「训练教具器械汇总」管理员微信/QQ12087382[问题反馈]
开启左侧

经皮肾镜取石术中下腔静脉插管

[复制链接]
发表于 昨天 21:00 | 显示全部楼层 |阅读模式

马上注册,结交更多好友,享用更多功能,让你轻松玩转社区。

您需要 登录 才可以下载或查看,没有账号?注册

×
一名43岁男性患者因右肾绞痛和发热入院。非增强CT扫描显示肾盂内有一枚2.5厘米的梗阻性结石(图1)。患者接受了静脉抗生素治疗,介入放射科医生在中肾盏内插入了一根导尿管,引流出脓性分泌物。三周后,一位经验丰富的泌尿内镜医师利用预先建立的导尿管通道,行俯卧位经皮肾镜取石术(PCNL)。术中,首先将一根Roadrunner PC亲水导丝(Cook Medical)经导尿管送入中肾盏,试图将导丝穿过嵌顿结石(图2)。随后取出导尿管。接着,将一根Kumpe 5 Fr通路导管(Cook Medical)沿导丝置入,旨在引导其到达近端输尿管。透视下经Kumpe导管注射造影剂,可见一粗大的管状结构,造影剂迅速向上排出(图3)。在进行增强透视检查后,确认Kumpe导管尖端位于下腔静脉腔内(图4)。随即召开紧急多学科会诊,包括泌尿内镜医师、血管外科医师、介入放射科医师和麻醉医师。患者血流动力学稳定,无活动性出血或呼吸压力升高的迹象。在注射造影剂的同时,小心地将Kumpe导管回撤至肾中盏,未发生经导管进入肾单位或腹膜后间隙的出血。随后,介入放射科医师通过新建立的通道将8 Fr NT导管插入肾上盏。术中患者血流动力学稳定。术后静脉注射造影剂的CT扫描未见造影剂晕染或出血迹象。之后,患者成功接受了经皮肾镜取石术(PCNL),从肾上盏取出结石。

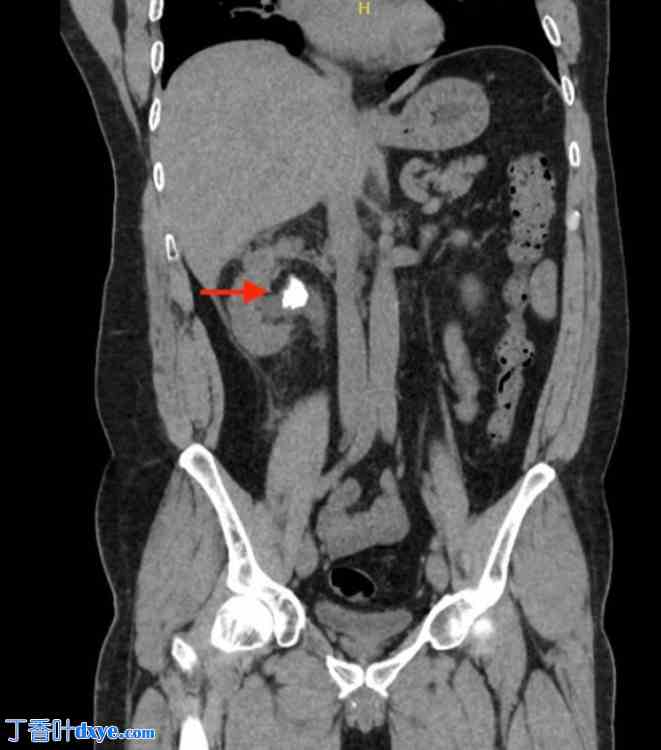
图 1.
1.jpg

腹部 CT 扫描冠状位图像显示右肾盂内有一枚 2 厘米的结石。

图 2.
2.jpg

一根 Roadrunner 亲水导丝经肾造瘘管插入肾盂。

图 3.
3.jpg

经 Kumpe 导管注射造影剂后,可见一个粗大的管状结构。

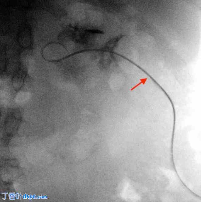
图 4.
4.jpg

Kumpe 导管位于下腔静脉内。
您需要登录后才可以回帖 登录 | 注册

本版积分规则

丁香叶与你快乐分享

微信公众号

管理员微信

服务时间:8:30-21:30

站长微信/QQ

← 微信/微信群

← QQ

Copyright © 2013-2025 丁香叶 Powered by dxye.com  手机版 
快速回复 返回列表 返回顶部